Магнитно-резонансная томография – информативный неинвазивный способ изучения церебральных структур. Диагностика патологических процессов головного мозга при помощи других методов осложняется наличием черепной коробки, выполняющей защитную функцию. Сканирование с использованием индукционного поля позволяет выявить малейшие изменения. Очаги глиоза на МРТ головного мозга обнаруживаются наиболее точно, специалист может определить характер и локализацию процесса.
Исследование проводят с помощью томографа, состоящего из передвижного стола и широкого тоннеля. Устройство генерирует магнитное поле, под воздействием которого атомы водорода в молекулах воды выстраиваются особым образом. Чувствительные датчики считывают отклик сканируемых тканей, получая информацию о степени насыщения жидкостью клеток головного мозга.
Компьютерная программа преобразует сигнал в серию послойных изображений, сделанных в аксиальной, сагиттальной и фронтальной проекциях. На основании полученных снимков врач может, при необходимости, реконструировать 3D-модель головного мозга.
Морфология глиоза головного мозга
Разрушение функциональной мозговой ткани приводит к замещению участков повреждения нейроглией. Процесс необходим для обеспечения церебрального питания, обеспечения необходимыми веществами.
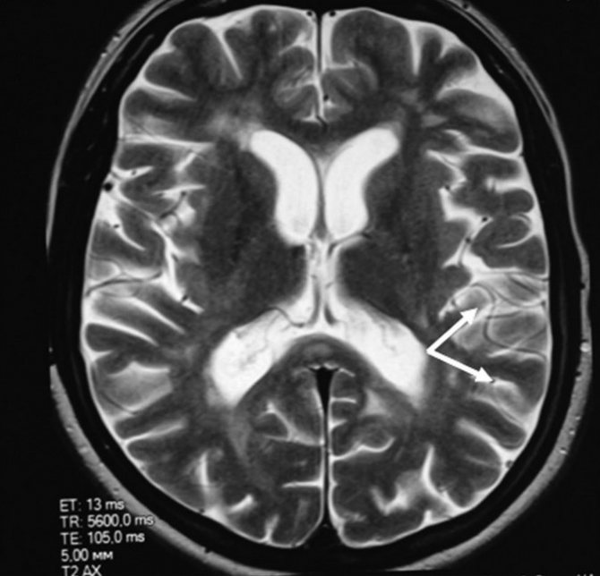
МРТ глиоза головного мозга
Основные анатомические структуры центральной нервной системы:
- Клеточные пласты выстилки желудочков – эпендимы;
- Функциональные элементы передачи нервного сигнала – нейроны;
- Ткани, обеспечивающие каркасную, строительную, метаболическую, секреторную функцию – нейроглия.
Большую часть церебральной структуры составляют глиальные элементы. Комплекс обеспечивает множество функций, но передача сигнала обеспечивается посредством взаимосвязей между нейронами. Чем меньше нервных волокон, тем медленнее протекают процессы. Трофические функции выполняет глия, заполняющая около сорока процентов головного мозга.
Воспаления, инфекции, травматические повреждения мозга могут приводить к разрушению нейронов, эпендимы. Места разрушения заполняются нейроглией, создающей рубцы, которые подобны шрамам на коже (разрастание соединительнотканных волокон).
Методы лечения
Лечение глиоза направлено на устранение причин патологии – в первую очередь проводится терапия первичного заболевания, поразившего структуры головного мозга. Специфического лечения глиозных изменений не предусмотрено. В зависимости от показаний назначают лекарственные препараты, реже проводят операцию. Питание при глиозе головного мозга должно быть полноценным и сбалансированным.
Множественные очаги глиоза, обнаруженные в ходе исследования структур головного мозга, независимо от размера требуют динамического наблюдения. Периодичность контрольных исследований назначает лечащий врач.
Медикаментозная терапия
Как лечить глиоз головного мозга расскажет лечащий врач, опираясь на результаты диагностического обследования с учетом первичной патологии, возраста пациента и симптоматики. Основные лекарственные средства:
- Ноотропные. Защищают нейроны от повреждений, стимулируют обменные процессы в нервных клетках.
- Регулирующие мозговой кровоток. Препараты, нормализующие деятельность кровеносной системы, питающей мозг.
- Антиоксидантные. Препараты, препятствующие окислительным реакциям в нервной ткани.
- Антигипертензивные. Лекарства, нормализующие показатели артериального давления.
Параллельно в зависимости от вида первичного заболевания и симптомов назначают препараты для устранения неврологической симптоматики. Эта группа включает противосудорожные, противоэпилептические, обезболивающие, противорвотные лекарства.
Хирургическое вмешательство
К оперативному лечению прибегают, когда невозможно поддерживать хорошее самочувствие пациента медикаментозными средствами. Хирургическое лечение глиоза показано при определенных условиях:
- Единичные, крупные очаги.
- Наличие выраженной неврологической симптоматики – судорожный синдром, эпилептические припадки, серьезные нарушения двигательной активности и умственной деятельности.
- Возраст пациента не старше 60 лет.
- Масс-эффект (негативное влияние образования на окружающие здоровые структуры мозга).
В ходе операции удаляют участки кистозно-глиозной ткани, которые провоцируют симптомы и расстройства. Лечение должно проводиться комплексно и быть своевременным.
Где появляются очаги глиоза
Если болит голове на фоне нозологии, МРТ определит множественные участки глиальной ткани. Очаги поражают разные отделы мозга. Располагаются с одинаковой вероятностью, как внутри белого вещества, так и поверхностно.
Формы глиоза по структуре очагов:
- Волокнистая – морфологические дефекты содержат большую часть волокон;
- Краевая – зоны локализуются поверхностно под оболочкой;
- Сосудистая – преобладает разрастание мелких капилляров;
- Анизоморфная – хаотичное расположение глиальных элементов, преобладающих над волокнами;
- Периваскулярная – нейроглия находится вокруг пораженных сосудов (при васкулитах);
- Очаговая – ограниченный участок на месте воспаления;
- Диффузная – распространение процесса на головной и спинной мозг;
- Супратенториальная – единичные очаги глиоза сосудистого генеза в головном мозге образуются при старении человека, после родов у детей. Течение бессимптомное.
Магнитно-резонансная томография головного мозга позволяет сосчитать очаги глиоза. Томограммы показывают структуру участков. Чем обширнее фокус, тем больше клинических симптомов повреждения ЦНС.
Динамическое обследование (повторное МРТ) позволяет оценить увеличение размеров очагов головного мозга.
Определение патологии
Когда нейроны, составляющие нервную ткань, повреждаются, на их месте образуются клетки глии. Глиозные изменения – это такой процесс, протекающий в головном мозге, который характеризуется увеличением количества клеток глии, что при расширении масштабов замещения приводит к ухудшению функционирования ЦНС. Чем больше глиозных очагов в мозговом веществе, тем хуже головной мозг выполняет свои функции.
Нарушения чаще связаны с ухудшением передачи нервных импульсов, при помощи которых нервная система управляет органами и системами организма. Пролиферация глиальных клеток чаще протекает в виде диффузного распространения астроцитов. В ходе разрастания участков, состоящих из клеток глии, появляются такие признаки патологии, как нарушение двигательной координации, ухудшение памяти, замедленность движений и реакции. Глиозная трансформация головного мозга в зависимости от вида первичной патологии протекает с характерными особенностями.
При сахарном диабете наблюдается масштабная инфильтрация макрофагов и гипертрофия (патологическое увеличение размеров) астроцитов. Глиозные изменения у больных наркоманией сопровождаются увеличением числа олигодендроцитов дренажных форм. При рассеянном склерозе выявляется гипертрофия астроцитов и изменение глиальной формулы (астроциты – 46%, олигодендроциты – 40%, другие клетки – 14%).
В норме глиальная формула выглядит так: астроциты – 8,5%, олигодендроциты – 85%, другие клетки – 7,5%. При эпилепсии наблюдается уменьшение количества олигодендроцитов на 20% и микроглиоцитов на 6%. Глиальные клетки являются самыми многочисленными и активными компонентами мозговой ткани. Они сохраняют способность делиться на протяжении всей жизни. Благодаря высокой активности клетки глии незамедлительно реагируют на любые изменения условий функционирования мозга.
Среднее количество клеток в 1 мм2 мозговой ткани различается в зависимости от месторасположения участка. К примеру, в теменной доле количество клеток в 2 раза больше, чем в лобном отделе. При диагнозе рассеянный склероз количество клеток глии на участках, не затронутых процессом демиелинизации, может увеличиваться примерно в 3 раза. У больных наркоманией доля глиальных клеток возрастает примерно в 2 раза.
При дисциркуляторной энцефалопатии этот показатель увеличивается незначительно. Очаги глиоза возникают как реакция нейроглии на повреждение нервной ткани или изменение условий функционирования мозга. Митотическая активность глиоцитов повышается в ответ на развитие патологических процессов в тканях ЦНС. Глиозные очаги – следствие процесса восстановления разрушенной мозговой ткани. Однако функции участков восстановленной ткани не всегда адекватны нормальным физиологическим процессам.
Причина неполного соответствия функций кроется в недоразвитости глиальных клеток, которые, не достигнув зрелости и нормального уровня функционирования, подвергаются апоптозу (регулируемый процесс клеточной гибели). Наиболее ярко подобные явления наблюдаются при рассеянном склерозе. Для человека опасен не сам процесс глиальных трансформаций, сколько его масштабы и незавершенность, связанная с прерыванием нормального развития глиоцитов.
Причины возникновения глиальных разрастаний
Любые патологические процессы с разрушением анатомических структур белого вещества мозга приводят к глиальным разрастаниям. Самые распространенные причины возникновения:
- Инфекционные процессы – туберкулез, цитомегаловирус, хламидиозные васкулиты;
- Аутоиммунные процессы с разрушением оболочек нервных волокон (демиелинизация, рассеянный склероз);
- Воспалительные болезни – энцефалит, менингит;
- Открытые и закрытые черепно-мозговые травмы (ЧМТ);
- Генетические дефекты жирового обмена;
- Гипоксические состояния, церебральная ишемия;
- Недостаток поступления кислорода мозгу при родах;
- Гипертонический криз;
- Последствия инсульта;
- Оперативные вмешательства;
- Дисциркуляторная энцефалопатия;
- Внутричерепная гипертензия;
- Гематома.
Кроме этиологических факторов существуют два провоцирующих механизма глиоза:
- Введение наркотических препаратов – приводит к постепенной атрофии белого вещества. Клинические исследования установили единичные глиальные очаги у пациентов с наркоманией;
- Злоупотребление алкоголем – избыточное поступление метаболитов спирта в головной мозг приводит к гибели нейронов. Умеренное потребление улучшает церебральное кровообращение.
Обнаружение единичных очагов глиоза требует лечения. Восстановить погибшие нейроны невозможно, но с помощью терапии удается исключить прогрессирование заболевания.
Лучшие медикаменты для терапии
Чтобы все описанные выше меры оказались эффективными, нужно поддерживать больной организм специальными препаратами. Врачи высказывают неоднозначные мнения о том, какие лекарства лучше использовать для лечения глиоза головного мозга. Но сходятся они в одном — лечение должно быть медикаментозным, а не народным. В пятерку наиболее популярных назначаемых препаратов входят следующие:
| Название препарата | Действующее вещество | Производитель |
| Кавинтон | Винпоцетин (Vinpocetine) | Венгрия |
| Циннаризин | Циннаризин (Cinnarizinum) | Болгария и Россия |
| Актовегин | Гемодериват крови телят (Deproteinized calf blood haemoderivative) | Австрия |
| Глицесед | Глицин (Glycine) | Украина |
| Винпоцетин | Винпоцетин (Vinpocetine) | Россия, Индия, Беларусь |
К описанным вазоактивным препаратам нужно добавлять антиагреганты для улучшения кровотока, аминокислоты, ноотропы. Хорошую поддержку лечению оказывают витамины группы E или B. Но важнее всего выбрать правильное главное лекарство. Для этого следует ознакомиться с противопоказаниями и побочными эффектами, а также получить консультацию лечащего врача. Как говорилось ранее, его решение должно базироваться только на полных исследованиях головного мозга.
Кавинтон
Кавинтон увеличивает потребление глюкозы и кислорода тканями лобных долей. Именно поэтому он используется при лечении от последствий ишемического инсульта, сосудистой деменции, атеросклероза и прочих заболеваний. Иногда препарат применяется в офтальмологии: им лечат хронические заболевания сосудов глаза и его сетчатки. Лекарство должно использоваться только после согласования с врачом, в ином случае риск побочных эффектов слишком высок. Знайте, что:
- распространяется в форме таблеток или концентратов для приготовления инфузий;
- дозировка определяется строго в индивидуальном порядке;
- лекарство стоит от 228 до 850 российских рублей.
На фоне правильной дозировки препарат редко дает побочные эффекты. Но могут возникать нарушения сна, головокружение, тахикардия, тошнота, изжога. Реже фиксируются повышенное потоотделение, быстро проходящие кожные аллергические реакции и общая слабость. Она, к слову, может быть проявлением основного заболевания.
Лекарство не оказывает негативного влияния на пациентов с болезнями почек или печени.
Кавинтон строго запрещен пациентам с тяжелой формой ишемической болезни сердца, при серьезных аритмиях, острой фазе инсульта. Опасно прописывать его беременным женщинам или кормящим матерям. Но это допустимо, если риск здоровья матери серьезнее, чем вероятные побочные последствия для ребенка. У беременных от приема может проявиться плацентарное кровотечение, возникают риски спонтанного аборта.
Циннаризин
Селективный блокатор медленных кальциевых каналов под названием Циннаризин используется не только при лечении глиоза и его последствий. Он находит применение в терапии постинсультных состояний, черепно-мозговых травм, мигреней, вестибулярных нарушений, кинетозов, энцефалопатии. Лекарство быстро снимает головокружение, шум в ушах, тошноту и рвоту. Циннаризин обладает следующими характеристиками:
- выпускается в форме таблеток по 50 миллиграмм;
- таблетки принимаются внутрь, после еды, точная доза зависит от тяжести состояния пациента;
- точно ответить, сколько стоит Циннаризин, трудно, но обычно его цена колеблется между 37 и 101 рублями.
Циннаризин имеет мало противопоказаний. Его не дают только беременным, кормящим женщинам, аллергикам. С осторожностью нужно применять лекарство, если у человека диагностирована болезнь Паркинсона. Но возможны побочные эффекты. Среди наиболее распространенных — сонливость, отсутствие голода, быстрая утомляемость, диспепсия и сухость во рту. В исключительных случаях фиксируются красный плоский лишай и серьезное увеличение массы тела.
Актовегин
Данное лекарство выписывается при когнитивных нарушениях, к которым относят деменцию и последствия инсультов. Изредка его используют при диабетической полиневропатии или при нарушениях кровообращения. Благодаря активному действующему веществу, лекарство увеличивает темп кровотока в капиллярах. После системного использования он улучшает морфологическое и физиологическое состояние центральной нервной системы. Помните, что:
- выпускается в форме таблеток с перевариваемой оболочкой или растворов для инъекций;
- сначала в организм должно поступать по 10-20 миллилитров Актовегина, а потом — по пять миллилитров в день;
- упаковка препарата обойдется в 568-1928 российских рублей.
Актовегин редко приводит к побочным действиям. Но у особо чувствительных пациентов фиксируются лекарственная лихорадка, симптомы шока, крапивница, внезапное покраснение в районе введения инъекции. Иногда врачи наблюдают миалгию, но точная частота неизвестна. Актовегин запрещен при отеке легких, при декомпенсированной сердечной недостаточности, олигурии, анурии или долговременной задержке жидкости в организме.
Глицесед
Глицесед назначается при нарушениях кровообращения головного мозга, при черепно-мозговых травмах, нейроциркуляторной дистонии. Он помогает в борьбе с психологическими перегрузками, улучшает память, снимает бессонницу и облегчает активную физическую деятельность. В рамках лечения глиоза головного мозга препарат оказывает только вспомогательный эффект. Краткое описание Глицеседа таково:
- реализуется в виде плоских белых или кремовых таблеток;
- как правило, выписывается по одной таблетке трижды в стуки;
- стоимость начинается от 136 рублей, но можно найти более дешевые предложения в интернете.
Лекарство редко оказывает побочные эффекты, особенно если используется при лечении кистозно-глиозных изменений головного мозга. Но возможно проявление аллергических реакций на коже, реже возникает несварение, головная боль, тошнота. В исключительных случаях наблюдаются повышенное раздражение и слабая концентрация внимания. Передозировка либо не фиксировалась, либо не наблюдалась.
Винпоцетин
Согласно инструкции, Винпоцетин выписывается при недостаточном церебральном кровообращении, при поражениях кровеносных сосудов и сетчатки. Иногда им лечат вегетососудистую дистонию на фоне климатического синдрома. Больным глиозом головного мозга Винпоцетин назначается, чтобы улучшить метаболизм в пораженном органе и нормализует кровоток. Важно помнить о следующих характеристиках лекарства:
- препарат выпускается в форме таблеток для перорального приема или раствора для инъекций;
- режим приема индивидуальный, так как дозировка меняется в зависимости от тяжести состояния пациента;
- средняя цена равна 50-164 рублям.
Винпоцетин противопоказан при ишемической болезни сердца, при инсульте или при выраженных признаках аритмии. Опасно давать его при беременности или в период лактации. Даже при соблюдении дозировки и правил приема возможны побочные эффекты. Обычно у взрослых людей наблюдаются бессонница, головокружение, учащение пульса, скачки артериального давления, обильное потоотделение или аллергические реакции.
Признаки скопления нейроглии в мозге
Патологические проявления скопления нейроглии внутри головного мозга только в редких случаях провоцируются серьезными заболеваниями. У пожилых людей очаги глиоза постепенно нарастают, что приводит к прогрессированию неврологических симптомов:
- Нарушение координации движений;
- Ослабление памяти;
- Длительный болевой синдром головы;
- Частая смена артериального давления;
- Мышечные судороги;
- Эпилептические припадки;
- Головокружение.
С помощью МРТ и КТ удается рассчитать количество нейроглиальных разрастаний на единицу объема церебральной ткани. Величина используется для оценки прогрессирования заболевания, оценки эффективности лечения.
Интересный факт
Исследование эпидемиологов доказало влияние нейроглии на процессы старения. Специалисты добавили к морфологическому материалу глии кровь, взятую у пожилого человека. Последствия опыта оказались впечатляющими – нейроглиальные пласты начали активно размножаться, разрушая нейроны. Результаты позволяют предположить механизмы развития старческого слабоумия.
У детей подобный процесс не происходит. Разрастание нейроглии в белом веществе наблюдается только после гибели нейронов. Механизм носит локальный характер. Очаги закрывают образованные дефекты.
Причины глиозных изменений
Наследственная предрасположенность считается одной из главных (25% случаев) причин развития глиоза. Возникновение глиозных изменений связано с такими заболеваниями, затрагивающими ткани головного мозга:
- Рассеянный и туберкулезный склероз.
- Энцефалиты и энцефалопатии разной этиологии.
- Кислородное голодание (гипоксия).
- Эпилептический статус.
- Артериальная гипертензия, протекающая в хронической форме.
- Сахарный диабет и другие нарушения обмена веществ.
- Употребление наркотических средств.
- Нейроинфекции, протекающие в острой и хронической форме.
- Цереброваскулярные патологии.
- Нейродегенеративные процессы.
- Почечная недостаточность, протекающая в хронической форме.
- Факоматозы (наследственные, хронические заболевания, характеризующиеся поражением ЦНС, кожи, органов зрения и других систем организма).
Некоторые врачи проводят аналогию. Если повреждаются кожные покровы человека, на них образуются шрамы. Подобные «рубцы» возникают в нервной ткани после повреждения и частичной гибели нейронов. Процесс не происходит спонтанно, он всегда является следствием первичной патологии. Самая распространенная причина – ухудшение кровотока в кровеносной системе, снабжающей мозг, связанное с повреждением сосудистой стенки, сужением просвета или нарушением нейрогуморальной регуляции.
Глиозные изменения в интракраниальных структурах головы у взрослых обнаруживаются после перенесенных инфарктов мозга, инсультов, после появления очагов внутримозгового кровоизлияния. Подобные трансформации нервной ткани выявляются после нейрохирургического вмешательства и отравления вредными веществами (угарный газ, соли тяжелых металлов, наркотические вещества). Глиозные очаги образуются вокруг опухолевых новообразований.
Симптомы очагового глиоза белого вещества
Клиническая симптоматика определяется размерами, локализацией, прогрессированием нейроглиальных скоплений:
- Сильные головные боли – диффузный вид;
- Нестабильность артериального давления, частые гипертонические кризы;
- Шаткая походка, нарушение координации;
- Снижение мнестических функций;
- Ухудшение памяти.
Терапевтические методики оказываются неэффективными при наличии диффузных перивентрикулярных очагов. Крупные скопления у ребенка прослеживаются редко, поэтому симптомы не возникают.
Чем опасен глиоз – прогноз жизни и здоровью
Прогноз жизни зависит от основной причины возникновения заболевания. Клинические симптомы определяются выраженностью повреждения белого вещества. Затрагивание функциональных центров дыхания, кровообращения может привести к летальному исходу. Опасны энцефалиты и менингиты, которые нередко приводят к неблагоприятному прогнозу, летальному исходу.
Незначительная симптоматика, благоприятный исход при глиозе в лобных долях мозга. Субкортикальные виды представляют опасность при диффузном распространении.
Профилактика
Так как к поражению нейронов в основном приводят болезни сосудов, то профилактические мероприятия направлены на исключение возможности их развития. Специалисты рекомендуют:
- Укреплять нервную систему, закаляться, заниматься спортом. Не обязательно ходить в спортзал и изнурять себя двухчасовыми тренировками. Достаточно регулярно выполнять гимнастические упражнения, поддерживающие организм в тонусе.
- Избегать переутомления, стрессов и недосыпания.
- Наладить режим труда и отдыха. Продолжительность сна должна быть не меньше 8 часов в сутки.
- Категорически отказаться от пагубных привычек.
- Беременным регулярно посещать врача и проводить назначенную им диагностику.
- Стараться питаться правильно: не увлекаться фаст-фудом, копчеными колбасами, маринадами, жареными и жирными блюдами. Обогатить рацион фруктами, злаками, кисломолочными продуктами, овощами, зеленью. Диетологи рекомендуют употреблять пищу в вареном, тушеном, запеченном виде. Питание должно быть дробным (по 5-6 маленьких порций в день).
Можно обратить внимание на различные народные средства, отвары, настои, улучшающие кровообращение и нормализующие работу мозговых клеток. Пить лекарства необходимо курсами один-два раза в год в качестве профилактической терапии. Между курсами необходимо делать двухнедельный перерыв. Отлично себя зарекомендовали препараты Гинкго Билоба. Но применять их нужно после консультации с врачом, чтобы избежать обострения хронических заболеваний.
Глиоз, признаки и лечение которого связывают с основной болезнью, вызвавшей его, является серьезной проблемой. Поэтому начинать с ним бороться нужно как можно раньше, не дожидаясь его явного проявления. Именно профилактические меры способны приостановить рост очагов, сохранить здоровыми клетки мозга и предотвратить раннее старение организма.
Диагностика глиоза головного мозга
В большинстве случаев заболевание верифицируется случайно при сканировании головного мозга МРТ или КТ. Опасности формы не представляют. Повторное обследование через несколько месяцев проводится с целью изучения старых глиальных участков. Отсутствие увеличения размеров указывает на благоприятный прогноз.
МР и КТ-ангиография с контрастным веществом помогает выявить сосудистый генез нозологии. Определяет или исключает изменение церебральной активности электроэнцефалография (ЭЭГ). Процедура назначается при появлении эпилептических приступов, мышечных судорогах.
Практика показывает преимущественную трансформацию нейроглии при старении в лобных долях.
Типы
Распространение глиозных клеток происходит по-разному. В зависимости от расположения в организме их очаги разделяются на:
- анизоморфные – ненормированный порядок распространения глии;
- изоморфный – правильное построение клеток глии;
- маргинальный – рост глиальных клеток в подоболочечных пространствах головного мозга;
- диффузный – ускоренное распространение глиоза как по головному, так и по спинному мозгу;
- периваскулярный или сосудистый – глиоз, располагающийся вдоль сосудов. Чаще всего он проявляется после атеросклероза.
- волокнистые – отростки глиозных клеток превышают размеры их тел;
- краевые – глиозные элементы находятся на поверхности мозга;
Осложнения и последствия
Наличие обширных областей замещения нейронов глиоцитами грозят опасными последствиями:
- постоянные, не купируемые лекарственными препаратами головные боли;
- расстройства умственной деятельности;
- необратимая потеря речи, зрения или слуха;
- судороги и эпилептические приступы;
- паралич (частичный или полный);
- психические расстройства;
- нарушение координации движений;
В крайне редких случаях глиоз не генетического генеза становится причиной летального исхода.
К какому врачу обратиться
При подозрении на наличие глиоза необходимо обратиться к неврологу. После проведенных исследований для подтверждения диагноза и определения тактики лечения могут потребоваться консультации у специалистов:
- кардиолога – при подозрении на глиоз сосудистого генеза;
- терапевта или семейного врача – для определения хронических болезней;
- эндокринолога – при сахарном диабете;
- нейрохирурга – при необходимости оперативного лечения.
У детей заподозрить развитие глиальных изменений на протяжении первого месяца после рождения может неонатолог. Позже изменения в развитии выявляет педиатр, который направит ребенка на консультацию детского невролога.
Поражение сосудов и разрастание нейроглии
Многочисленные образования нередко появляются вследствие нарушения мозгового кровообращения: острого (инсульт ишемический и геморрагический) либо хронического (передавливание сосудов, атеросклероз, атрофические изменения в нервной ткани). Здесь можно говорить, что формируется глиоз сосудистого генеза, который добавляет выраженность и окраску уже имеющейся клинической картине (нарушение внимания, головокружение, головная боль, перепады артериального давления и пр.). То есть, понятие «глиоз сосудистого генеза» подразумевает конкретного виновника патологических разрастаний – ОНМК (инсульты) или ХНМК, у которых, впрочем, тоже есть свои причины развития.
К глиозу сосудистого генеза относят особую форму периваскулярного разрастания нейроглии вокруг кровеносных сосудов, пораженных атеросклерозом – супратенториальный глиоз. Для этой формы характерно расположение участков поражения под палаткой мозжечка – отростком твердой мозговой оболочки, проходящей между затылочной долей и самим мозжечком. Подобная локализация и окружение (несжимаемые пространства, заполненные цереброспинальной жидкостью) делает затылочную долю уязвимой не только при ЧМТ и родовых травмах, но и в отношении формирования сосудистого глиоза.
