Симптомы
Фиброаденома молочной железы формируется в верхней части груди. Это доброкачественное образование чаще всего встречается у женщин, однако может быть выявлено и у мужчин.
Основные симптомы новообразования в груди:
- ощущение уплотнения в ткани железы
- появление язвочек на ареоле соска
- болезненность при нажатии на железу
На ранних стадиях опухоль трудно обнаружить – диффузная форма развивается без выраженных симптомов, и боль отсутствует. Лишь при увеличении размеров образования может возникнуть болезненность при пальпации железы. Фиброаденома груди может быть выявлена с помощью рентгенографии, ультразвукового исследования молочных желез или во время профилактического осмотра у маммолога.
В некоторых случаях в верхней части грудной железы можно заметить видимый бугор овальной формы. По мере прогрессирования опухоли состояние пациентки может ухудшаться. Появляются трещины на ареоле, выделения из соска становятся мутными, а кожа груди может покраснеть.
Врачи отмечают, что фиброаденома молочной железы является одним из наиболее распространенных доброкачественных образований у женщин. Она характеризуется четкими границами, эластичной консистенцией и подвижностью при пальпации. Симптомы, как правило, отсутствуют, однако некоторые пациентки могут ощущать дискомфорт или боль в области образования. Врачи подчеркивают важность регулярных обследований, так как фиброаденома может изменяться в размерах и количестве. Лечение чаще всего не требуется, если образование не вызывает беспокойства, однако в случае увеличения или изменения характера фиброаденомы может быть рекомендовано хирургическое удаление. Прогноз в большинстве случаев благоприятный, так как фиброаденома не предрасполагает к развитию рака молочной железы. Тем не менее, регулярное наблюдение и контроль состояния остаются важными аспектами в управлении этим заболеванием.

Возникновение болезни
Новообразование чаще всего развивается у женщин в период менопаузы, а также у подростков в процессе полового созревания. Основной причиной формирования патологического очага является гормональный дисбаланс. Если опухоль начинает развиваться у молодой девушки, то к 30 годам она обычно достигает своего максимального размера.
К факторам, способствующим возникновению заболевания, относятся:
- травмы груди
- аборты
- ошибки при грудном вскармливании
- загар без топа
- мастит
Причины возникновения патологии могут быть разнообразными. Опухоль формируется в результате гормонального дисбаланса, когда уровень эстрогенов значительно превышает уровень других гормонов. Появление фиброаденомы может быть спровоцировано любым негативным фактором. В молочной железе начинается активное деление клеток соединительных тканей, что приводит к разрастанию органических структур. При этом клетки сохраняют свою нормальную структуру и не являются злокачественными.
Фиброаденома может расти довольно быстро, поэтому необходим регулярный медицинский контроль. Если новообразование имеет мягкую консистенцию, это указывает на его незрелость. Плотная фиброаденома окружена капсулой, и при полном созревании она может вызывать болезненные ощущения и перестает увеличиваться в размерах.
| Вид фиброаденомы | Симптомы | Лечение и прогноз |
|---|---|---|
| Узловая фиброаденома (наиболее распространенный тип) | Обычно безболезненное, подвижное образование в молочной железе; может быть обнаружено случайно при самообследовании или маммографии. Размер варьируется от нескольких миллиметров до нескольких сантиметров. | Обычно наблюдение. Если быстро растет, вызывает дискомфорт или косметические проблемы – хирургическое удаление (эксцизионная биопсия). Прогноз благоприятный, рецидивы редки. |
| Листовидная фиброаденома (менее распространенный, но более агрессивный тип) | Быстрорастущее, часто болезненное образование, может быть крупным. Может иметь неровные края. | Хирургическое удаление (эксцизионная биопсия) с последующим гистологическим исследованием. Более высокий риск рецидива по сравнению с узловой фиброаденомой. Регулярное наблюдение после операции. |
| Внутрипротоковая фиброаденопатия | Может проявляться как уплотнение или узелки в молочной железе, иногда с выделениями из соска. | Лечение зависит от симптомов. Может включать наблюдение, медикаментозную терапию (при наличии болевых ощущений) или хирургическое вмешательство в случае выраженного дискомфорта или подозрения на злокачественное перерождение. Прогноз благоприятный при своевременном лечении. |
Способы диагностики
Для того чтобы установить точный диагноз, необходимо обратиться к онкологу. Специалист проведет осмотр молочной железы с помощью пальпации и даст направления на дополнительные исследования.
К основным методам диагностики фиброаденомы относятся:
- УЗИ молочных желез
- маммография
- рентгенологическое исследование
- биопсия
На рентгеновском снимке опухоль выглядит с однородной структурой и четкими контурами. Эти исследования помогают определить размеры образования — иногда опухоль может достигать 3 см. Характерной особенностью фиброаденомы является отсутствие метастазов, что делает ее в большинстве случаев неопасной. В некоторых ситуациях могут быть обнаружены множественные фиброаденомы.
Биопсия позволяет исключить возможность злокачественного процесса и определить морфологические характеристики клеток фиброаденомы. Для анализа берется небольшой фрагмент ткани опухоли, который отправляется в лабораторию для дальнейшего исследования.
Фиброаденома молочной железы — это доброкачественная опухоль, которая чаще всего встречается у женщин в возрасте от 15 до 35 лет. Многие пациенты отмечают, что образование может проявляться в виде безболезненного уплотнения в груди, которое легко прощупывается. Симптомы, как правило, не вызывают дискомфорта, что иногда затрудняет раннюю диагностику. Важно помнить, что регулярные обследования и маммография помогают выявить изменения на ранних стадиях. Лечение фиброаденомы может варьироваться от наблюдения до хирургического удаления, в зависимости от размера и роста опухоли. Прогноз, как правило, благоприятный: большинство женщин после удаления опухоли не испытывают рецидивов и могут продолжать вести нормальную жизнь. Однако важно следить за состоянием груди и консультироваться с врачом при любых изменениях.

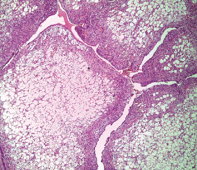
Виды образования
Безболезненные образования имеют свои характерные черты. Специалисты выделяют несколько типов таких очагов. Существует несколько категорий доброкачественных опухолей.
Листовидная фиброаденома
Этот вид опухоли считается наиболее опасным с точки зрения медицинских прогнозов. Узел характеризуется быстрым ростом, что значительно увеличивает вероятность его перерождения в рак. Размеры фиброаденомы могут достигать 5 сантиметров.
Опухоль имеет слоистую структуру и часто связана с гинекологическими заболеваниями. При значительных размерах листовидной опухоли молочной железы может возникать болезненность, которая усиливается при пальпации.
При истончении кожи над новообразованием диагностируется филлоидная фиброаденома, которая может быть подвижной и довольно крупной. Опухоль имеет округлую форму и не вызывает болевых ощущений. Отличительной чертой фиброаденомы данного типа является отделение её структур от окружающих тканей и размытые контуры.
Чаще всего опухоль выявляется у женщин в возрасте, особенно в период менопаузы. Листовидная фиброаденома может возникнуть вследствие перенесенного стресса или гормонального дисбаланса. По статистике, в 10% случаев доброкачественный процесс может перейти в рак. В таких ситуациях необходимо удаление фиброаденомы.

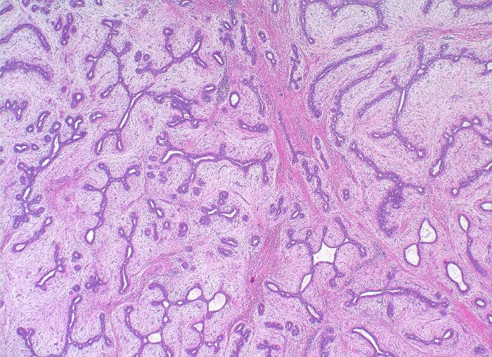
Интраканаликулярная
Опухоль данного типа не обладает четкими очертаниями и располагается в тканях молочных протоков. Узел характеризуется медленным ростом, в процессе которого происходят патологические изменения в молочной железе.
При проведении диагностики можно наблюдать выделения отдельных долей новообразования. Нечеткие границы образуются в результате прорастания соединительных тканей в молочные протоки. Товары для йоги можно приобрести в Москве на нашем сайте. Не упустите возможность купить прямо сейчас, пока они еще есть в наличии.
Риски трансформации интраканаликулярной фиброаденомы в рак невысоки, однако полностью исключать вероятность злокачественного процесса нельзя. Консультация с маммологом поможет определить дальнейшую стратегию лечения — в большинстве случаев такая опухоль удаляется хирургическим способом.
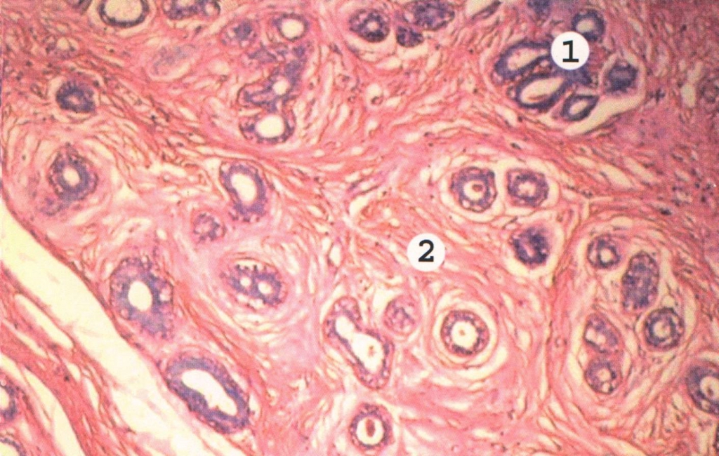
Периканаликулярная
Опухоль располагается вблизи млечных протоков и обладает плотной консистенцией. На рентгеновских снимках можно четко увидеть границы новообразования. Чаще всего фиброаденома встречается у женщин в возрасте.
Основными факторами, способствующими образованию периканаликулярной фиброаденомы, являются возрастные изменения и гормональные колебания в организме. Эта опухоль возникает в результате увеличения тканей молочной железы. В некоторых случаях фиброаденома может вызывать дискомфорт перед менструацией, что связано с образованием кальцинатов в фиброзно-жировой ткани.
Риск развития злокачественного процесса невысок, однако важно регулярно контролировать состояние опухоли. Фиброаденома хорошо поддается медикаментозному лечению, что позволяет избежать хирургического вмешательства в большинстве случаев.
Смешанная
Инволютивные формы новообразований представляют собой образования из соединительной ткани и паренхимы, которые прорастают между молочными протоками. Смешанная опухоль характеризуется размытыми границами, и при пальпации можно ощутить отдельные доли этого новообразования.
Медицинский прогноз по фиброаденоме в целом положителен при хирургическом удалении опухоли, так как она слабо реагирует на медикаментозное лечение. Риск развития рака при данном типе фиброаденомы остается на минимальном уровне.
Отличия кисты и фиброаденомы
Киста, в отличие от фиброаденомы, обладает округлыми гладкими краями. Размеры этого образования могут варьироваться от 3 до 10 см. Структура кисты эластичная и более мягкая, она обычно располагается в верхнем квадранте молочной железы.
Чаще всего кисты возникают у женщин в возрасте 40-50 лет, тогда как фиброаденома может быть обнаружена и у молодых девушек. Поражение обеих молочных желез при кистах наблюдается довольно редко. В некоторых случаях особенно крупная киста может привести к деформации груди.
Фиброаденома, в свою очередь, отличается разнообразием размеров долей молочной железы и волокнистой структурой. При наличии этой опухоли может наблюдаться сужение молочных протоков. В некоторых случаях соединительная ткань молочной железы может разрастаться по кругу, а в других – прорастать в протоки.
Лечение
Следует ли проводить лечение новообразования, если оно не вызывает дискомфорта? Врачи единодушны в своем мнении – удаление новообразования необходимо. Способы лечения фиброаденомы варьируются и зависят от проявления симптомов, результатов обследований и специфики диагноза.
Безоперабельное лечение фиброаденомы
Решение о том, удалять ли фиброаденомы молочных желез, принимает исключительно врач. Консервативное лечение может включать:
- использование местных препаратов
- прием гормональных средств
- коррекцию иммунного статуса
Для облегчения симптомов и уменьшения новообразования часто назначают местное применение геля Прожестожель. Этот препарат, содержащий прогестерон, показан при различных заболеваниях молочных желез и используется для лечения доброкачественных опухолей.
В форме капель или таблеток применяется препарат Мастодинон. Это натуральное средство не содержит гормонов и помогает стабилизировать уровень пролактина в организме женщины. Также для коррекции уровня эстрогенов и прогестерона может быть назначен гормональный препарат Дюфостон.
Многих пациентов, проходящих консервативное лечение, интересует вопрос, может ли фиброаденома рассосаться. При диагностировании слабо выраженной опухоли эффективность медикаментозной терапии значительно возрастает. Однако в случаях, когда лечение не дало ожидаемых результатов, а размер опухоли остается значительным, может потребоваться хирургическое вмешательство.
Хирургическое
Существует несколько хирургических подходов к удалению опухолей. Операция рекомендуется в случаях, когда новообразование имеет значительные размеры, сопровождается ярко выраженными симптомами или существует риск его перерождения в злокачественную форму.
Энуклеация, вылущивание
Энуклеация направлена на полное удаление опухоли с минимальным воздействием на окружающие ткани. Процедура проводится только после получения всех необходимых анализов и занимает примерно 1 час. В случае наличия злокачественных образований вылущивание опухоли не рекомендуется.
Секторная резекция
Во время хирургической процедуры врач удаляет не только опухоль, но и близлежащие ткани, которые окружают новообразование. Секторальная резекция дает возможность сохранить орган и осуществляется для предотвращения повторного возникновения заболевания. В ходе операции локальный очаг полностью устраняется.
Тотальная резекция
Показаниями для проведения тотальной резекции являются:
- наличие угрозы онкологического заболевания
- стремительное увеличение патологического образования
- филлоидная форма опухоли
Не стоит откладывать ожидание, что опухоль исчезнет сама по себе; своевременное хирургическое вмешательство поможет быстрее решить проблемы со здоровьем и начать путь к выздоровлению. Эта операция не относится к щадящим и малоинвазивным методам, в процессе которой может быть удалено до 75% органа. Подготовка к операции проходит по стандартной схеме, а во время вмешательства используется общая анестезия.
Иссечение лазером
Современный метод отличается высокой безопасностью и дает возможность сохранить орган во время удаления патологического образования. Этот малоинвазивный подход использует точно направленный лазерный луч. Операция выполняется под местной анестезией и способствует регенерации соединительной ткани.
Вакуумное
Удаление новообразования с использованием вакуумного метода представляет собой современный подход в области медицины, который не требует наложения швов. Этот метод является безопасной альтернативой традиционной секреторной резекции и проводится под местной анестезией. Процедура не включает в себя травматичные разрезы, а процесс удаления новообразования осуществляется под контролем ультразвукового аппарата.
Грудь после удаления фиброаденомы молочной железы
В период восстановления после операции крайне важно придерживаться назначенной диеты и рекомендаций врача. После удаления фиброаденомы форма груди остается неизменной – бюст не теряет своей эстетики и не становится некрасивым. Молочная железа продолжает выполнять все свои функции. Женщина может забеременеть, но вопрос о возможности грудного вскармливания обсуждается с врачом индивидуально.
Остаются ли шрамы после операции
Хирургическая процедура завершается наложением косметического внутрикожного шва. Разрез на коже выполняется с учетом косметических аспектов, что позволяет после удаления шва и полного заживления практически не оставлять следов от операции. Кроме того, существуют менее инвазивные методы удаления опухолей, при которых швы вовсе не требуются – это криодеструкция, высокочастотная абляция и лазерное воздействие.
Народные средства
Народная медицина предлагает множество действенных рецептов для лечения доброкачественных опухолей. Одним из таких средств является отвар из коры граната, который особенно полезен при фиброаденоме. Для его приготовления необходимо взять одну часть гранатовых корок и смешать их с веточками калины и дуба. Полученную смесь заливают кипящей водой и настаивают на водяной бане под крышкой в течение 10 минут. После этого настой следует процедить и принимать по 5 столовых ложек трижды в день натощак.
Существует также другой, проверенный временем рецепт. При фиброаденоме рекомендуется употреблять отвар из травяного сбора, в который входят зверобой, сосновые почки, плоды шиповника и полынь. Травяную смесь можно заварить в термосе или в закрытой посуде, затем поместить на водяную баню и добавить 200 мл спирта или коньяка. После охлаждения отвар настаивают. Спиртовую настойку следует принимать с медом и соком алоэ за полчаса до еды по одной чайной ложке в течение 6 дней.
Важные вопросы
Каждая женщина, столкнувшаяся с диагнозом доброкачественной опухоли, испытывает беспокойство по поводу здоровья своей молочной железы. На консультации у врача важно задать все волнующие вопросы. Опытный специалист предоставит исчерпывающие ответы и разъяснения.
Может ли фиброаденома переродиться в рак
Многих женщин волнует вопрос, может ли фиброаденома перейти в рак. Наиболее подвержены этому процессу листовидные и периканаликулярные опухоли. Тем не менее, вероятность их перерождения в злокачественное образование остается низкой. Фиброаденома трансформируется в рак лишь в 20% случаев, и в большинстве ситуаций уплотнение остается доброкачественным и редко вызывает болевые ощущения.
Доброкачественное образование требует регулярного наблюдения и проведения биопсии. Гистологический анализ полученного биоматериала поможет установить характер и морфологию клеток новообразования.
Фиброаденома и беременность
В ряде случаев доброкачественные опухоли молочной железы выявляются во время беременности. Фиброаденома, как правило, не влияет негативно на процесс вынашивания, однако может вызвать определенный дискомфорт и затруднения в период грудного вскармливания.
Беременной женщине важно находиться под постоянным наблюдением врачей. Решение о необходимости хирургического вмешательства принимается индивидуально.
ЭКО и фиброаденома
На вопрос о совместимости фиброаденомы молочной железы с процедурой ЭКО сможет ответить квалифицированный врач. Это доброкачественное образование обычно не представляет опасности для эмбриона и не влияет на процесс рождения ребенка. Подход специалистов зависит от индивидуальных характеристик каждой пациентки: некоторым женщинам рекомендуется провести операцию перед началом ЭКО, в то время как другим, при наличии противопоказаний, советуют избегать хирургического вмешательства.
Профилактика
В числе профилактических мероприятий важное место занимают правильное питание и психосоматическое состояние. Женщинам рекомендуется минимизировать стрессовые ситуации и волнения, регулярно контролировать менструальный цикл и время от времени проходить ультразвуковое обследование молочных желез. Регулярные профилактические осмотры у гинеколога и маммолога помогают своевременно обнаружить фиброаденому.
Вопрос-ответ
Что такое фиброаденома молочной железы и как она проявляется?
Фиброаденома молочной железы — это доброкачественная опухоль, состоящая из соединительной и железистой ткани. Она обычно проявляется в виде безболезненного уплотнения в груди, которое может быть подвижным и иметь четкие границы. Часто фиброаденомы не вызывают никаких симптомов, но могут быть обнаружены при самообследовании или во время маммографии.
Каковы методы лечения фиброаденомы и когда они необходимы?
Лечение фиброаденомы может варьироваться в зависимости от ее размера, симптомов и предпочтений пациентки. В большинстве случаев, если опухоль не вызывает беспокойства и не увеличивается в размерах, может быть рекомендовано наблюдение. Однако, если фиброаденома вызывает дискомфорт или растет, может быть предложено хирургическое удаление. Также существуют минимально инвазивные методы, такие как криоабляция.
Каков прогноз при наличии фиброаденомы молочной железы?
Прогноз при наличии фиброаденомы молочной железы в целом благоприятный. Эти опухоли являются доброкачественными и редко перерастают в рак. Тем не менее, важно регулярно проходить обследования и следить за состоянием молочных желез, так как наличие фиброаденомы может потребовать дополнительного контроля для исключения других заболеваний.
Советы
СОВЕТ №1
Регулярно проводите самообследование молочных желез. Это поможет вам заметить любые изменения или уплотнения на ранней стадии. Если вы обнаружите что-то необычное, не откладывайте визит к врачу.
СОВЕТ №2
Обязательно проходите регулярные медицинские осмотры и маммографию, особенно если у вас есть предрасположенность к заболеваниям молочной железы. Это поможет выявить фиброаденомы и другие патологии на ранних стадиях.
СОВЕТ №3
Обсуждайте с врачом все доступные варианты лечения фиброаденомы, включая наблюдение, медикаментозную терапию и хирургическое вмешательство. Выбор метода лечения должен основываться на индивидуальных особенностях вашего здоровья.
СОВЕТ №4
Следите за своим образом жизни: сбалансированное питание, регулярные физические нагрузки и отказ от вредных привычек могут снизить риск развития заболеваний молочной железы и улучшить общее состояние здоровья.








