Гиперплазия эндометрия матки в менопаузу: что это такое, симптомы, причины, лечение
Патология слизистой ткани матки нарушает естественную возрастную перестройку организма и может переродиться в рак. Особенно опасна гиперплазия эндометрия в менопаузе и в период климакса.
Поэтому женщинам старше 40 лет гинекологи рекомендуют обследовать матку каждые полгода.
В случае выявления болезни категорически запрещено заниматься самолечением: методы терапии подбираются с учетом причин, вызвавших патологию.
Норма толщины эндометрия во время климакса
Эндометрием называют внутреннюю слизистую матки. Она состоит из базальной (ростковой) и функциональной части. В репродуктивный период перед менструацией толщина оболочки должна быть 10―18 мм.
Справка! Норма толщины функционального эндометрия отличается до и после овуляции, а также в период каждой фазы климактерия. Это связано напрямую с уровнем женских гормонов во время детородного возраста и увядания репродуктивной функции.
Первая фаза климактерия называется пременопаузой. После 42 лет яичники постепенно теряют свои функции: запас половых клеток истощается, уровень прогестерона с эстрогеном меняется.
В это время у женщины нарушается периодичность месячных, длина цикла становиться больше, выделение крови идет скуднее и на несколько дней меньше. Клетки росткового слоя начинают замещаться соединительной тканью.
Вторая фаза климактерия называется менопаузой. Примерно наступает после 50 лет. Этому периоду характерно отсутствие месячных в течение года. Менструации нет, потому что функциональный слой не утолщается и не отторгается. В менопаузе нормой эндометрия считают не более 5 мм. Клетки слизистой продолжают замещаться соединительной тканью.
Третью фазу климактерия называют ранней постменопаузой. Период длится в течение 12―24 месяцев от последней менструации (год сразу за менопаузой). Завершается в среднем после 52 лет. Нормой толщины эндометрия по УЗИ считают 1―3 мм, в структуре есть ростковые и соединительнотканные клетки. Переходное строение слизистой остается на 3―4 года.
Климакс начинается непосредственно по завершению ранней постменопаузы и продолжается до конца жизни. Яичники не функционируют, съеживаются.
В этом периоде к норме относят инволюцию (возрастное уменьшение) матки. У пожилых женщин ее размер за 10―25 лет убывает на 25% от величины в детородной фазе.
Эндометрий замещается соединительной тканью, полость органа, фаллопиевых труб и цервикального канала срастается.
Механизм развития
В пременопаузе нестабильность работы яичников влечет к снижению концентрации прогестерона. Гормон хуже регулирует действие эстрогена на слизистую матки. Их дисбаланс способен вызвать беспорядочное деление клеток, что влияет на видоизменение стромы и желез органа.
Длительная стимуляция эстрогеном внутренней оболочки + недостаток прогестерона провоцируют гиперплазию (разрастание) эндометрия. Эта болезнь встречается минимум у 15% обследованных женщин старше 45 лет. Нарушенный гормональный фон также повышает риск развития в матке доброкачественных новообразований или рака.
Утолщению эндометрия в период климактерия характерно:
- доброкачественное разрастание стромальных и железистых клеток;
- увеличение плотности и толщины слизистой оболочки более 5 мм;
- выделение из влагалища кровянистой жидкости;
- незначительное увеличение размера матки;
- хроническое течение;
- рецидивы.
Справка! Если в менопаузе выявили толщину эндометрия 6 мм и больше, возможно гормональное расстройство, развитие доброкачественной опухоли или рака. Женщине надо сделать гистологию слизистой, исследовать кровь.
Причины
В климактерическом периоде разрастание внутренней оболочки матки и рост эндометрия возможны на фоне других патологий. Это генетические расстройства, болезни яичников, эндокринных желез или печени, развитие опухолей. К внешним причинам гиперплазии эндометрия относят бесконтрольный прием эстрогенсодержащих препаратов, операции на матке, удаление железы, раннее начало климакса.
Гормональный дисбаланс и хроническая эстрогения
Постоянно высокий уровень эстрогена бывает следствием ожирения: гормон частично синтезируется липидной тканью. Нарушение возникает также на фоне сахарного диабета, гипертонии.
К первичным причинам хронического дисбаланса гонадотропинов относят:
- гормоновырабатывающую опухоль яичника;
- новообразование надпочечника;
- опухоль гипоталамуса или гипофиза;
- дисфункцию яичников;
- хорионэпителиому (онкология матки).
К вторичным причинам эстрогении причислен длительный прием или употребление завышенных доз контрацептивов. Дисбаланс бывает и на фоне метаболического нарушения, вирусного гепатита, цирроза.
Возникновение гиперплазии на фоне патологий
Первопричинами гиперпластического процесса считают гиперэстрогению, а также нарушения углеводного, белкового или липидного обмена веществ. Видоизменяться слизистая способна на фоне фибромиомы, мастопатии, полипоза матки, воспаления половых органов. Патология чаще диагностируется у женщин, регулярно делающих аборты, имеющие хронические вагинальные инфекции.
Источник: https://ovulyacia.ru/klimaks/giperplazija-jendometrija
Лечение гиперплазии эндометрия в менопаузе и при климаксе
Климактерический период отмечается постепенным снижением уровня половых гормонов. Проходящие в женском организме гормональные изменения, приводят к снижению иммунитета.
На таком фоне могут напомнить о себе давние заболевания или развиться новые опасные для здоровья зрелой дамы болезни. Гиперплазия эндометрия матки в менопаузе относится именно к таким недугам. В этой публикации мы рассмотрим причины, симптомы и лечение этой болезни.
Что же это за недуг?
Гиперплазия эндометрия при климаксе представляет собой аномальное разрастание слизистой оболочки матки, а также изменение ее желез. Такое усиленное размножение клеток может привести к изменению их структуры. Гиперплазия в постменопаузе с большой вероятностью приводит к развитию рака.
Эндометрий – это слизистая оболочка матки, которая состоит из двух слоёв: наружного (функционального) и внутреннего (базального). Во время репродуктивного периода, когда не происходит зачатие, то функциональный эпителий отслаивается и выводится наружу с менструальным кровотечением. Из развивающихся базальных клеток появляется новый функциональный слой эндометрия.
Эти процессы в женском организме происходят под воздействием разных половых гормонов. В начале менструального цикла, когда функциональный слой растет, то преобладают гормоны эстрогены.
В период менопаузы менструации прекращаются и начинается атрофия эндометрия, который выполняет уже только защитные функции. Причем уменьшается и объём и толщина слизистой оболочки. Если перед началом месячных ее толщина была примерно 18 мм, то с наступлением менопаузы она уменьшается до 5 мм. Такие физиологические изменения, происходящие в женском организме, считаются нормой.
В то время, как обратные процессы – увеличение толщины слизистой, приводят к гиперплазии при климаксе. По многим причинам клетки эндометрия начинают прорастать в мышечный слой матки и толщина слизистой оболочки увеличивается.
Таким образом, гиперплазия эндометрия в менопаузе или аденомиоз – это аномальное распространение клеток эндометрия вглубь тканей матки.
Какие виды гиперплазии бывают
Виды гиперплазии эндометрия в менопаузе зависят от того, какие клетки слизистой преобладают в аномальном образовании.
Специалисты выделяют следующие виды заболевания:
- Очаговая (полиповидная) – из клеток желез разрастаются полипы (наросты на тонкой ножке), вокруг которых появляются отдельные участки (очаги) разрастания эндометрия.
- Базальная – очень редкий вид заболевания, при котором вглубь тканей матки прорастают клетки базального слоя эндометрия.
У женщины может образоваться комбинированный вид заболевания. Например, железисто-кистозная гиперплазия. В этом случае кроме разрастаний слизистой, которые состоят из железистой ткани, образуются кисты и узелки.
Какие симптомы болезни на разных этапах климакса
Гиперпластический процесс эндометрия на всех этапах климактерического периода проходит по-разному. Поэтому, симптомы болезни на каждой фазе климакса разные. Остановимся на этом вопросе более подробно.
Климактерический период имеет несколько важных этапов (фаз):
-
Гиперплазия на этом этапе может быть без выделений, а может проявиться выделениями через 0,5-1 год после менструации.
Поэтому, если кровянистые выделения начались спустя полгода и больше от последних месячных, то даме следует записаться на приём к гинекологу.
Иногда, гиперплазия эндометрия в менопаузе и пременопаузе протекает практически бессимптомно и может быть выявлена только во время гинекологического осмотра. Как видим, болезнь во время постменопаузы имеет симптомы аналогичные климактерическим проявлениям. Поэтому, многие дамы принимают симптоматику развивающегося заболевания за проявления климакса.
Вышеизложенные факты еще раз подтверждают, что женщине очень важно для сохранения своего здоровья регулярно, не реже одного раза в год, посещать гинеколога.
Некоторые специалисты советуют с приходом климакса сделать профилактические осмотры более частыми – раз в полгода. Так, дама сможет вовремя диагностировать появление опасного заболевания и начать своевременно его лечить.
Причины развития заболевания
Поскольку, гиперплазия эндометрия при климаксе очень опасное заболевание, то всем женщинам будет полезно знать, какие причины его развития и кто находится в группе риска.
Выделяют такие основные причины возникновения болезни:
- Если смотреть через микроскоп.
Все эти изменения в работе органов и систем женского организма приводят к утолщению эндометрия во время менопаузы. Кроме того, у дамы с нарушенным обменом накапливается лишний вес. Жировые ткани имеют способность производить эстрогены.
Поэтому, чем выше у дамы показатель избыточного веса, тем больше баланс гормонов склоняется в сторону эстрогенов.
По мнению специалистов, одной из весомых причин развития болезни является генетическая предрасположенность. Проводимые исследования подтвердили, что у большинства женщин, болеющих на гиперплазию эндометрия, предки по женской линии имели такой же диагноз. В группу риска попадают дамы, имеющие миомы и мастопатии.
Какое применяют лечение
Гиперплазия эндометрия в менопаузе требует лечения методами традиционной медицины. Поскольку, болезнь может переродиться в онкологическое заболевание, то женщинам не следует пытаться лечить её только народными средствами. Их можно приметь, как дополнение к основному лечению, но только после консультации со своим лечащим доктором.
Популярная ведущая телепередач о здоровье Елена Малышева в программе посвященной лечению гиперплазии эндометрия акцентировала внимание том, что при подозрении на болезнь необходимо сразу обратиться к доктору и пройти комплексное обследование.
Оптимальный метод лечения выбирает только врач в зависимости от стадии болезни и общего состояния здоровья пациентки. Лечение народными рецептами, только займет драгоценное время и приведет к чрезмерному разрастанию эндометрия.
Медикаментозный метод
Этот метод предусматривает лечение гормональными препаратами, которые содержат прогестерон. Приём лекарственных средств может длиться около полугода.
Во время курса лечения женщины постоянно проходят УЗИ с целью определения толщины эндометрия. Лечащий врач по результатам обследования корректирует дозу лекарств.
Заниматься самолечением категорически нельзя. Когда дама самостоятельно увеличивает или уменьшает дозировку препарата, то она может спровоцировать рецидив болезни.
Для облегчения состояния дамы врач может назначить дополнительно фитотерапию. После завершения лечения женщине нужно каждые 3-6 месяцев проходить УЗИ для того чтобы контролировать состояние эндометрия.
Оперативный метод
Если у дамы после приема курса препаратов случается рецидив болезни, то применяют оперативный метод лечения гиперплазии эндометрия. В постменопаузе лечение заболевания проводят обоими методами.
Возможны следующие варианты хирургических операций:
Хирургическое лечение гиперплазии эндометрия в постменопаузе применяют в том случае, когда у женщины обнаружены полипы или атипичные клетки, которые с высокой вероятностью могут переродиться в раковые.
Этот недуг может перерасти в рак.
Итог
Гиперплазия эндометрия во время менопаузы угрожает дамам более чем раньше. Это заболевание может спровоцировать развитие онкологического новообразования. На ранних этапах болезнь можно вылечить медикаментозно, не прибегая к оперативному лечению.
Поэтому, очень важно не менее чем раз в год проходить гинекологическое обследование и УЗИ, которые помогут выявить болезнь на ранних этапах. Кроме того, следует по возможности исключить все факторы риска развития гиперплазии. Крепкого вам здоровья!
А что знаете вы о таком серьёзном заболевании?
Источник: https://StopClimax.ru/bolezni/giperplaziya-endometriya
Гиперплазия эндометрия в период климакса
В период менопаузы происходят возрастные изменения женского организма – снижается репродукция половых гормонов, прекращается цикличные процессы обновления внутренних слизистых оболочек полости матки.
С наступлением климатического периода вероятность развития серьезных болезней возрастает. Наиболее часто диагностируется гиперплазия эндометрия в менопаузе.
Не все пациентки, услышав этот диагноз, знают, что это такое, какие симптомы и лечение болезни.
Что такое менопауза и когда она наступает
Менопауза – это 12-ти месячный период после последнего естественного периодического выделения у женщин, наступающий в возрасте от 45 до 55 лет. Она вызвана истощением запаса фолликул. Если климакс наступает до 40 лет, то данный процесс называют синдромом истощения яичников. У некоторых женщин наблюдается поздний климакс – после 55 лет.
Бывают случаи, когда пауза вызвана искусственным путем. В этом случае у женщины прекращается менструация из-за хирургического удаления яичников, химиотерапии или приема лекарственных средств.
В период менопаузы женский организм меняется. Изменения вызваны недостатком гормонов, изменением функционирования яичников. Именно в это время возрастает риск развития многих гинекологических патологий, таких как рак матки, гиперплазия эндометрия.
Общие сведения о заболевании
Под термином «гиперплазия» медики подразумевают разрастание тканей. Оно возникает из-за избыточной продукции клеток. Эндометрий – это внутренняя оболочка матки. Она обеспечивает плоду оптимальные условия для полноценного развития. Каждый менструальный цикл толщина эндометрия меняется.
Самым тонким слой бывает сразу после окончания менструации. В период овуляции эндометрий утолщается до 8 мм под влиянием гормона эстрогена.
Если зачатие не произошло, уровень гормонов понижается за счет выработки прогестерона, внутренние слизистые оболочки органа истощаются, яйцеклетка выходит из организма – начинается менструация.
В большинстве случаев разрастанием эндометрия характеризуется пременопауза.
Ведь, несмотря на присутствие ежемесячных выделений в организме женщины происходят возрастные изменения, сопровождающиеся изменением гормонального фона.
Нормы эндометрия
Во время менопаузы эндометрий становится тоньше. Его толщина варьируется в пределах 5 мм. Именно этот показатель врачи считают нормальным. Иногда разрастание эндометрия при климаксе достигает 7-8 миллиметров.
Этот показатель свидетельствует о возможном начале патологического процесса, но еще не классифицируется как гиперплазия. Для некоторых пациенток толщина тканей 7-8 миллиметров – это норма.
Но врачи рекомендуют периодически проходить УЗИ (каждые 3-6 месяцев), чтобы осуществлять динамический контроль над разрастанием тканей.
Если показатели толщины эндометрия достигают более 8 мм, гинекологи рекомендуют пройти пациентке процедуру выскабливания. Она необходима, чтобы подтвердить развитие патологического процесса, изучить структуру тканей и назначить лечение.
Классификация болезни
Существует несколько видов гиперплазии эндометрия. Они отличаются направлением разрастания тканей:
- Железистая гиперплазия эндометрия диагностируется, если слой внутренней оболочки матки увеличивается за счет видоизменения расположенных в нем желез. Увеличение объема происходит в направлении мышц органа.
- Кистозная форма. В полости оболочки начинают формироваться кистозные образования. Этот вид патологии опасен, так как клетки, продуцируемые избытком гормонов, могут переродиться в злокачественные.
- Базальная гиперплазия. Во время менопаузы эту форму болезни диагностируют редко. Во время ее развития наблюдается увеличение толщины базального слоя матки.
- Очаговая форма. Толщина оболочки увеличивается неравномерно, формируя на стенках матки наросты (полипы).
- Атипическая гиперплазия. При климаксе данный тип патологии встречается редко. Она самая опасная из всех видов проявления болезни, так как быстро переходит в рак матки. Если подтвердилась атипическая форма гиперплазии эндометрия, врачи удаляют орган.
Наиболее часто при климаксе диагностируют железистую и кистозную форму заболевания. Основными причинами развития этих типов патологии является гормональный сбой.
Причины гиперплазии во время климакса
Факторов, из-за которых развивается гиперплазия эндометрия в менопаузе несколько. В большинстве случаев они начинают формироваться еще до наступления климакса (в пременопаузе).
- Гормональный сбой. Это самая распространенная причина развития патологии. У женщин после 45 лет наблюдается снижение продукции прогестерона и повышенный уровень эстрогена. Такой дисбаланс провоцирует видоизменение оболочки матки.
- Нарушение обмена веществ. С возрастом у большинства женщин появляется проблема лишнего веса. Жировые прослойки тканей провоцируют продукцию эстрогена, тем самым усугубляя гормональный сбой, проявляющийся в климактерическом периоде.
- Сбой работы эндокринной системы. По этой причине часто наблюдается гиперплазия эндометрия в постменопаузе.
- Частые вторжения в полость матки (гинекологические операции). Из-за частого механического воздействия рецепторы оболочки перестают реагировать на уровень прогестерона. Чем больше пришлось перенести женщине абортов, выскабливаний, тем выше вероятность развития ГПЭ в климатическом периоде.
- Предрасположенность к патологии на генетическом уровне. Врачи подтверждают, что это заболевание чаще диагностируют пациенткам, родственницы которых сталкивались с такой же проблемой.
Также разрастание слизистых оболочек наблюдается на фоне миомы и мастопатии. В некоторых случаях спровоцировать патологию может сбой работы иммунной системы.
Признаки
Симптомы гиперплазии эндометрия в постменопаузе проявляются индивидуально. Основным признаком гиперпластического патологического процесса являются кровянистые выделения. Но они наблюдаются не у всех пациенток. Иногда утолщение оболочки происходит без выделений. К другим проявлениям болезни относят:
- Очень болезненная менструация. При этом боли носят спастический характер.
- Нерегулярный менструальный цикл. Иногда кровянистые выделения появляются дважды за месяц.
- Обильные и продолжительные месячные (10-14 дней).
Иногда симптомы гиперплазии эндометрия матки сопровождаются общим недомоганием, бессонницей, мигренью, снижением работоспособности, раздражительностью. Женщина ощущает сильную жажду.
Как диагностировать
В большинстве случаев подозрение на гиперплазию эндометрия диагностирует врач-гинеколог, к которому женщина обращается с жалобами на болезненную или нерегулярную менструацию. Существует несколько методов диагностики заболевания:
- УЗИ. Если во время проведения этого диагностического исследования обнаружится, что толщина слоя эндометрия 7-8 мм, гинеколог назначает дополнительное обследование.
- Гистероскопия. Во время проведения процедуры врач делает визуальный осмотр полости матки, используя эндоскопическое оборудование. Обследование проводится под общим наркозом. В большинстве случаев одновременно с осмотром оболочки проводится биопсия тканей.
- Кюретаж (диагностическое выскабливание эндометрия). Процедура назначается в тех случаях, если толщина разрастающихся тканей превышает 8 мм. Выскабливание проводят для дальнейшего исследования эндометрия и исключения появления раковых клеток.
Если утолщение превышает показатель 10 мм, гинекологи рекомендуют пройти процедуру раздельного выскабливания, с последующим облучением полости органа радиоактивны фосфором. Реагент вводится в вену пациентки, мигрирует по телу и накапливается в патогенных участках оболочки. Врач для проведения гистологического исследования берет биологический материал именно с этих зон.
Как лечить заболевание в период климакса
Если подтвердился диагноз гиперплазии эндометрия в менопаузе, лечение начинают сразу же. Ведь это та патология эндометрия, во время развития которой существует высокая вероятность перерождения клеток в злокачественные онкологические образования. В зависимости от стадии болезни, врачи используют один из методов терапии.
Медикаментозное лечение
Рекомендуется лечить гиперплазию эндометрия лекарственными препаратами в том случае, если толщина тканей не превышает 6-7 мм.
Терапия основывается на приеме гормональных медикаментов, провоцирующих повышение уровня прогестерона.
Пациентка весь период лечения (6-8 месяцев постоянного приема медикаментов) должна проходить плановое УЗИ, на котором врач ведет постоянный контроль изменения показателей разрастания тканей.
Медикаментозное лечение не дает 100% результатов. Вероятность рецидива болезни гормональных препаратов высокая.
Хирургическое
Если медикаментозная терапия не дала ожидаемых результатов, проводится хирургическое лечение патологии. В зависимости от результатов предварительно проведенных анализов, используют один из методов оперативного вмешательства:
- Выскабливание полости матки. Рекомендуется, если толщина видоизмененной ткани превышает 10 мм. Процедура длится 30-40 минут под местной анестезией.
- Прижигание. Этот метод хирургического вмешательства используется при очаговой гиперплазии. Во время процедуры врач воздействует на очаги видоизмененной ткани холодом, лазером или электрическими импульсами.
- При повышенной угрозе развития злокачественных опухолей, врачи рекомендуют провести удаление матки. Во время процедуры гистерэктоми орган полностью вырезают. А если у женщины в период менопаузы обнаружили поражение яичников, во время операции удаляют и их.
Какой из видов хирургического вмешательства использовать, определяет лечащий врач в индивидуальном порядке. Иногда во время подготовки к операции используется гормональная терапия. Она способствует быстрому восстановлению организма после вмешательства.
Дополнительная терапия народными средствами
Большинство пациенток не спешат использовать традиционное лечение патологии, предпочитая использовать рецепты народной медицины. Гинекологи же советуют не расценивать травы как основную терапию, а использовать их в комплексе с медикаментами. Самыми распространенными рецептами народной медицины, доказавшими свою эффективность в лечении ГПЭ, являются:
- Свежий сок из корня лопуха и золотого уса. Эти жидкости смешивают в равных пропорциях и принимают дважды в день по 1 столовой ложке. Существенным недостатком этого рецепта является возможность проведения терапии только в теплое время года.
- Спиртовая настойка крапивы (готовится самостоятельно). 200 гр. лекарственного сырья (свежие листья и ростки) заливают 500 мл. спирта (крепкого самогона). Выдерживают три недели в теплом темном месте, периодически взбалтывая емкость с жидкостью. Готовый настой процеживают и принимают по 1 чайной ложке дважды в день.
Лечение народными средствами должно сопровождаться регулярным обследованием у врача. Это даст возможность отслеживать динамику развития болезни.
Проходит ли заболевание само в период менопаузы
Даже если болезнь не сопровождается ярко выраженными симптомами и была диагностирована случайно, сама по себе пройти она не может.
Патологические изменения, происходящие в женском организме, без приема гормональных лекарств не смогут прийти в норму. Иногда женщины полагают, что если климакс проходит, гормональный фон нормализуется, и слой эндометрия утончается.
Это не более чем заблуждение. Чем раньше начато лечение болезни, тем выше шансы на выздоровление.
Возможен ли рецидив при климаксе
Возможность рецидива гиперплазии эндометрия в период менопаузы возрастает. В зависимости от выбранного врачом вида лечения, после которого разрастание тканей продолжилось, определяются дальнейшие действия:
- Если болезнь рецидивирует после медикаментозной терапии, а толщина слоя увеличивается более 8 мм, рекомендуется пройти процедуру выскабливания.
- Если после кюретажа ситуация повторилась, проводится полное удаление матки.
Процент рецидивирующих случаев патологии при изначально грамотно подобранном лечении низкий. Чтобы предотвратить возможность рецидива, пациентка должна постоянно проходить контрольное обследование.
В чем опасность
Разрастание менопаузального эндометрия очень опасно для женщины. Это коварная болезнь, которая склона к рецидивам и перерождению в онкологические образования.
Даже после прекращения ежемесячных выделений гиперплазия оболочек матки опасна не менее чем в пременопаузе.
Поэтому женщинам в 12-тимесячный период после окончания последней менструации необходимо проходить гинекологическое плановое обследование и УЗИ.
Отзывы
Мария, 47 лет
Мне поставили диагноз ГПЭ несколько лет назад. Назначили прием «Диферелина». В интернете об этом препарате противоречивые отзывы читала, но все равно начала пить. Толщина эндометрия не увеличивается. И это радует. Есть надежда избежать выскабливания.
Ирина, 43 года
О, Вам повезло. Мне назначали и «Даназол», и «Золадекс» — все оказалось безрезультатным. Пришлось согласиться на выскабливание. Процедура не самая приятная, надо сказать. Теперь вот принимаю таблетки, чтобы избежать рецидива.
Ольга, 52 года
А есть случаи, у кого эндометрий сам в норму пришел, без лечения? Мне просто интересно, я уже прошла 2 чистки. А знакомая лечилась только травами, так у нее в опухоль перешло…
Зина, 45 лет
Источник: https://MatkaMed.ru/endometrij/giperplaziya-endometriya-v-menopauze
Гиперплазия эндометрия в менопаузе: причины, признаки, лечение
Под гиперплазией понимают избыточный рост клеток, изменения формы и увеличение количества желез эндометрия (слизистой оболочки матки).
Поражается либо отдельный участок, либо функциональный, реже базальный, слой полностью.
В репродуктивном периоде чаще диагностируют простую форму (железисто кистозную гиперплазию эндометрия), но в пре и постменопаузе в основном выявляют атипическую гиперплазию и полипы эндометрия.
Подробно о гиперплазии эндометрия.
Чем опасна гиперплазия эндометрия в период менопаузы?
Гиперплазия эндометрия в период менопаузы опасна развитием рака. В период менопаузы многие женщины боятся обследоваться у гинеколога и узнать диагноз. Если выявлено утолщение эндометрия, размеры которого, наоборот, должны уменьшатся, то врач сразу направит на дополнительное обследование с целью исключения злокачественного процесса.
Причины развития гиперплазии эндометрия в менопаузе
В большинстве случаев причиной возникновения гиперплазии является повышенное содержание гормонов эстрогенов, причем повышение может быть как абсолютным, так и относительным, когда эстрогенов больше на фоне сниженного прогестерона.
После наступления менопаузы количество гормонов понижается, эндометрий истончается и на этом фоне нередко обнаруживают полипы эндометрия. Еще одним вариантом развития событий является появление атипической гиперплазии или рака – эти изменения в основном протекают без каких-либо симптомов и выявляют их чаще случайно при проведении обследования.
Симптомы гиперплазии эндометрия в менопаузе
Основными проявлениями гиперплазии являются:
- кровянистые выделения из половых путей, которые в отличие от репродуктивного периода, в пременопаузе возникают между менструациями, а в постменопаузе характеризуются выделениями различной интенсивности, но чаще мажущие;
- в менопаузе гиперплазия эндометрия может протекать без выделений;
- при наличии полипов женщину могут беспокоить боли внизу живота схваткообразного характера.
УЗИ признаки гиперплазии эндометрия в менопаузе
При проведении УЗИ можно четко увидеть границу между слизистой оболочкой и мышечным слоем матки. Оценка эндометрия дает шанс вовремя обнаружить патологические изменения и предотвратить тяжелые последствия.
С возрастом постепенно толщина эндометрия снижается, и если менструации отсутствуют в течение 5 и более лет, то величина слизистого слоя не должна превышать 4-5 мм. Из-за сужения цервикального канала шейки матки часто обнаруживают небольшое количество жидкости в полости матки.
Когда в полости матки имеется зияние, используют термин «М-эхо». В этом случае важно измерить толщину обеих стенок эндометрия и содержимого полости матки. Если величина М-эха не нарастает, границы полости остаются четкими и ровными, однородной структуры, то это норма.
Обратите внимание! Динамическое наблюдение с проведением УЗИ 1 раз в год необходимо в любом случае.
В постменопаузе чаще обнаруживают один полип, два и тем более 3 очень редко. В перименопаузе обнаруживают в основном железисто-фиброзные полипы, в постменопаузе фиброзные. Аденоматозные полипы опасны, их причисляют к предраковым состояниям.
Эхопризнаки гиперплазии эндометрия:
| Длительность менопаузы, лет | Толщина эндометрия, мм |
| 2 | 6,3 – 10,9 |
| 4 | 5,1 — 8,9 |
| 6 | 0,8 – 8,6 |
| 8 | 2,2 — 4 |
| 10 | 2,5 – 2,7 |
| свыше 15 | 1 – 1,6 |
На фоне проведения ЗГТ толщина эндометрия достигает 10 мм, что считают нормой, поэтому о приеме препаратов необходимо предупредить врача. При увеличении более 10 мм проводят коррекцию проводимой терапии с повторным УЗИ. Если прием препаратов на основе гестагенов не ведет к уменьшению показателей, то назначают диагностическое выскабливание, в лучшем случае под контролем гистероскопии.
Лечение гиперплазии эндометрия в менопаузе
В менопаузе лечение гиперплазии эндометрия без выскабливания не проводят. На первом этапе лечения необходима гистероскопия и раздельное диагностическое выскабливание. Затем переходят к выбору гормонального препарата, но перед назначением надо удостовериться в отсутствии противопоказаний, к которым относят:
- тромбофлебиты и тромбоэмболические осложнения;
- злокачественные образования молочной железы, щитовидной железы;
- инфаркт миокарда и стенокардия в анамнезе;
- нарушения мозгового кровообращения;
- гепатит и хронический калькулезный холецистит.
Лечение отличается от вида, формы гиперплазии и периода.
В период перименопаузы (пременопауза, менопауза и первый год после) для лечения железистой гиперплазии эндометрии без атипии и полипов назначают препараты в течение 6 месяцев, с контролем УЗИ через полгода и год:
- прогестагены (медроксипрогестерон, дезогестрел, дидрогестерон);
- антигонадотропные препараты (даназол, гестринон);
- агонисты ГНрГ (гозерелин, бусерелин).
Но подобрать препарат в этом возрасте затруднительно из-за наличия часто встречающихся экстрагенитальных заболеваний.
При выявленной в менопаузе атипичной гиперплазии эндометрия предпочтение отдают хирургическому вмешательству, но при наличии противопоказаний прибегают к гормональному лечению, но в более высоких дозировках:
- гестагены;
- агонисты ГНрГ.
Через 2-3 месяца проводят УЗИ и взятие аспирата из полости матки с цитологическим исследованием. Через 6 месяцев под контролем гистероскопии показано диагностическое выскабливание. Под диспансерным наблюдением женщина находится не менее 2 лет.
Обратите внимание! Каждая группа препаратов имеет ряд побочных эффектов, поэтому длительность терапии определяет только врач.
Выскабливание в менопаузе при гиперплазии эндометрия
Самой частой манипуляцией при гиперплазии является выскабливание полости матки и цервикального канала шейки матки с диагностической и лечебной целью. Благодаря гистологическому исследованию взятого материала можно обнаружить на ранних стадиях раковые клетки, что повышает эффективность лечения и прогноз.
Если выскабливание проводится без эндоскопического наблюдения, то есть вероятность неполноценного удаления полипа, поэтому гистероскопия является наиболее удачным вариантом.
При утолщении эндометрия, неровных контурах полости матки и обнаружении включений показана гистероскопия, раздельное диагностическое выскабливание с обязательным гистологическим исследованием соскобов.
Если в периоде постменопаузы длительностью более 5 лет выявлено утолщение до 6-7 мм, показана биопсия эндометрия и УЗИ раз в 3-6 месяцев.
К сожалению, нередко прибегают к оперативному лечению, объем операции зависит от вида гиперплазии и наличия атипии.
В перименопаузе при рецидиве гиперплазии эндометрия без атипии в сочетании с аденомиозом или миомой матки выполняют оперативное вмешательство. Если в постменопаузе выявлен рецидив, то производят аблацию эндометрия или удаляют матку с придатками.
При атипической гиперплазии в постменопаузе удаляют матку с придатками.
При наличии тяжелой сопутствующей патологии и высоком риске оперативного лечения назначают гестагены в непрерывном режиме длительно в сочетании с антикоагулянтами, антиагрегантами и гепатопротекторами в обычных дозировках. Лечение проводят под контролем УЗИ и аспирационной биопсии через 6-12 месяцев. Диспансерное наблюдение пожизненно.
Народные средства при гиперплазии эндометрия в менопаузе
Нетрадиционная медицина тоже нашла своих почитателей, хотя врачи не используют такие методы в качестве основного лечения — применение их возможно только как дополнение к терапии.
В менопаузе при гиперплазии эндометрия рекомендуют различные сборы трав:
- крапива;
- алоэ;
- чистотел;
- боровая матка;
- лопух;
- овощные соки (например, морковный, свекольный) и множество других.
Травы просты в использовании – их либо заливают кипятком, либо готовят отвары и настойки на огне.
Для лечения железистой гиперплазии эндометрия в менопаузе некоторые практикуют глину в виде компрессов на низ живота. Эта процедура неэффективна и даже вредна из-за выраженного теплового эффекта.
Обратите внимание! Перед любой процедурой необходимо проконсультироваться с врачом.
Владлена Размерица, акушер-гинеколог, специально для Mirmam.pro
Источник: https://mirmam.pro/giperplaziya-endometriya-v-menopauze
Гиперплазия эндометрия в менопаузе: лечение, симптомы, виды
Гиперплазия эндометрия – это патологическое гормонально зависимое изменение и разрастание слизистой оболочки матки.
Гиперплазия – пролиферативный процесс, обусловленный аномальным размножением клеток маточных желёз и в меньшей степени клеток соединительной ткани (стромы) эндометрия.
Важно понимать, что гиперплазия слизистой матки – не местная проблема, а нарушение работы всего организма в целом.
В перименопаузе гиперплазией эндометрия страдают до 50% женщин. Максимальная заболеваемость приходится на ранний постменопаузальный период. Развитие рака эндометрия у женщин старшего возраста в 80% случаев происходит из-за озлокачествления рецидивирующей гиперплазии эндометрия матки в менопаузе. Вот почему эта болезнь требует своевременной диагностики и адекватного лечения.
Эндометрий: строение, гиперплазия
Прямой «виновник» типичной гиперплазии эндометрия – гормональный дисбаланс: доминирующее влияние на слизистую матки эстрогенов на фоне недостатка прогестерона.
| Структурный элемент эндометрия | Эстрогены | Прогестерон |
| Эпителий желёз | Стимулируют пролиферацию (размножение клеток). | Препятствует пролиферации. |
| Маточные железы | Стимулируют рост. | Ограничивает рост. Стимулирует секреторную активность желёз, обеспечивает их структурную перестройку. |
| Строма | Незначительное влияние. | Стимулирует рост. |
Подробно о причинах нарушения гормонального равновесия, различных формах гиперплазии читать здесь: Лечение гиперплазии эндометрия
Проблема гиперплазии эндометрия у женщин старшего возраста особенно актуальна. Ведь именно в период климактерия и менопаузы возрастает тенденция нетипичного, рецидивирующего течения болезни, её перерождения в рак.
Что такое менопауза и климактерий?
Климактерий (ступень лестницы) или климактерический, переходный период – это возрастное физиологическое угасание репродуктивной и менструальной функции женщины.
В современной литературе вместо «климактерий» употребляется термин-синоним «перименопауза», а вместо «климакс» — «постменопауза».
- Менопауза – это последнее физиологическое менструальное кровотечение. Точную дату менопаузы устанавливают ретроспективно – не раньше, чем через год после стабильного прекращения менструаций.
/указан примерный возраст/
Периоды жизни женщины
Причины гиперплазии эндометрия в менопаузе
Типичная гиперплазия эндометрия развивается из-за хронической эстрогении – преобладания эстрогенного влияния на эндометрий. Подобный гормональный дисбаланс возникает в старшем переходном возрасте особенно часто.
Причины хронической эстрогении в менопаузу
После 40-45 лет у женщин на фоне возрастной перестройки всего организма происходит постепенное угасание репродуктивной системы. Образование эстрогенов в яичниках снижается, поэтому менструальный цикл нарушается. Он становится ановуляторным: яйцеклетка не выходит из фолликула. Раз овуляции не происходит, то полноценное жёлтое тело не развивается и не вырабатывает прогестерон .
Возникает дисбаланс «эстрогены/прогестерон» и эндометрий находится под непрерывным влиянием эстрогенов . Их концентрация невелика, но действие продолжительно. Установлено, что даже низкие, до 20-50 нг/мл, дозы эстрогенов способны поддерживать патологический рост эндометрия.
Ановуляторный менструальный цикл
Ановуляторный менструальный цикл – характерная для пре- и менопаузы причина развития гормонального дисбаланса и гиперплазии эндометрия.
Интересно, что в условиях местной (влияющей на эндометрий) эстрогении общее содержание женских гормонов в крови может оставаться сначала нормальным, затем — снижаться, вплоть до выраженной гипоэстрогении.
Эти аномальные гормонально-активные структуры выделяют большое количество так называемых неклассических эстрогенов, инициирующих гиперплазию эндометрия матки в менопаузе.
В старшем возрасте в 2-4 раза увеличивается образование эстрогенов в жировой ткани .
Внутренний жир – «ловушка и хранилище» стероидных гормонов. Для менопаузы характерен усиленный синтез андрогенов в коре надпочечников, в мозговом веществе яичников. Они накапливаются в жировых депо и превращаются (ароматизируются) в эстрогены.
При нарушениях липидного обмена, диабете 2 типа, ожирении ароматизация андрогенов в эстрогены значительно возрастает и уровень последних в организме женщины повышается (гиперэстрогения).
Лишний вес в менопаузе
Ожирение приводит к гиперэстрогении и гиперплазии эндометрия матки в менопаузе.
Помимо эстрогении в патогенезе гиперплазии эндометрия важное место занимают нейроэндокринные, иммунные и метаболические нарушения.
- Сахарный диабет
- Гипертония
- Болезни печени и желчевыводящих путей
- Гипотиреоз
- Миома матки
- Эндометриоз
- Патология яичников (опухоли, СПКЯ)
- Гипоталамический синдром
- Болезни надпочечников
- Снижение иммунитета, аутоиммунные нарушения
Виды гиперплазии эндометрия в менопаузе
Классификация гиперплазии эндометрия
Полипы эндометрия встречаются у женщин старшего возраста очень часто. Они тоже представляют собой локальный гиперпластический процесс (аномальный рост с изменением структуры ткани) эндометрия. Но по современным представлениям истинные эндометриальные полипы нельзя уравнивать с гиперплазией эндометрия – это разные болезни и лечат их по-разному.
Чем опасна гиперплазия эндометрия в менопаузе?
- Во-первых , гиперплазия эндометрия провоцирует маточные кровотечения и железодефицитную анемии.
- Во-вторых , есть данные о мутагенном влиянии метаболитов эстрогенов на клеточные ДНК.
Риск перерождения типичной рецидивирующей гиперплазии эндометрия в рак эндометрия на фоне хронической менопаузальной эстрогении очень велик.
- Особую опасность представляет собой атипическая форма гиперплазии эндометрия. Возникает она из-за генных мутаций в клетках эндометрия.
В старшем возрасте у женщин снижается иммунитет, нарушается обмен веществ – эти и другие, не вполне ясные причины инициируют развитие хромосомных аномалий и очагов атипии.
Атипическая гиперплазия эндометрия развивается на фоне «поломки» клеточной ДНК.
Эту форму гиперплазии считают предраком эндометрия (неинвазивным раком, раком in situ). У женщин старшего возраста данная патология требует немедленного радикального хирургического лечения.
УЗИ-признаки гиперплазии эндометрия в менопаузе
Увеличение толщины эндометрия (срединного М-эха) считается косвенным признаком гиперплазии даже без клинических проявлений болезни.
Эхогенность эндометрия неоднородна: обнаруживаются гипо- и гиперэхогенные структуры.
Границы эндометрия нечёткие, неровные.
Диагностика гиперплазии эндометрия в менопаузе
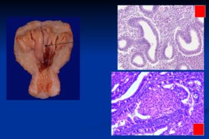
Единственно верный способ диагностики гиперплазии эндометрия в менопаузе – это выскабливание слизистой матки с последующим исследованием удалённого эндометрия под микроскопом (гистологическое исследование).
Диагностическое выскабливание матки
Для определения степени злокачественности и дифференциальной диагностики комплексной, атипической гиперплазии, рака эндометрия применяют гистоиммунохимический анализ (ИГХ).
Гиперплазия эндометрия в менопаузе зачастую указывает на патологию яичников. Для выявления гормонально-активных овариальных структур проводят УЗИ и эндоскопическую биопсию яичников.
Лечение гиперплазии эндометрия матки в менопаузе
Диагностическое фракционное выскабливание слизистой матки — первый этап лечения гиперплазии эндометрия.
С помощью выскабливания:
- останавливают маточное кровотечение,
- удаляют патологическую ткань эндометрия.
Гиперплазии эндометрия, её симптомы и лечение в менопаузу неоднозначны.
Индивидуальную тактику ведения пациентки выбирают после гистологического заключения. Обязательно учитывают общее состояние здоровья женщины: соматическую и сочетанную гинекологическую патологию.
Для лечения гиперплазии эндометрия у пациенток старше 45 лет не рекомендуется использовать эстроген-гестагенные оральные контрацептивы (КОК).
Для женщин менопаузального возраста не актуален вопрос сохранения детородной функции. цель лечения в этот период – максимальное снижение рисков рака эндометрия. Поэтому рецидивирующую типичную и атипическую гиперплазию эндометрия в менопаузе лечат хирургически.
Схема лечения заболевания
Последовательность лечения гиперплазии эндометрия
* Гормональное лечение типичной гиперплазии эндометрия в менопаузе
| Лечение | Средства | Сроки | Ограничения |
| Гестагены в непрерывном режиме | Депо-Провера 17а-ОПК Депостат
Оргаметри |
6-9-12 месяцев | Непереносимость. Системные эффекты.
Патология печени |
| Гормональная спираль | ЛНГ-ВМС | 1-5 лет | |
| Агонисты рилизинг-гормонов | Бусерелин Золадекс
Люкрин-Депо |
6 месяцев | Непереносимость. Системные эффекты.
Остеопороз. |
** Абляция эндометрия — гистерорезектоскопия – тотальное разрушение эндометрия с помощью прибора резектоскопа, оснащённого специальной лазерной, электрохирургической, или другой «режущей» насадкой. Абляция – малотравматичная операция, выполняется под общим наркозом, влагалищным доступом (без разрезов на теле).
Недостатки: нет стандарта контроля полноты абляции.
Противопоказания: атипическая ГЭ, рак эндометрия.
Источник: http://ProMatka.ru/giperplaziya-endometriya/giperplaziya-endometriya-v-menopauze.html
Поделиться:




