Дистопия уретры у женщин — это патология, связанная с неправильным расположением уретры, которая может вызывать значительные дискомфорты и осложнения в здоровье. В данной статье мы рассмотрим основные причины возникновения этой аномалии, характерные симптомы, а также необходимые диагностические исследования для ее выявления. Кроме того, мы обсудим современные методы лечения, включая хирургическое вмешательство, и возможные противопоказания к ним. Понимание этой проблемы и доступ к актуальной информации помогут женщинам своевременно обратиться за медицинской помощью и предотвратить развитие серьезных осложнений.
Причины патологии
Эта проблема относится к врожденным аномалиям и формируется в утробе матери. На данный момент причины, способствующие развитию этого недуга, остаются неизвестными. Во многих случаях дистопия наружного отверстия уретры не диагностируется до достижения зрелого возраста или начала активной половой жизни, так как именно интимные отношения чаще всего становятся триггером для появления клинических симптомов. Существует мнение о возможной генетической предрасположенности к этому заболеванию, однако убедительных доказательств этой гипотезы пока не представлено.
Врачи отмечают, что дистопия уретры у женщин представляет собой серьезную проблему, требующую внимательного подхода к диагностике и лечению. Это состояние может вызывать дискомфорт, частые инфекции мочевыводящих путей и даже проблемы с мочеиспусканием. Специалисты подчеркивают важность комплексного обследования, которое включает в себя ультразвуковое исследование и уродинамические тесты. Лечение дистопии может варьироваться от консервативных методов, таких как физическая терапия и медикаментозная поддержка, до хирургического вмешательства в более сложных случаях. Врачи рекомендуют индивидуальный подход к каждому пациенту, учитывая степень выраженности симптомов и общее состояние здоровья. Своевременное обращение к специалисту и правильное лечение могут значительно улучшить качество жизни женщин, страдающих от этого заболевания.

Основные признаки
В большинстве случаев единственным признаком неправильного положения уретры оказывается цистит. Воспаление слизистой оболочки мочевого пузыря часто возникает после полового акта. Неправильно расположенный конец уретры подвергается механическому воздействию, что может привести к развитию восходящей инфекции. Основные клинические проявления этого состояния включают:
- Учащенное мочеиспускание, которое вызывает значительные неудобства у женщин. При этом мочевой пузырь не успевает заполниться, и позыв к мочеиспусканию возникает из-за раздражения слизистой.
- Болезненные ощущения при мочеиспускании – это основной симптом, с которым женщины обращаются к врачу.
- В некоторых случаях наблюдаются общая слабость и повышение температуры тела.
Помимо цистита, часто также развивается уретрит, а также воспалительные процессы в области вульвы и влагалища. Моча является отличной средой для размножения бактерий, которые обычно обитают в женских половых органах. В совокупности эти симптомы значительно ухудшают качество жизни пациенток.
| Аспект | Описание | Варианты лечения |
|---|---|---|
| Определение | Аномальное расположение наружного отверстия уретры (меатуса) у женщин, чаще всего смещение кпереди (в сторону клитора) или кзади (в сторону влагалища). | Зависит от степени дистопии и симптомов. |
| Причины | Врожденные аномалии развития, травмы промежности (например, при родах), хирургические вмешательства в области уретры или влагалища, возрастные изменения тканей. | Устранение основной причины (если возможно). |
| Симптомы | Частые инфекции мочевыводящих путей, диспареуния (болезненный половой акт), недержание мочи (стрессовое или ургентное), затрудненное мочеиспускание, дискомфорт в области уретры. | Консервативное и хирургическое лечение. |
| Диагностика | Физикальный осмотр, уретроскопия, цистоскопия, уродинамические исследования, УЗИ органов малого таза. | Точная диагностика для выбора оптимального метода лечения. |
| Консервативное лечение | Антибактериальная терапия при инфекциях, физиотерапия (упражнения для мышц тазового дна), местное применение эстрогенов (при атрофических изменениях). | Симптоматическое облегчение, подготовка к операции. |
| Хирургическое лечение | Уретропластика: перемещение уретры в анатомически правильное положение. Уретропексия: фиксация уретры. Коррекция пролапса тазовых органов: если дистопия связана с опущением. | Хирургическое вмешательство является основным методом коррекции дистопии. |
| Прогноз | Благоприятный при своевременной и адекватной коррекции. Возможно рецидивирование симптомов при неполной коррекции или прогрессировании основной причины. | Регулярное наблюдение после лечения. |
Диагностика
Определение дистопии уретры с использованием современных методов визуализации не вызывает затруднений. Процесс диагностики начинается с тщательного сбора анамнеза, в котором фиксируются типичные для данного заболевания жалобы. Для уточнения диагноза применяется специальная техника пальпации О’Доннела-Хиршхорна, которая помогает установить точное местоположение наружного отверстия уретры.
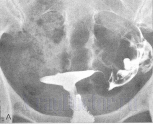
Чтобы исключить наличие других сопутствующих заболеваний, проводятся анализы крови и бактериологические исследования. Также информативным является рентгенологическое исследование с контрастом, которое выполняется с использованием специальных веществ, вводимых в мочевой пузырь через уретру. Этот метод позволяет получить уникальные изображения, способствующие определению локализации. В некоторых случаях может потребоваться эндоскопическое исследование влагалища, а также компьютерная томография.
Дистопия уретры у женщин — это состояние, которое вызывает множество обсуждений и переживаний. Женщины, столкнувшиеся с этой проблемой, часто делятся своими ощущениями и опытом. Многие отмечают, что симптомы, такие как дискомфорт и частые инфекции, значительно ухудшают качество жизни. Важно, что открытое обсуждение этой темы помогает снять стигму и страхи, связанные с диагнозом.
Лечение дистопии уретры может варьироваться от консервативных методов, таких как физиотерапия и медикаменты, до хирургических вмешательств. Женщины, прошедшие через лечение, часто подчеркивают важность индивидуального подхода и консультаций с опытными специалистами. Они рекомендуют не стесняться обращаться за помощью и искать второе мнение, если первое не дало желаемых результатов. Поддержка со стороны близких и сообществ также играет ключевую роль в процессе восстановления и адаптации к новым условиям жизни.

Лечение
Консервативные подходы к лечению дистопии уретры у женщин не обеспечивают долговременного эффекта. Даже при использовании противовоспалительных и антибактериальных препаратов цистит и вульвовагинит могут повторяться, особенно если женщина ведет активную половую жизнь. Наиболее эффективным методом лечения является хирургическое вмешательство. Оно позволяет полностью устранить проблему и предотвратить частые случаи посткоитального воспаления слизистой оболочки мочевого пузыря. Существуют определенные противопоказания для проведения данной процедуры, однако она активно используется в борьбе с дистопией.
Подготовка и проведение операции
Перед проведением хирургического вмешательства необходимо пройти курс предварительной антибактериальной терапии. Это поможет снизить риск возникновения осложнений, связанных с инфекциями в урогенитальной области. Также важным аспектом успешного проведения операции является использование противовоспалительных препаратов. Они способствуют уменьшению отечности в области наружного отверстия мочеиспускательного канала и влагалища, что значительно упрощает работу хирурга.
Подготовка к операции также зависит от наличия у пациентки сопутствующих заболеваний. Поскольку для манипуляции могут использоваться различные анестезирующие протоколы — от местной до общей анестезии — потребуется пройти ряд обследований и скорректировать выявленные в процессе диагностики нарушения.
Хирургическое лечение дистопии заключается в подъеме наружного отверстия уретры. Пациентка укладывается на спину, и перед началом операции производится катетеризация мочевого пузыря, что облегчает работу хирурга. Операция называется транспозицией дистального отдела уретры. Для ее выполнения делается небольшой разрез на 1 см выше существующего мочеиспускательного канала, после чего уретра перемещается в физиологическое положение. На оставшуюся рану накладываются швы. Если во время операции обнаруживаются уретро-геминальные спайки, они рассекаются, так как могут вызывать значительный дискомфорт у женщины во время интимной близости и способствовать развитию вагинита.
Показания и противопоказания к хирургическому вмешательству
Операция осуществляется в случаях дистопии, которая сопровождается повторяющимся посткоитальным воспалением слизистой оболочки мочевого пузыря. Данный метод лечения считается наиболее эффективным.
Как и любое другое хирургическое вмешательство, данная процедура имеет свои противопоказания. Они могут быть связаны с обострением хронических заболеваний или наличием серьезного инфицирования мочеполового тракта. В таких ситуациях необходимо провести предоперационное обследование, а также назначить антибактериальную и противовоспалительную терапию. Не рекомендуется выполнять транспозицию дистального отдела уретры у женщин, не рожавших. Это обусловлено особенностями репродуктивной системы и ее близостью к мочеиспускательному каналу. В результате хирургического вмешательства может снизиться эластичность окружающих тканей, что увеличивает риск возникновения осложнений во время родов, так как подвижность уретры уменьшается, а вероятность травмирования возрастает.
Существуют и более современные методы лечения дистопии наружного отверстия мочеиспускательного канала. Они не только помогают вернуть структуре физиологическое положение, но и устраняют сопутствующие дефекты. Например, при гипермобильности уретры, которая может вызывать травмы и даже частичную непроходимость, применяется подшивание структуры к лобковой кости с использованием специальной техники наложения лигатуры. Хотя эта процедура не так часто используется, она обладает очевидными преимуществами.
Если имеются серьезные противопоказания для полноценного хирургического вмешательства, могут применяться инъекции биоразлагаемого геля. Наиболее распространены препараты на основе гиалуроновой кислоты, которые активно используются в косметологии и малоинвазивной хирургии благодаря хорошей переносимости пациентами. Введение геля в определенные точки позволяет провести своего рода пластику выходного отверстия уретры, что способствует его приподниманию. Эта манипуляция выполняется под местной анестезией, и в состав используемых препаратов также включен обезболивающий компонент. Однако стоит отметить, что у данной техники есть недостаток — временный эффект, продолжительность которого может варьироваться в зависимости от индивидуальных особенностей организма пациента. В некоторых случаях инъекции гиалуроновой кислоты применяются как «пробное» лечение.

Отзывы
Маргарита, 26 лет, г. Астрахань
Я долго страдала от хронического цистита, который обострялся после каждого полового акта, что значительно усложняло мою интимную жизнь. Обратилась к специалисту, который диагностировал дистопию уретры. Мы приняли решение о необходимости хирургического вмешательства. После полного обследования была проведена операция, и все неприятные симптомы исчезли.
Анастасия, 22 года, г. Санкт-Петербург
С момента начала половой жизни у меня стали часто возникать симптомы цистита. Мне было очень больно ходить в туалет, а о близости и говорить не приходилось. Я решила обратиться к врачу, и у меня обнаружили дистопию уретры. Доктор прописал антибиотики, противовоспалительные препараты и уколы с гиалуроновой кислотой. Операцию по транспозиции рекомендовали провести после рождения ребенка.
Профилактика дистопии уретры
Профилактика дистопии уретры у женщин является важным аспектом, который может значительно снизить риск развития этого состояния. Дистопия уретры, характеризующаяся неправильным положением уретры, может вызывать различные проблемы, включая недержание мочи, инфекции мочевых путей и дискомфорт. Поэтому профилактические меры имеют решающее значение для поддержания здоровья мочеполовой системы.
Одним из ключевых факторов профилактики является поддержание нормального веса. Избыточная масса тела может увеличивать давление на органы малого таза, что, в свою очередь, может способствовать смещению уретры. Регулярные физические упражнения, направленные на укрепление мышц тазового дна, также могут помочь предотвратить дистопию. Упражнения Кегеля, например, направлены на укрепление этих мышц и могут быть полезны для женщин всех возрастов.
Правильное питание также играет важную роль в профилактике дистопии уретры. Употребление достаточного количества клетчатки помогает предотвратить запоры, которые могут создавать дополнительное давление на органы малого таза. Важно также избегать избыточного потребления кофеина и алкоголя, так как они могут раздражать мочевой пузырь и увеличивать риск инфекций.
Регулярные медицинские осмотры и консультации с врачом также являются важной частью профилактики. Женщинам рекомендуется проходить гинекологические осмотры, которые могут помочь выявить потенциальные проблемы на ранних стадиях. Врач может дать рекомендации по укреплению мышц тазового дна и предложить индивидуальные методы профилактики в зависимости от состояния здоровья пациентки.
Кроме того, важно обращать внимание на симптомы, которые могут указывать на развитие дистопии уретры, такие как частые позывы к мочеиспусканию, недержание мочи или дискомфорт в области таза. Раннее обращение за медицинской помощью может предотвратить ухудшение состояния и снизить риск осложнений.
Наконец, следует учитывать влияние генетических факторов и наследственности. Женщины, у которых в семье были случаи дистопии или других заболеваний мочеполовой системы, должны быть особенно внимательны к своему здоровью и следовать рекомендациям по профилактике.
Вопрос-ответ
Что такое дистопия уретры у женщин?
Дистопия уретры у женщин — это аномальное положение уретры, которое может привести к различным проблемам, таким как недержание мочи, инфекции мочевыводящих путей и дискомфорт. Это состояние может возникать в результате врожденных аномалий или изменений, связанных с возрастом или травмами.
Какие симптомы могут указывать на дистопию уретры?
Симптомы дистопии уретры могут включать частые позывы к мочеиспусканию, недержание мочи, боль или дискомфорт в области таза, а также повторяющиеся инфекции мочевыводящих путей. Важно обратиться к врачу при появлении этих симптомов для диагностики и лечения.
Как проводится лечение дистопии уретры у женщин?
Лечение дистопии уретры может варьироваться в зависимости от степени тяжести состояния. Оно может включать консервативные методы, такие как физиотерапия и упражнения для укрепления мышц тазового дна, а также хирургическое вмешательство в более серьезных случаях для коррекции положения уретры.
Советы
СОВЕТ №1
Обратитесь к специалисту при первых симптомах дистопии уретры, таких как дискомфорт или затрудненное мочеиспускание. Раннее обращение к врачу поможет избежать осложнений и выбрать наиболее подходящее лечение.
СОВЕТ №2
Изучите различные методы лечения, включая консервативные и хирургические подходы. Консультация с урологом или гинекологом поможет вам понять, какой метод будет наиболее эффективным в вашем случае.
СОВЕТ №3
Обратите внимание на изменения в образе жизни, такие как регулярные физические упражнения и поддержание здорового веса. Это может помочь уменьшить симптомы и улучшить общее состояние здоровья.
СОВЕТ №4
Не забывайте о важности психоэмоционального состояния. Поддержка близких и участие в группах поддержки могут помочь справиться с эмоциональными аспектами заболевания и улучшить качество жизни.


