Показания для назначения обследования
Любые аномальные изменения в тканях молочных желез служат основанием для проведения ультразвукового исследования. Пациенты направляются в диагностический кабинет для выявления опухолей, кист и других новообразований.
Основные показания для УЗИ груди:
- боль различной степени в области молочной железы
- изменение формы
- изменения в состоянии кожи груди
- увеличение лимфатических узлов в области груди
- планирование беременности
- травмы груди
- оценка состояния грудных имплантов
- контроль за гормональной терапией
Данное обследование особенно важно для женщин старше 30 лет, так как с возрастом вероятность развития рака груди значительно возрастает. Часто УЗИ молочных желез выполняется в профилактических целях для подтверждения или исключения наличия патологии. При любых подозрениях на образование узла в груди назначают УЗИ или маммографию.
Ультразвуковое исследование молочной железы является важным инструментом в диагностике заболеваний груди. Врачи подчеркивают, что показаниями для проведения УЗИ могут быть изменения в тканях молочной железы, такие как уплотнения, болезненность или выделения из сосков. Также УЗИ рекомендуется для мониторинга состояния тканей после лечения или в случае наличия семейной предрасположенности к раку молочной железы.
Подготовка к исследованию, как правило, не требует особых мер. Специалисты советуют пациенткам приходить на процедуру в удобной одежде, чтобы обеспечить легкий доступ к области исследования. Важно также сообщить врачу о наличии любых заболеваний или принимаемых медикаментах. Современные методики УЗИ позволяют получить высококачественные изображения, что способствует более точной диагностике. Врачи отмечают, что регулярные обследования помогают выявить патологии на ранних стадиях, что значительно увеличивает шансы на успешное лечение.

Противопоказания к исследованию
В некоторых ситуациях использование ультразвука для диагностики может быть затруднительным. Если кожа на исследуемом органе воспалена, это может затруднить надежный контакт датчика с эпидермисом.
В других случаях нет никаких противопоказаний для проведения исследования, и этот метод диагностики считается безопасным для пациента.
| Показание к УЗИ молочной железы | Подготовка к УЗИ молочной железы | Методика УЗИ молочной железы |
|---|---|---|
| Обнаружение уплотнений или узлов в молочной железе | За 2-3 дня до исследования исключить использование косметических средств на молочных железах (кремы, лосьоны, дезодоранты). | Трансабдоминальное УЗИ (через кожу) |
| Боль в молочной железе | Не требуется специальной подготовки. | Трансабдоминальное УЗИ (через кожу) с использованием высокочастотного датчика |
| Выявление изменений в молочной железе после травмы | Не требуется специальной подготовки. | Трансабдоминальное УЗИ (через кожу) |
| Диагностика мастопатии | Не требуется специальной подготовки. | Трансабдоминальное УЗИ (через кожу), возможно допплерография |
| Контроль после операции на молочной железе | Не требуется специальной подготовки. | Трансабдоминальное УЗИ (через кожу) |
| Плановый скрининг (для женщин с высоким риском развития рака молочной железы) | Не требуется специальной подготовки. | Трансабдоминальное УЗИ (через кожу) |
| Дифференциальная диагностика кист и опухолей | Не требуется специальной подготовки. | Трансабдоминальное УЗИ (через кожу), возможно пункционная биопсия под контролем УЗИ |
| Оценка состояния имплантатов молочной железы | Не требуется специальной подготовки. | Трансабдоминальное УЗИ (через кожу) |
Преимущества и недостатки метода
Диагностику молочных желез с использованием ультразвука можно пройти в любом медицинском учреждении. УЗИ отличается доступной стоимостью и не имеет противопоказаний. Главное преимущество ультразвукового исследования по сравнению с другими методами заключается в его высокой информативности, которая превосходит рентген и маммографию. Кроме того, ультразвук оказывает меньшую лучевую нагрузку на организм, что делает его безопасным даже для женщин в период беременности и лактации.
С помощью ультразвукового исследования можно:
- Визуализировать как патологические изменения, так и здоровую ткань.
- Определить размеры опухолевых образований.
- Исследовать участки, которые недоступны для маммографии.
- Оценить плотность и другие характеристики патологического очага.
Этот диагностический метод позволяет выявить рак молочной железы, мастопатию и образование узлов на ранних стадиях. Это дает возможность своевременно начать лечение серьезного заболевания, быстрее приступить к приему необходимых медикаментов и ускорить процесс выздоровления.
Ультразвуковое исследование не имеет серьезных недостатков — звуковые волны безопасны, поэтому данный метод назначается врачами даже в самых сложных случаях. УЗИ можно проводить при травмах, общей слабости организма, после родов и в пожилом возрасте.
УЗИ молочной железы – это важный диагностический метод, который позволяет выявить различные патологии на ранних стадиях. Многие женщины отмечают, что процедура проходит быстро и безболезненно, что делает её доступной для регулярного обследования. Подготовка к УЗИ обычно не требует особых усилий: достаточно прийти на процедуру в удобной одежде и без косметики на груди. Это позволяет получить наиболее точные результаты.
Среди доступных методик УЗИ выделяют как стандартное исследование, так и допплерографию, которая помогает оценить кровоток в тканях. Пациенты часто подчеркивают важность консультации с врачом перед процедурой, чтобы правильно интерпретировать результаты и понять, какие дальнейшие шаги необходимо предпринять. В целом, УЗИ молочной железы считается безопасным и информативным методом, который помогает сохранить здоровье и уверенность женщин.

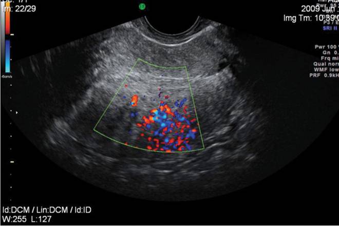
Исследование с ЦДК
Цветное доплеровское картирование (ЦДК) предоставляет возможность четко различать кисты и опухоли различных типов, что делает его популярным среди врачей как один из самых информативных методов диагностики. Киста не содержит кровеносных сосудов и представляет собой полую структуру, заполненную жидкостью. Применение ЦДК помогает специалисту определить состав новообразования и провести детальный анализ патологического очага.
Такой подход особенно важен перед проведением хирургического вмешательства, так как он позволяет уточнить расположение и структуру сосудов в пораженной ткани. Методика дает возможность оценить состояние сосудов, а также направление и скорость кровотока в области патологии. Информативность данного исследования позволяет заранее установить характер новообразования.
УЗИ с эластографией
Проведение ультразвукового исследования молочных желез с использованием эластографии значительно улучшает возможность различения органических тканей и снижает количество биопсий, которые необходимо проводить пациенткам. Метод соноэластографии представляет собой дополнительный диагностический подход, который основывается на оценке плотности пораженной области молочной железы. Специалист анализирует данные о напряжении в тканях. Стрейн эластография эффективно выявляет внешнее сжатие новообразования.
Диагностика осуществляется с применением сдвиговой волны или компрессионной эластографии. Этот метод основан на воздействии ультразвукового импульса и поперечной волны. Эластография обеспечивает высокое качество изображений и позволяет различать доброкачественные и злокачественные опухоли.

Когда проводят обследование
Многих женщин интересует, когда лучше всего проходить УЗИ молочных желез. Специалисты рекомендуют проводить эту диагностику в первой половине менструального цикла, в частности, на 8-10 день после окончания менструации. Если у женщины короткий цикл, то исследование можно назначить и на 6-й день.
Это связано с тем, что в указанный период строма железы становится более плотной, а протоки закрываются. С 10 по 20 день цикла альвеолы начинают активно получать кровь, что приводит к отечности и расширению тканей молочной железы. Проведение УЗИ в это время может привести к получению ложных результатов.
В некоторых ситуациях исследование назначается врачом без учета дней менструального цикла. Во время менопаузы молочные железы теряют свои функции и перестают получать необходимые гормоны, поэтому УЗИ можно проводить в любое время.
Процедура УЗИ является простой и безболезненной для пациента. Для ее выполнения кожу молочных желез обильно смазывают специальным гелем, который помогает ультразвуковым волнам проходить и отражаться от тканей. Исследование проводится в положении лежа и занимает не более 15 минут.
Как часто можно делать обследование
Как часто можно проводить УЗИ молочных желез? Врачи считают, что регулярное выполнение УЗИ не наносит вреда организму. Исследование следует проводить столько раз, сколько требуется для точного определения диагноза и мониторинга процесса лечения.
Обследование при беременности и в период грудного вскармливания
Метод ультразвукового исследования (УЗИ) абсолютно безопасен, что делает его подходящим для использования беременными и кормящими женщинами. В период беременности молочные железы претерпевают значительные изменения, подготавливаясь к лактации. УЗИ во время беременности демонстрирует уменьшение жировых долек в груди и активное развитие других структур желез. Альвеолы и протоки становятся более широкими.
Проведение УЗИ молочной железы во время грудного вскармливания рекомендуется при наличии застойных или воспалительных процессов. Это исследование позволяет оценить состояние тканей, протоков и лимфатических узлов, а также выявить наличие микрокальцинатов. Женщина может пройти данное обследование в любой день своего менструального цикла.
Подготовка к диагностике
Перед проведением процедуры важно подготовиться — примите душ или ванну. Не рекомендуется использовать косметику на области молочных желез, от применения привычного крема лучше воздержаться. Специальная подготовка к УЗИ молочных желез не требуется, достаточно правильно определить день менструального цикла.
Протокол обследования
В ультразвуковой диагностике ключевым аспектом является оценка эхогенности тканей. Это позволяет врачу определить состояние и плотность исследуемой области, однако полное толкование результатов выполняется специалистом после анализа всех полученных изображений.
Анэхогенностью называют отсутствие отражения ультразвуковых волн от тканей. Анэхогенные образования в молочной железе, как правило, являются доброкачественными и отображаются на снимках черным цветом. Состояние тканей во многом зависит от дня менструального цикла, так как перед менструацией у женщин молочные железы могут отекать, а протоки расширяться.
Анализ результатов осуществляет опытный врач. Кожный покров на УЗИ выглядит как равномерная эхогенная зона. В области ареолы кожа имеет более плотную структуру.
Гиперэхогенные зоны представляют собой соединительные ткани и паренхиму. Жировая ткань отображается как гиперэхогенная структура с небольшими гипоэхогенными вкраплениями.
К отклонениям от нормы можно отнести:
- преобладание кистозных образований в железе
- диффузные изменения в тканях
- наличие плотного эхогенного узла
- отечность эхопозитивной области
- образования с жидким содержимым
- множественные или единичные уплотнения
- тяжистую структуру железы
- высокую эхонегативность
- эхонегативные полостные образования с четкими границами
- гипоэхогенные неоднородные образования
- изменения в лимфатических узлах
Признаки доброкачественных опухолей
При образовании новообразования патологические участки отделены от здоровых тканей полостью. Обнаружение аваскулярного образования в молочной железе, как правило, свидетельствует о доброкачественном характере процесса. Вероятность трансформации опухоли в злокачественную невысока, однако патологические изменения требуют регулярного наблюдения и квалифицированного лечения.
Существует несколько типов доброкачественных анэхогенных образований:
- киста
- галактоцеле
- олеогранулема
- фиброаденома
Признаки доброкачественных новообразований включают их неоднородную структуру и гиперэхогенное поле. Любые изменения в контурах, плотности и структуре органа следует рассматривать как наличие патологического процесса. Правильную интерпретацию результатов сможет сделать только врач. Заключение УЗИ обязательно должно быть показано маммологу для дальнейшего определения необходимых лечебных мероприятий.
Признаки злокачественных опухолей
Предрасположенность к трансформации в злокачественное образование часто наблюдается у многокамерных структур. Круглые или овальные элементы в общей ткани органа не отражают ультразвуковые волны и имеют размытые границы.
При раке молочной железы образование характеризуется значительными размерами, неоднородной структурой и низкой плотностью. В центре патологического участка можно увидеть гипоэхогенный элемент. Вокруг опухоли наблюдается зона с повышенной эхогенностью, что связано с клеточной инфильтрацией.
Основным признаком злокачественного процесса являются нечеткие контуры образования. Некоторые опухоли могут иметь достаточно плотную структуру и выглядеть как овальные уплотнения с наличием дополнительных сосудов.
Ультразвуковое исследование предоставляет возможность для первичной оценки при наличии рака. Для получения более детальной информации назначается биопсия, которая позволяет выявить морфологические изменения в клетках органа.
Ультразвуковая диагностика молочных желез играет важную роль в выявлении различных патологий. Этот метод доступен по цене для всех слоев населения и является значимой профилактической мерой против рака груди.
Вопрос-ответ
Каковы основные показания для проведения УЗИ молочной железы?
Основные показания для проведения УЗИ молочной железы включают наличие уплотнений или образований в груди, изменения в форме или размере молочной железы, болезненность, а также необходимость мониторинга состояния после лечения заболеваний молочной железы. УЗИ также может быть рекомендовано для оценки состояния молочных желез у женщин с высокой предрасположенностью к раку.
Как правильно подготовиться к УЗИ молочной железы?
Подготовка к УЗИ молочной железы обычно не требует особых мер. Рекомендуется провести исследование в первую половину менструального цикла, так как в этот период молочные железы менее отечные и болезненные. Также стоит избегать применения кремов, лосьонов или дезодорантов на область груди в день исследования, чтобы избежать искажений результатов.
Какие методики используются для УЗИ молочной железы?
Для УЗИ молочной железы используются несколько методик, включая стандартное ультразвуковое исследование, которое позволяет визуализировать ткани молочной железы, а также допплерографию для оценки кровотока в образовании. В некоторых случаях может применяться эластография, которая помогает оценить жесткость тканей и выявить возможные патологии.
Советы
СОВЕТ №1
Перед проведением УЗИ молочной железы рекомендуется записаться на процедуру в первую половину менструального цикла, так как в этот период ткани молочной железы менее отечные и более четко видны на УЗИ.
СОВЕТ №2
Не забудьте сообщить врачу о любых изменениях в состоянии молочных желез, таких как уплотнения, боль или выделения. Это поможет специалисту более точно оценить результаты исследования.
СОВЕТ №3
Перед УЗИ молочной железы не требуется специальной подготовки, однако рекомендуется избегать применения кремов, лосьонов или дезодорантов в области груди в день процедуры, чтобы не затруднять диагностику.
СОВЕТ №4
Если у вас есть семейная история заболеваний молочной железы, обсудите с врачом необходимость регулярного УЗИ и других методов обследования для раннего выявления возможных проблем.





