Классификация очаговых образований
Из-за значительного разнообразия симптомов и сложности диагностики, медицинские специалисты долго не могли прийти к единой классификации очаговых образований.
На сегодняшний день большинство врачей выделяют четыре основные группы заболеваний:
- Диффузная мастопатия.
- Узловая мастопатия.
- Доброкачественные опухоли и опухолевидные образования, не представляющие риска перерождения.
- Неопределенные формы мастопатии (например, листовидная опухоль).
Наиболее распространенной является узловая или очаговая форма мастопатии, которая развивается на фоне диффузной формы заболевания при отсутствии адекватного лечения.
Для каждой из этих четырех категорий существуют свои подходы к терапии. Обычно они зависят от размеров пораженного участка и причин, способствующих образованию опухоли.
Очаговое образование молочной железы представляет собой локализованное изменение ткани, которое может быть как доброкачественным, так и злокачественным. Врачи подчеркивают важность ранней диагностики, так как своевременное выявление патологии значительно увеличивает шансы на успешное лечение. При обнаружении такого образования рекомендуется пройти комплексное обследование, включая ультразвуковое исследование и маммографию. В зависимости от результатов, может быть назначена биопсия для уточнения характера образования. Лечение варьируется от наблюдения и медикаментозной терапии до хирургического вмешательства, если образование оказывается злокачественным. Специалисты настоятельно советуют не игнорировать изменения в молочной железе и регулярно проходить профилактические осмотры, что поможет сохранить здоровье и предотвратить развитие серьезных заболеваний.

Как проявляется заболевание
Очаговая мастопатия характеризуется множеством симптомов, которые легко можно перепутать с обычным недомоганием или другими заболеваниями молочных желез. Из-за нечеткости симптоматики каждая женщина должна быть осведомлена о ключевых проявлениях этой болезни и своевременно обращаться к врачу при подозрении на мастопатию.
Сначала рассмотрим основные признаки диффузной мастопатии. Она проявляется изменениями в тканях обеих молочных желез. Перед менструацией может возникать некоторый дискомфорт – отечность груди и ноющие боли. Более выраженные симптомы появляются, когда заболевание переходит в очаговую или узловую форму.
Среди симптомов, характерных для узловой мастопатии, можно выделить:
- Масталгия – медицинский термин для обозначения болей в молочных железах. Боль усиливается в начале и в конце менструального цикла.
- Уплотнения и узелки в груди, которые легче всего прощупать в начале цикла.
- Выделения из сосков.
Симптомы могут быть слабо выражены и часто долгое время остаются незамеченными. Единственным надежным методом диагностики является инструментальное обследование, такое как УЗИ или маммография.
Степень выраженности симптомов зависит от стадии мастопатии, ее типа и общего состояния здоровья женщины. Для постановки диагноза необходимо пройти полное обследование, так как заключение не может быть основано только на жалобах и визуальном осмотре. Это связано с тем, что под мастопатию могут скрываться серьезные злокачественные процессы на ранних стадиях.
| Симптом | Возможная причина (очаговое образование) | Необходимые действия |
|---|---|---|
| Уплотнение в молочной железе | Фиброаденома, киста, липома, внутрипротоковая папиллома, рак молочной железы | Обращение к маммологу, УЗИ молочных желез, маммография (при необходимости), биопсия (при необходимости) |
| Боль в молочной железе | Киста, мастит, фиброзно-кистозная мастопатия, рак молочной железы | Обращение к маммологу, УЗИ молочных желез |
| Изменение формы или размера молочной железы | Рак молочной железы, фиброаденома, киста | Обращение к маммологу, УЗИ молочных желез, маммография (при необходимости) |
| Выделения из соска | Внутрипротоковая папиллома, рак молочной железы, мастит | Обращение к маммологу, УЗИ молочных желез, маммография (при необходимости) |
| Втяжение кожи молочной железы | Рак молочной железы | СРОЧНОЕ обращение к маммологу, УЗИ молочных желез, маммография (при необходимости), биопсия |
| Изменение цвета кожи молочной железы | Рак молочной железы, мастит | Обращение к маммологу, УЗИ молочных желез |
Развитие заболевания
Узловая или очаговая мастопатия чаще всего наблюдается у женщин в возрасте от 35 до 50 лет. Часто изменения в молочных железах начинают проявляться в предклимактерический период. Считается, что основным фактором, способствующим развитию мастопатии, являются гормональные колебания. Сначала возникает диффузная форма заболевания, которая затем может трансформироваться в узловую фиброзно-кистозную мастопатию.
Выявить это заболевание бывает непросто, так как оно не имеет ярко выраженных симптомов. У женщин, страдающих мастопатией, менструальный цикл обычно остается стабильным (иногда может наблюдаться небольшое удлинение), а сильные болевые ощущения не возникают.
С физиологической точки зрения в организме происходят следующие изменения:
- Увеличивается объем железистой или соединительной ткани.
- Формируются участки фиброза.
- Образуются кисты, как одиночные, так и множественные.
Важно помнить, что мастопатия и другие доброкачественные изменения не затрагивают эпидермис. Если на коже появляются изменения (шелушение, зуд, жжение, покраснение) и они сопровождаются симптомами, характерными для мастопатии, это может свидетельствовать о наличии злокачественной опухоли.
Очаговое образование молочной железы — это термин, который вызывает множество вопросов и опасений у женщин. Многие сталкиваются с этой проблемой и начинают искать информацию о том, что это такое и как с этим бороться. В первую очередь, важно понимать, что очаговые образования могут быть как доброкачественными, так и злокачественными. Поэтому при обнаружении уплотнений или изменений в груди необходимо обратиться к врачу для диагностики.
Лечение зависит от природы образования. В случае доброкачественных изменений может быть достаточно регулярного наблюдения и контроля, а иногда назначаются медикаменты. Если же речь идет о злокачественном образовании, то потребуется комплексный подход, включая хирургическое вмешательство, химиотерапию или радиотерапию. Важно не паниковать, а действовать по рекомендациям специалистов, ведь ранняя диагностика и правильное лечение значительно повышают шансы на выздоровление. Женщины должны помнить о регулярных обследованиях и самопроверках, чтобы вовремя выявить возможные проблемы.

Клиническая картина
Очаговая мастопатия не является отдельным заболеванием, а представляет собой продолжение патологических процессов, возникающих при диффузной мастопатии. Поэтому клинические проявления зависят от стадии заболевания, особенностей течения диффузной формы и гормонального фона.
Основным признаком являются уплотнения, которые обычно имеют округлую или овальную форму, гладкую поверхность и не сливаются с окружающими тканями. В молочной железе можно прощупать характерные кисты. Пальпация, как правило, безболезненна, дискомфорт может возникнуть лишь в начале менструального цикла. У кист четкие края, а на коже изменений не наблюдается. Узлы могут быть обнаружены как в одной, так и в обеих молочных железах. Интересно, что в более чем половине случаев кисты располагаются в верхней части груди.
Количество кист может варьироваться от одной до нескольких десятков. Если кисты имеют зернистую структуру, скорее всего, их несколько. В случае, если киста большая и гладкая, обычно она одна.
Кисты не увеличиваются в размерах, хотя могут немного стать более ощутимыми перед менструацией, но, как правило, их рост минимален. Узлы лучше всего прощупываются в стоячем положении, в лежачем они могут изменять свою форму.
Лабораторные исследования не показывают связи с гормональным фоном: его изменения могут инициировать начальную стадию заболевания, но в дальнейшем не оказывают влияния на течение и проявления болезни.
Диагностические средства
Диагностические методы можно разделить на инструментальные исследования и лабораторные анализы. Первые позволяют определить форму, размеры и расположение доброкачественных очаговых изменений, в то время как лабораторные тесты помогают прояснить клиническую картину заболевания.
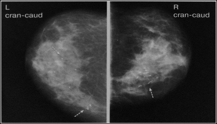
Самым точным методом диагностики является маммография. Это рентгеновское исследование тканей молочной железы, которое позволяет четко визуализировать пораженные участки. Диффузные изменения легко отличить от доброкачественных опухолей и злокачественных новообразований. Аналогичные результаты можно получить и при ультразвуковом исследовании. В большинстве случаев нет необходимости в более дорогих методах диагностики, таких как МРТ, КТ или цифровая маммография.
В процессе диагностики обязательно проводятся мероприятия, направленные на различение доброкачественных и злокачественных поражений. Например, маммографию могут назначить несколько раз в разные дни менструального цикла, чтобы получить более точную информацию о изменениях в опухоли. При наличии ракового процесса опухоль сохраняет свои размеры и форму, тогда как очаговая форма мастопатии молочной железы проявляется изменчивыми кистами, которые могут быть то более заметными, то менее.
Если возникают подозрения на онкологию, пациента направляют на консультацию к онкологу, где могут быть назначены более сложные обследования.

Лечение очаговой мастопатии
Лечение в основном осуществляется хирургическим путем. Тем не менее, существуют ситуации, когда операцию можно отложить на длительный срок и назначить динамическое наблюдение:
- Беременность и период лактации.
- Недавние операции на молочной железе.
- Наличие хронического заболевания в стадии обострения.
- Некоторые эндокринные и гинекологические расстройства.
- Инфекционные болезни.
Обычно применяется секторальная резекция, при которой удаляется часть здоровых тканей вместе с патологическими. Современные хирургические техники позволяют сохранить форму груди и сделать шрам практически незаметным. После операции кисты обязательно направляются на гистологическое исследование.
Операция назначается, поскольку некоторые доброкачественные опухоли могут иметь высокий риск перерождения. Дифференцировать безопасную доброкачественную опухоль от потенциально опасной с 100% гарантией невозможно. Решение о проведении хирургического вмешательства принимается совместно с пациенткой. В случае категорического отказа от операции назначается наблюдение.
Для снижения риска рецидива и остановки патологических процессов также необходима медикаментозная терапия, которая включает:
- Комплексную витаминотерапию. Важно поддерживать достаточный уровень витаминов А, В, С, Е.
- Нестероидные противовоспалительные препараты, которые помогают стабилизировать метаболические процессы, уменьшают отечность и напряжение в тканях после операции, а также предотвращают воспаление.
- Гепатопротекторы, которые стабилизируют обменные процессы.
- Часто назначаются успокоительные средства, так как операция и лечение могут быть серьезным стрессом. Также установлена связь между нестабильным настроением и мастопатией.
- Препараты для поддержания тонуса – различные растительные добавки и другие БАДы.
После завершения восстановительного периода необходимо регулярно посещать маммолога: в течение первого года – раз в три месяца, в течение следующих двух лет – раз в полгода, а затем – не реже одного раза в год.
Узловая мастопатия и другие формы доброкачественных новообразований молочной железы при адекватном лечении не представляют опасности для здоровья. Главное – своевременно выявить заболевание и начать рекомендованное врачом лечение. Особое внимание состоянию груди должны уделять женщины старше 40 лет.
Вопрос-ответ
Что такое очаговое образование в молочной железе?
Очаговое образование в молочной железе — это аномальное образование, которое может быть как доброкачественным, так и злокачественным. Оно может проявляться в виде узлов, кист или других изменений в тканях молочной железы. Для точной диагностики необходимо провести ультразвуковое исследование, маммографию или биопсию.
Каковы симптомы, указывающие на наличие очагового образования?
Симптомы могут варьироваться, но наиболее распространенные включают появление уплотнений в молочной железе, изменения формы или размера груди, выделения из соска и болезненность. Важно отметить, что некоторые образования могут не проявлять себя, поэтому регулярные обследования у врача крайне важны.
Какие методы лечения применяются при обнаружении очагового образования?
Лечение зависит от характера образования. В случае доброкачественных образований может быть рекомендовано наблюдение или хирургическое удаление. Если образование злокачественное, может потребоваться комплексное лечение, включая хирургическое вмешательство, химиотерапию или радиотерапию. Важно обсудить все варианты с врачом для выбора наилучшего подхода.
Советы
СОВЕТ №1
Регулярно проводите самообследование молочных желез. Это поможет вам заметить любые изменения, такие как уплотнения или изменения в форме груди, на ранней стадии. Если вы обнаружите что-то необычное, не откладывайте визит к врачу.
СОВЕТ №2
Обратитесь к врачу для проведения регулярных маммографий и ультразвуковых исследований, особенно если у вас есть предрасположенность к заболеваниям молочной железы. Эти процедуры помогут выявить очаговые образования на ранних стадиях.
СОВЕТ №3
Не игнорируйте симптомы, такие как боль, выделения из сосков или изменения кожи на груди. Эти признаки могут указывать на серьезные проблемы, и важно как можно скорее обратиться за медицинской помощью.
СОВЕТ №4
Обсудите с врачом возможные варианты лечения, если у вас диагностировано очаговое образование. Это может включать наблюдение, медикаментозное лечение или хирургическое вмешательство, в зависимости от характера образования и ваших индивидуальных обстоятельств.




