Что такое ортодонтическая пластинка? Основное назначение
Ортодонтическая пластинка – это специальная выравнивающая конструкция, которая крепится на внешнюю поверхность зубов, их внутреннюю часть, а также может частично захватывать небо.
В зависимости от вида стоматологического дефекта ребёнку могут устанавливаться пластинки, выполненные из металла или пластмассы. Для детей различных возрастных групп подбор изделий осуществляет врач стоматолог-ортодонт.
Основное назначение ортодонтической пластинки заключается в выравнивании одного или сразу нескольких кривых зубов, неправильного прикуса, либо же коррекция развития костей верхней и нижней челюсти. Например, если необходимо стимулировать или замедлить физиологическое развитие челюстного аппарата.
Стоматологические конструкции данного типа периодически регулируются, создавая компрессионное сдавливание зубного ряда. График посещения детского врача-ортодонта составляется индивидуально в зависимости от кривизны резцов и прикуса.
Классификация и виды изделий для детей
Классификация ортодонтических пластин для детей осуществляется по их целевому предназначению, сложности конструкции и материалу изготовления. В таблице ниже изложена подробная информация о типах стоматологических конструкций.
| Классификационный тип | Характеристики пластинки |
| Съёмная | Это наиболее простая стоматологическая конструкция для выравнивания зубов. Устанавливается детям средней и старшей возрастной группы, которые нуждаются в краткосрочной коррекции зубного ряда или неправильно формирующегося прикуса. Съёмная пластина носится ежедневно, но определённое количество времени, которое указывается лечащим врачом-ортодонтом. Фиксация стоматологической конструкции осуществляется с помощью специальных крючков. |
| Стационарная | Данный тип ортодонтических пластин устанавливается на зубной ряд верхней или нижней челюсти на более продолжительный период времени. В среднем это от 1 до 6 мес. Стоматологическая конструкция не предусматривает периодическое снятие. Крепится она с помощью специальных фиксационных скоб, исключающих её смещение во время принятия пищи. Показана она к использованию в лечении детей младшей возрастной группы и пациентов с серьёзными дефектами развития зубов и прикуса. |
| Металлическая | Ортодонтическая пластина данного типа изготавливается из специального металлического сплава, который не окисляется в агрессивных условиях ротовой полости. Внешне напоминает сложную конструкцию из сплетения множества тонких проволок и крючков. Может быть съёмной или стационарной. В большинстве случаев применяется только для выравнивания кривых зубов и формирования правильного прикуса. Она может быть использована для лечения детей всех возрастных групп. Врач-ортодонт осуществляет периодическую регулировку устройства, чтобы обеспечивалось мягкое сдавливание зубного ряда, а также достигался необходимый терапевтический эффект. |
| Пластмассовая | Ортодонтические пластины, изготовленные из пластмассы, предназначены для выравнивания кривых зубов, неправильного прикуса, а также коррекции процесса развития неба. Стоматологическая конструкция охватывает часть неба, стимулируя его к дальнейшему расширению или же способствует более медленному развитию. Большинство пластмассовых пластин являются съёмными, а также используются для лечения детей средней и старшей возрастных групп. |
Ортодонтическая пластинка для детей устанавливается на поверхность внешней и внутренней стороны зубного ряда, а носится до тех пор, пока не будет достигнут положительный терапевтический эффект. В таблице ниже перечислены следующие виды стоматологических конструкций для выравнивания зубов, коррекции прикуса и ширины неба.
| Виды пластин | Предназначение стоматологической конструкции |
| Одночелюстная | Данный вид пластин предназначен для установки только на верхнюю или нижнюю челюсть. Используется с целью коррекции 1-2 кривых зубов. Стоматологическая конструкция оборудована специальными винтами, которые регулируют степень сдавливания зубного ряда. Регулировка устройства проводится по мере выравнивания зубов. |
| С толкателем | Этот вид ортодонтических пластинок не имеет жёсткого крепления. Конструкция устанавливается исключительно на верхнюю челюсть, чтобы обеспечить правильное формирование зубов и развитие костной ткани. Одним из элементов пластины является пружинящая проволока, которая прижимает конструкцию к зубному ряду в момент смыкания челюстей. |
| С ретракционной дугой | Данный вид ортодонтической пластины предназначен для устранения протрузии передних зубов. Устанавливается на верхнюю или нижнюю челюсть. Используется для лечения детей всех возрастных групп. |
| С рукообразным отростком | Это сложная стоматологическая конструкция, которая предназначена для устранения аномалий развития отдельных зубов. Положительный терапевтический эффект достигается путём постоянного давления на поверхность искривлённого зуба, которое осуществляется рукообразным отростком пластины. Данный тип конструкции требует длительного и постоянного ношения до полного исчезновения дефекта. Он может быть установлен на верхнюю и нижнюю челюсть. |
| Ортогнатический аппарат Брюкля | Пластина данного типа предназначена для исправления прикуса зубов нижней челюсти, а также устранения других аномалий её развития. Может быть изготовлена она из металлической проволоки или медицинского пластика. Крепление аппарата осуществляется с помощью специальных крючков. |
Подбор ортодонтической пластинки осуществляется только по результатам предварительного обследования у детского ортодонта. Вид конструкции, её форма и продолжительность ношения определяются индивидуально в зависимости от стоматологических дефектов развития зубного ряда верхней и нижней челюсти.
Что такое пластины?
Пластинки на зубы обычно бывают съемные. Они состоят из 3-х базовых элементов:
- Дуги из сплавов металла. Основная составляющая системы. Она надевается на переднюю часть коронок, давит на них и смещает в нужном направлении. Благодаря «памяти формы» проволока не искривляется.
- Небная пластина. Она помогает удержать конструкцию во рту. Элемент полностью повторяет форму неба пациента, состоит из мягкого или среднежесткого пластика и может окрашиваться в любой цвет на вкус ребенка.
- Крепление. Специальный механизм, расположенный в середине пластинки. Он предназначен для расширения или сужения системы и активируется с помощью специального ключа. Обычно рекомендуют подкручивать крепление каждые 4 дня так, чтобы аппарат становился шире на 0,25 мм. Это необходимо, чтобы дуга продолжала равномерно воздействовать на зубы, которые уже начали выравниваться.
Приспособление состоит из дуги, небной пластины и креплений.
Дополнительная информация! Некоторые модели могут дополнительно включать замки, крючки и другие элементы. Сложность конструкции напрямую зависит от степени искривления прикуса.
https://youtube.com/watch?v=n3TSULeyIHQ
https://youtube.com/watch?v=kL5awKUmP3Q
https://youtube.com/watch?v=_y60KDkCpi0
Преимущества ортодонтических пластинок в сравнении с брекетами, каппами
https://youtube.com/watch?v=0I7JudK41ns
Ортодонтическая пластинка для детей имеет преимущества над брекетами и стоматологическими каппами:
- позволяет быстро устранить ортодонтические дефекты на ранних этапах развития зубного ряда, формирования прикуса и ширины неба;
- выравнивание зубов и коррекция процесса развития челюсти осуществляется естественным и безболезненным способом, а полученный результат сохраняется на всю оставшуюся жизнь;
- большинство ортодонтических конструкций являются съёмными, что делает их удобными и практичными в ежедневном использовании;
- дети средней и старшей возрастной группы могут самостоятельно извлечь съёмную конструкцию, провести гигиену ротовой полости, а затем установить её обратно на поверхности зубного ряда;
- средняя продолжительность изготовления ортодонтической пластинки составляет от 1 до 2 недель, а брекеты не менее 1 мес.;
- стоматологические конструкции данного типа являются бюджетным вариантом, а их средняя стоимость в 2-3 раза ниже, чем у брекет-систем и капп;
- материалы, из которых изготавливаются пластины, не содержат вредных химических веществ, не вызывают приступы аллергической реакции и отравления организма ребёнка;
- для ухода за конструкцией достаточно наличие горячей воды.
Для полноценной реализации всех вышеперечисленных преимуществ ребёнок должен регулярно носить ортодонтические пластины, назначенные доктором. Со стороны родителей требуется тщательный контроль за тем, чтобы дети проводили качественную гигиену ротовой полости и осуществляли уход за стоматологической конструкцией.
https://youtube.com/watch?v=G1rcNLKxtTc
https://youtube.com/watch?v=X_IWm9Qf4KU
Пластинка для зубов детям: пластины для зубов, как подкручивать?
Методов лечения таких дефектов существует большое количество. Одним из самых простых и недорогих являются пластинки на зубы. Зачастую их используют для выравнивания зубного ряда у детей, однако и взрослым их также могут назначить.
Что такое пластины?
Стандартной пластинкой на зубы является простая конструкция, которая состоит из пластиковой основы и нескольких металлических крючков, с помощью которых она крепится к зубам. Кроме того, в каждой пластине есть специальная фиксирующая дуга, которая своим давлением влияет на расположение зубного ряда.
Внутри таких пластинок находится винт. Он скрепляет две половины искусственного неба, оставляя промежуток между ними. На протяжении всего периода ношения этот винт время от времени подкручивается или затягивается. Таким образом удается корректировать расположение фиксирующей дуги и, тем самым, выравнивать нужный участок зубного ряда или отдельный зуб.
При каких проблемах помогают пластины?
Пластинки являются самым простым ортодонтическим инструментом. Соответственно применяют их для решения незначительных дефектов прикуса или расположения зубов в зубном ряде.
Стандартным случаем, когда пациенту назначают ношение такого приспособления, является неправильное размещение резцов.
При этом конструкцию изготавливают таким образом, чтобы основное давление приходилось именно на нужный зуб.
Еще одним дефектом, который является предпосылкой для использования такого метода, выступает аномальное расширение или сужение челюсти. При этом у пациента может наблюдаться появление щели между зубами. В данном случае конструкция настраивается так, чтобы давить на всю плоскость зубного ряда.
Также пластинку на зубы назначают и в других случаях, когда у ребенка или взрослого были замечены небольшие искривления отдельного зуба или зубного ряда.
Когда нужно поставить пластинку на зубы?
Зачастую пластинки для зубов назначают детям. Их зубы более податливы, а значит и исправление дефектов проходит легче. Если у ребенка были замечены те или иные нарушения расположения зубного ряда, установить пластину рекомендуется в самое ближайшее время.
Не стоит спешить только в том случае, когда детская челюсть еще не полностью сформирована, то есть не все зубы полностью выросли. В таком случае пластина может нанести больше вреда, чем пользы, и негативно повлиять на расположение еще не сформированного зуба.
Несмотря на то, что эффект от методики больше в детском возрасте, назначить их ношение могут и взрослым. Чаще всего это происходит в тех случаях, когда искривления имеют сугубо эстетический характер и являются незначительными.
Обычно такой метод применяется для исправления небольших дефектов прикуса у взрослых. Если нарушения имеют более серьезный характер, пластинкой вряд ли можно будет их решить.
В таких случаях лучше отдать предпочтение брекет-системам или другим современным методикам.
Преимущества и недостатки
Главным преимуществом пластинки является ее небольшая цена. Позволить себе использование такого метода может каждый желающий, обратившись в любую ближайшую стоматологическую клинику.
Данная конструкция изготавливается из бюджетных материалов, за счет чего ее цена всегда остается разумной. Кроме того, сама процедура по установке не требует много времени и усилий.
Это позволяет значительно сэкономить и на ней.
Большим плюсом является и то, что пластина не имеет никакого негативного влияния на эмаль зуба. Материалы, которые используются для ее изготовления не вступают в реакцию с поверхностью зуба, а значит оставляют ее полностью здоровой.
Кроме того, сам процесс чистки с пластинкой позволяет полностью обработать щеткой всю поверхность зуба, чего нельзя сделать в случае использования брекетов.
Таким образом, после окончания периода лечения дополнительной чистки или отбеливания зубов не требуется.
Что касается недостатков, то в данном случае можно выделить такие:
- Пластина не способна решить значительных дефектов зубного ряда. Ее применяют только для коррекции небольших искривлений.
- Ношение пластинки на ранних этапах может причинить дискомфорт для пациента из-за ее больших размеров. Однако со временем человек привыкает и перестает замечать конструкцию во рту.
- В первые дни использования пластинок могут наблюдаться незначительные дефекты речи, которые со временем полностью проходят.
Зачастую после нескольких недель ношения конструкции пациент полностью к ней привыкает, и она не приносит ему никакого дискомфорта. Кроме того, он всегда может обратиться к специалисту для устранения тех или иных изъянов конструкции, чтобы сделать ее максимально удобной для использования.
Виды пластин для зубов
Пластины на зубы делятся на два основных вида:
Отличия заключаются в специфике ношения пластинок. Съемные конструкции можно снимать в любое удобное время, когда пациенту это необходимо. Например, для более комфортного пережевывания твердой пищи или самостоятельного затягивания регулирующего винта.
Однако стоматологи не рекомендуют делать это слишком часто, так как эффект от такого лечения может оказаться минимальным. Особенно важно оставлять пластину для зубов во рту на время сна.
В целом период ношения конструкции должен составлять не менее 22-23 часов в сутки.
Что касается постоянных, то они устанавливаются и снимаются исключительно специалистом. Такие устройства используются при более серьезных дефектах зубов. Также их часто назначают детям младшего возраста, которые могут не послушаться рекомендаций врача и самостоятельно снимать пластину на длительное время, например, в школу.
Изготовление и установка
Каждая из пластинок изготавливается исключительно по индивидуальному заказу, исходя из специфики строения зубного ряда каждого конкретного пациента.
Для этого специалист делает слепок, который и станет основой для изготовления конструкции.
Предварительно пациенту может быть назначен рентген зубного ряда, который позволит выявить какие-либо скрытые повреждения, которые также могли повлиять на общее состояние челюсти.
Когда слепок готов, необходимо немного времени для того, чтобы сделать предварительный макет. Далее пациенту назначается прием для его примерки. Если конструкция подходит и человек чувствует себя комфортно с ней, для него изготавливают уже настоящую пластину.
Конструкция надевается на зубной ряд непосредственно на приеме у врача, чтобы специалист смог установить оптимальный уровень давления с помощью винта. Далее посещать врача нужно не реже одного раза в месяц для коррекции давления на зубной ряд.
Эффективность пластин
Важно понимать, что эффективность такого устройства, как пластина на зубы, зависит от многих факторов. Первый – это степень поражения зубного ряда.
Чем меньшим является искривлением, тем больше шансов в итоге получить качественный результат от такого лечения. Второй – это возраст, в котором конструкция была установлена.
Начинать использование пластинки для выравнивания зубов следует как можно раньше.
Кроме того, конечный эффект зависит и от того, насколько правильно пациент пользовался устройством – часто ли снимал его, как чистил и подкручивал винт. В каждом конкретном случае очень важно грамотно следовать рекомендациям лечащего врача, ведь только тогда результат окажется действительно положительным.
Сколько носить пластины?
Период ношения пластин различается в каждом конкретном случае. Зачастую он составляет около одного-двух лет. Однако бывают случаи, когда этого времени недостаточно для устранения дефекта. В таком случае пациенту продлевают срок лечения, либо же назначают какие-либо другие методики.
Уход за пластинами
Пластины для выравнивания зубов, в отличие от брекет-систем, не требуют специального ухода. Для них не нужно покупать никаких особенных инструментов. Достаточно во время чистки снимать такую конструкцию и также ее чистить отдельно. Для этого можно использовать обычную зубную щетку и пасту. Важно делать это бережно, чтобы не повредить детали и не изменить натяжение винта.
Если же пациент носит постоянную конструкцию, то ее также следует чистить во время проведения гигиены полости рта. Также можно дополнительно использовать ополаскиватель, чтобы избавиться от бактерий в промежутках между пластиной и зубами.
Чтобы продлить срок службы конструкции не рекомендуется есть слишком твердую пищу, например, орехи, не вынув предварительно конструкцию изо рта. Также лучше не пить очень горячие напитки или есть сладости с красителями. В этом случае на пластинке для зубов могут появиться пятна.
Как подкрутить винт в конструкции?
Подкручивать винт самостоятельно не рекомендуется. Пациент может не рассчитать нужного давления и сделать натяжение дуги слишком сильным. Таким образом можно значительно повысить дискомфорт при ношении. Либо же можно сделать натяжение недостаточным, от чего ухудшится общий эффект использования конструкции.
Использование данного метода в любом возрасте должно проходить исключительно под присмотром врача, а любые вмешательства можно проводить только после его разрешения.
Источник: //iorthocenter.ru/blog/plastinka-dlya-zubov/
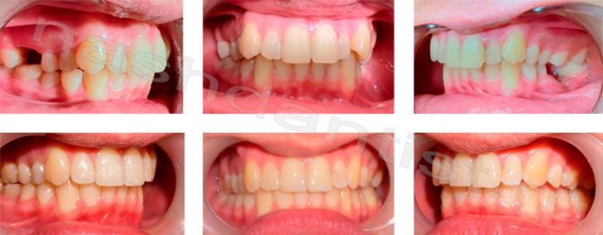
Показания к установке
Ортодонтическая пластинка для детей показана к установке при наличии стоматологических дефектов, аномалий развития зубов и формы прикуса:
- выраженная кривизна передних зубов верхней или нижней челюсти, неправильное расположение которых в дальнейшем приведёт к патологическим изменениям формы прикуса;
Ортодонтическая пластинка для детей устанавливается если есть патологический прикус
- требуется проведение своевременной профилактики смещения зубов;
- стимуляция слишком медленного развития верхней или нижней челюсти (также стоматологические конструкции могут быть использованы для достижения абсолютно противоположного эффекта);
- необходимо провести изменение формы челюстных костей, которые имеют слишком большие размеры или эстетические не привлекательны;
- наличие неправильного прикуса, исправление которого возможно только путём надёжной фиксации и продолжительного удержания зубов.
Формирование прикуса происходит с рождения ребёнка и до достижения возраста 15 лет. В течение данного периода времени можно использовать ортодонтические пластинки, которые способны восстановить анатомически правильную форму челюсти и зубов.
Почему редко можно встретить фото взрослых пластин?
Носить пластину можно с 6 лет, но добиться исправления прикуса у взрослых с ее помощью удается редко — она подходит лишь для некоторых ортодонтических случаев. Еще один не очевидный минус в том, что исправить те или иные дефекты с помощью пластины можно при наличии высокого уровня мотивации у ребенка. В среднем срок носки пластины — около 2 лет. И несмотря на то, что пластина — съемная, доставать ее можно лишь во время еды и гигиенических процедур, только регулярность будет иметь лечебный эффект.
В любом случае, чем раньше Вы займетесь прикусом, тем лучше. Прямо сейчас записывайтесь в наш стоматологический центр, оставив заявку на сайте.
Елена Васильевна, и ваш коллектив! С днем стоматолога хочу я вас поздравить. Спасибо за такой нелегкий труд, Что без улыбок не хотите нас оставить И лечите так предано наш люд. Желаем вам терпения в работе, Здоровья, силы, радости во всем. Спасибо, что усилено ведете Борьбу нелегкую с проблемами зубов.
C уважением И. В. Стрельцов
Противопоказания
Ортодонтические пластины имеют минимальное количество прямых медицинских противопоказаний к использованию.
Стоматологические конструкции не устанавливаются в следующих случаях:
- зубы, на поверхность которых необходимо установить пластинку, поражены кариесом и требуют лечения;
- десна и слизистая оболочка ротовой полости, которые будут соприкасаться с элементами стоматологической конструкции, имеют явные признаки воспалительного процесса;
- у ребёнка обнаружен стоматит бактериальной, вирусной или грибковой этиологии, который требует проведения ранозаживляющей терапии;
- по результатам диагностического обследования установлены сложные аномалии развития верхней или нижней челюсти, устранение которых возможно только с помощью других методов лечения.
В зависимости от сложности клинического случая врач-ортодонт может обнаружить другие патологии и стоматологические аномалии, которые сделают невозможным применение ортодонтических пластин.
Какие специалисты занимаются ортопластинами?
Изготовление ортопластины проводится зубным техником в условиях зуботехнической лаборатории.
Исходные данные для создания конструкции специалист получает от врача-ортодонта, который выполняет диагностическое обследование ребёнка, снимает слепки челюсти, а после изготовления пластины осуществляет её фиксацию на поверхности зубного ряда. Затем для каждого пациента в отдельности доктор составляет индивидуальный график приёмов.
Изготовление и установка ортодонтической пластины
Производство и дальнейшая установка ортодонтической пластинки является сложным процессом, который состоит из этапов:
- Врач-ортодонт осматривает ротовую полость ребёнка, а также проводит рентгенографическое исследование костной ткани челюсти и зубного ряда.
- Доктор снимает гипсовые слепки с зубов и челюсти, которые нуждаются в ортодонтической коррекции.
- Полученные образцы отправляются в зуботехническую лабораторию для изготовления ортопластины конкретного вида.
- Спустя 1-2 недели доктор проводит установку конструкции, а также разъясняет родителям ребёнка правила её эксплуатации.
В дальнейшем ребёнку необходимо 1-2 раза в месяц посещать врача-ортодонта для контроля над положением конструкции и регулировки винтов. По мере выравнивания зубов и прикуса выполняется подтягивание крепёжных элементов.
Как подкручивать пластинку для зубов?
Красивые ровные зубки, правильный прикус, – об этом мечтают многие взрослые, причем именно мечтают, поскольку за специальные ортодонтические процедуры и брекет-системы в зрелом возрасте приходится выкладывать кругленькие суммы. Этого вполне можно избежать, если заняться прикусом и прочими проблемами с неправильным ростом зубов и челюстей в детстве.
Когда челюстно-лицевые кости еще не сформированы, десны достаточно мягкие, а сменяющие молочные коренные зубы легко поддаются коррекции, то есть, в возрасте от 6-7 до 12 лет, используются детские пластинки для зубов.
Их периодически необходимо подкручивать и подтягивать, но эти несложные процедуры обеспечат ребенку идеальную улыбку в подростковом и взрослом возрасте.
Виды и особенности пластин
Для выпрямления зубов и исправления прикуса у детей используются разные типы пластинок. Их можно разделить на несколько групп. Так, по типу конструкции все коррекционные пластины делятся на:
- съемные;
- несъемные;
- на верхнюю челюсть;
- на нижнюю челюсть.
Также различают аппараты Андрезена Гойпля, Брюкля и Френкеля. Для изменения размера пластинки, коррекции давления, оказываемого на небо, десны, зубы, челюсти используют винт Бертони. Его время от времени необходимо подкручивать специальным ключиком.
Ношение съемных пластинок гораздо легче переносится детьми, поскольку в случае сильного дискомфорта их можно временно снять или перестать подкручивать.
Дискомфорт (незначительные болевые ощущения, проблемы с дикцией, непривычные ощущения в ротовой полости) на первых порах неизбежен, но проходит буквально в течение нескольких дней.
Преимущество в возможности снимать пластинку двоякое: если ребенок будет постоянно это делать, то и эффекта от ее ношения не будет никакого, ведь обычно по показаниям носить устройство необходимо круглые сутки, снимая на пару часов в день, не более того.
Исключением являются активаторы Андрезена Гойпля, которые носятся исключительно в ночное время. Эти конструкции не позволяют разговаривать и дышать ртом и используются для лечения дистального прикуса у детей. К этой же категории можно отнести разнообразные капы, применяемые ночью, во время сна.
Чаще всего для коррекции различных зубочелюстных аномалий, в том числе для исправления мезиального прикуса у детей и даже у взрослых, используется аппарат Брюкля. Не менее эффективен аппарат Френкеля. Съемные пластины, снабженные винтами Бертони, могут подкручивать сами пациенты или их родители, а несъемные пластины подтягивает только сам врач-ортодонт во время планового осмотра.
Показания для ношения
Назначить ношение зубной детской пластины может только специалист по определенным показаниям. Обычно это происходит в период активного роста и смены молочных зубов, до того момента, как челюстные кости окончательно сформируются, до достижения ребенком возраста 12-14 лет. В некоторых случаях врачи рекомендуют поставить пластинку в 7-8 лет.
Носят ее от 1,5 до 2 лет, периодически подкручивая и подтягивая, в зависимости от тяжести искривления, неправильного прикуса, скученности, при неправильном росте зубов.
Брекеты в таком возрасте не ставят, зато после 14-15 лет исправить прикус и скорректировать зубы можно уже только при помощи брекет-систем и хирургии, и тогда уже подкручивать придется по многу раз каждый зуб.
Правильное использование пластинки поможет:
- скорректировать форму челюсти;
- регулировать рост челюстей;
- увеличить или уменьшить размеры неба, подкручивая винт;
- выровнять зубной ряд, устранить скученность.
Установка и правила использования аппарата для исправления прикуса
Перед установкой проводится полное обследование и лечение зубов. Затем врач делает гипсовый слепок с челюсти, подлежащей корректировке. В течение пары недель или чуть быстрее мастера клиники изготавливают пластинку.
Как правило, она состоит из гипоаллергенного, безопасного, в меру твердого пластика, который в точности повторяет форму неба, десен и прилегает изнутри к резцам ребенка.
Пластиковую часть, в центре которой сделан распил и установлен винт (именно его в дальнейшем придется подкручивать), огибает проволочная дуга со специальными изгибами индивидуальной формы и размера. Дуга будет подтягивать и выравнивать зубы с внешней стороны.
Для детей пластинки делают из яркого, цветного пластика, чтобы малышам было легче привыкнуть к новому аксессуару. Съемные аппараты легко надеваются и снимаются, крепятся к задним зубам при помощи проволочных крючков (кламмеров). Надо лишь правильно зацепить крючки, и слега надавить на пластиковую часть, чтобы конструкция встала на место.
Носить пластинку ребенку необходимо постоянно, даже во время еды, снимая лишь для чистки зубов два раза в сутки.
Так и хозяин пластинки привыкнет к ней, перестав испытывать дискомфорт, и эффект от коррекции проявится быстрее. Пластинку чистят одновременно с зубами специальными гелями.
Врач сам назначает время следующего визита, во время которого он подтягивает проволочные детали в зависимости от типа деформации зубов и прикуса.
Как и когда подкручивать пластинку для зубов?
Ортодонт объясняет, как, когда и зачем подкручивать детскую пластинку для исправления прикуса, на первом же приеме. Благодаря такой корректировке меняется ширина аппарата, постепенно раздвигаются десны, небо, правильно формируется растущая челюсть.
После установки аппарата ребенок должен привыкнуть к нему, и, только когда это произойдет, пройдут болевые или неприятные ощущения, можно начинать подкручивать винт. Врач назначает график подкручивания пластины в индивидуальном порядке и при каждом последующем приеме контролирует результат.
Процесс настолько прост, что с ним справится и сам маленький пациент, но родителям все-таки лучше держать его под контролем.
Чтобы подкрутить винт в центре пластины, используется тонкий проволочный ключ. Он вставляется в специальное отверстие в области винта и проворачивает его вперед, по направлению стрелки, нарисованной на аппарате.
Количество и частота оборотов зависят от каждого конкретного случая и патологии, но обычно подкручивать винт в пластине надо не чаще раза в две-три недели. Один поворот ключа вперед равен одному полному обороту винта.
Не бойтесь сделать что-то неправильно или повернуть винт лишний раз: его всегда можно вернуть в исходное положение, подкрутив ключ в обратном направлении.
https://youtube.com/watch?v=84EhUqniDZI
При правильном обращении, тщательном уходе, чистке, своевременном подкручивании винта и выполнении всех рекомендаций врача детская зубная пластинка поможет сформировать у ребенка ровный зубной ряд, челюсти и скорректировать прикус. Использование ортодонтического аппарата малоэффективно при непостоянном ношении, серьезных аномалиях и во взрослом возрасте.
Похожие посты
Источник: //mamsy.ru/blog/kak-podkruchivat-plastinku-dlya-zubov/
Гигиена и уход
Большинство ортопластин – это съёмные конструкции, уход за которыми не представляет большой сложности. Необходимо вынуть пластину из ротовой полости и тщательно промыть её под потоком тёплой воды.
Данная процедура осуществляется ежедневно утром и вечером. Перед приёмом пищи или во время чистки зубов ортопластина должна быть снята. В случае повреждения конструкции или деформации креплений необходимо обратиться к врачу-ортодонту.
Уход за устройством
Здесь мы поговорим о том, как нужно ухаживать за съемными пластинками. Это потому, что уход за несъемными сводится к банальной чистке зубов, но очень качественной.
Родители должны контролировать, чтобы их ребенок ложился спать с надетым устройством. В противном случае эффекта можно и не добиться, поскольку зубы вернутся в исходное положение.
За пластинками следует хорошо ухаживать, иначе они могут вызвать серьезные зубные заболевания. Из-за того, что на пластинке не слабее, чем на зубах, скапливается налет, ее надо чистить не менее тщательно, чем зубы.
Важно правильно ухаживать и за самой пластинкой, и за зубами в ней
Чистить пластинку следует при помощи специального геля двух видов. Один предназначен для ежедневного использования, а другой, «помощнее», для еженедельного. Какие гели использовать, скажет стоматолог.
Зубная щетка для чистки должна быть специальная, с мягкой щетиной. Иначе пластинка может оказаться поврежденной.
Полезно каждую неделю оставлять пластинку в контейнере с чистящим концентратом. Это важно для максимальной дезинфекции.
По окончании плановой очистки на винт пластины, если такой есть, следует капнуть растительного масла. Затем его поворачивают по часовой стрелке, после чего против нее, причем на то же самое расстояние. Дальше не следует, иначе можно активировать приспособление раньше времени. Масло мешает винту застояться.
Важно регулярно подкручивать пластинку
Важно! Очистку винта лучше всего делать перед визитом к ортодонту.
Принимать пищу необходимо без пластинки. Иначе она может загрязниться, следовательно, позже спровоцировать развитие кариеса.
Цены на изготовление, установку и обслуживание пластинок
Окончательная стоимость изготовления и обслуживания ортопластины зависит от сложности стоматологической аномалии, вида конструкции и количества материалов, затраченных на производство пластины. Средняя цена на челюстной аппарат данного типа варьируется от 4500 до 13000 руб. Дальнейший осмотр и обслуживание конструкции у врача-ортодонта включено в её стоимость.
Ортодонтические пластинки предназначены для лечения искривления зубов и коррекции прикуса у детей возрастом до 15 лет.
Для того, чтобы своевременно устранить стоматологические аномалии развития челюсти и зубного ряда, необходимо записаться на приём к детскому врачу-ортодонту, пройти обследование и привести ребёнка на дату установки конструкции. Терапевтическая процедура является безболезненной, а средняя продолжительность ношения пластины составляет от 2 до 6 мес.
Оформление статьи: Владимир Великий
https://youtube.com/watch?v=h6k3tXtUcIA
Плюсы и минусы
Достоинства использования зубных пластин в детском возрасте:
- незаметность;
- простота в уходе, с чем справится и ребенок;
- простота и отсутствие боли при установке;
- быстрый эффект;
- дешевизна;
- при использовании съемных вариантов можно допустить недолгий отдых от них, снимая для еды и осуществления гигиены полости рта.
Пластинки не слишком заметны и при этом очень эффективны
Их недостатки:
- пластины не всегда эффективны, это определяется несколькими факторами — сложностью случая, особенностями десенной ткани, возрастом того, кто, как предполагается, будет эти пластины носить;
- в тяжелых случаях пластины бессильны;
- следует непрерывно контролировать ребенка, чтобы он не слишком часто снимал пластину. В противном случае ее использование будет неэффективно.


























