Когда плодное яйцо прикрепляется к матке: признаки, ощущения и сроки
Беременность наступает в результате оплодотворения женской клетки сперматозоидами — мужскими клетками. Мало кто знает о важном процессе, протекающем в самом начале беременности — имплантации клетки.
Это процесс, когда плодное яйцо прикрепляется к матке, именно с него начинается полноценный процесс беременности. Появляются первые признаки зарождения новой жизни.
Нужно знать об этом явлении основные моменты, ведь оно является одним из самых критических моментов в вынашивании ребенка. Мы рассмотрим сроки, ощущения и признаки имплантации.
Что такое имплантация?
Имплантация – это необычное явление, в ходе которого оплодотворенная яйцеклетка, именуемая эмбрионом, внедряется в стенку матки. Происходит постепенное соединение слизистой матки и эмбриона.
Этот период является важным, ведь как раз в нем проверяется совместимость двух организмов и возможность женщины выносить ребенка с таким набором генов.
Если есть генетические нарушения, то организм отторгает клетку и происходит выкидыш на ранней стадии.
Существует несколько последовательных явлений, которые происходят в организме женщины после попадания сперматозоидов.
- Первым делом происходит встреча и слияние яйцеклетки и сперматозоида. С этого момента яйцеклетка покрывается мембраной — защитной пленкой, чтобы больше другие мужские клетки в нее не проникли. В такой защитной пленке клетка находится до попадания в матку.
- Внутри яйца образуется зигота, которая начинает активно делиться на множество более мелких клеточек. Плодное яйцо в защите продвигается по маточным трубам с помощью сокращений мышц.
- Как только плодное яйцо проникло в полость матки, защитная пленка сходит. В это время на поверхности плодного яйца образуется трофобласт, который помогает прикрепиться клетке к поверхности матки.
- Если образовавшаяся мембрана вокруг яйца слишком плотная и жесткая, процесс имплантации может прерваться. В этот момент женский организм проводит отбор и не допускает прикрепления клетки с серьезными патологиями, которые можно определить на этом этапе.
Рассмотрев сам процесс, далее отметим, сколько дней плодное яйцо прикрепляется к матке, через сколько это наступает, каковы симптомы и почему иногда процесс заканчивается выкидышем?
Женский организм уникален, и нет каких-то обязательных правил и положений, которым он должен следовать. Это значит, что точно определить, через сколько плодное яйцо прикрепляется к матке, нельзя, равно как и вычислить, когда был факт оплодотворения. Медицина выделяет два вида прикрепления в зависимости от времени.
- Ранняя имплантация, это когда плодное яйцо прикрепляется к матке через 6-7 дней после овуляции. Получается, оплодотворенная яйцеклетка передвигается по женскому организму еще примерно неделю, после чего, пройдя по маточным трубам, попадает в матку, и там начинается прикрепление.
- Поздняя имплантация является более длительным процессом, который занимает до 10 дней после овуляции. Она встречается при ЭКО, у женщин в возрасте после 40 лет, когда эндометрий матки толстый.
Сколько прикрепляется плодное яйцо к матке? По длительности процесс занимает примерно 48 часов. Он сопровождается некоторыми симптомами, которые мы рассмотрим далее. В целом этот процесс не сильно заметен женщине.
Факторы, влияющие на длительность имплантационного периода
Существует целый ряд факторов, которые влияют на то, как долго клетка будет перемещаться в организме до имплантации. Приведем некоторые из них, которые определяют, когда плодное яйцо прикрепляется к матке:
- Совместимость мужской и женской клетки, которые предопределяют силу оплодотворенной яйцеклетки. Если она сильная, то пройдет через маточные трубы с легкостью, если же нет — может погибнуть.
- Если зачатие происходит естественно (не ЭКО, заморозка), то количество шансов на быструю и удачную имплантацию повышается в разы.
- Толщина и эластичность слизистой матки оказывают влияние на прикрепление яйца. У женщин после 40 появляется предрасположенность к утолщению эндометрия. Это может возникать и в молодом возрасте, являясь причиной неудачных попыток забеременеть.
- Важно внедрение принципиально нового генетического материала, тогда низка вероятность того, что женский организм его отторгнет. Именно поэтому не рекомендуется зачатие ребенка родственниками, путь даже дальними.
Симптоматика
В большинстве случаев женщины прислушиваются к своему организму и пытаются почувствовать симптомы, когда плодное яйцо прикрепляется к матке. Возможно ли это? Некоторые специалисты говорят, что это невозможно, ведь все происходит на уровне клеток и не может доставлять дискомфорт женщине. На самом деле практика и многие врачи говорят, что это не так.
- Появляются тянущие боли внизу живота, которые могут напоминать боли перед менструациями или в период овуляции.
- Наблюдаются выделения, они являются мажущими и скудными, в них есть небольшие примеси крови.
- Незначительное повышение температуры тела, как общей, так и базальной. После того как эмбрион успешно прикрепился, повышенная температура может сохраняться на протяжении всего первого триместра. Повышение в данном случае незначительно — около 37 градусов.
- Если женщина регулярно измеряет базальную температуру, она заметит западание. Это понижение уровня температуры примерно на 1,5 градуса. После начнется постепенный рост, который будет как раз свидетельствовать о беременности.
- Металлический привкус во рту и появление тошноты без рвотных рефлексов. Они не являются явно выраженными, поэтому могут быть просто не замечены женщиной.
Резкие боли, ухудшение состояния, кровотечения, потеря сознания, головокружения и другие признаки являются симптомами тревожных явлений. Нужно немедленно обратиться к врачу, в противном случае здоровью женщины будет нанесен серьезный ущерб.
Выделения при имплантации
Важно заметить такие выделения — крови в них должно быть совсем немного. Если ее много, это говорит об отклонениях, нужно немедленно обратиться к врачу. Все дискомфортные ощущения не должны сильно тревожить будущую маму, они легкие и долго не длятся.
Сильные выделения и длительные боли говорят об угрозе выкидыша и образовании патологий, поэтому необходимо проконсультироваться с гинекологом. По природе своей имплантационные выделения похожи на естественные, которые выделяются в овуляции и в течение цикла. Они прозрачные, могут иметь легкий кремовый, желтоватый оттенок. Единственное отличие — капелька крови.
Почему имплантация иногда не удается?
Бывают случаи невозможности имплантации. Почему плодное яйцо не прикрепляется к матке? Разберем несколько факторов, влияющих на этот процесс:
- Большая толщина и плотность защитного покрова плодного яйца. Ранее мы разбирали процесс имплантации, в котором говорили, что если мембрана слишком толстая — прикрепление будет невозможно.
- Отклонения и нарушения в генетическом наборе, развитии бластоцисты (начальный этап развития человека), то есть той маленькой клетки, которая начала делиться.
- Повреждение или заболевание слизистой матки, которая не способна принимать эмбрион.
- Маленькое количество гормонов, зачастую это прогестерон, который создает условия для успешного прикрепления плодного яйца.
- Невысокий уровень питания тканей матки, которого недостаточно для развития плода.
Будущих мам часто волнует вопрос, к какой стенке матки прикрепляется плодное яйцо? Как показывает практика, в большинстве случаев эмбрион прикрепляется к задней стенке матки. Она является ближней к позвоночнику будущей мамы. Акушеры отмечают, что это наиболее удобное место прикрепления для родов.
В месте прикрепления яйцеклетка начинает расти, развиваться, переходить в другой этап жизни. Расположение может и меняться, но уже только на 3 триместре, по мере роста матки. Самостоятельно определить, где прикрепился эмбрион, нельзя. Отзывы женщин показывают, что если клетка прикрепилась к задней стенке — шевеления плода будут чувствоваться сильнее.
Прикрепление к передней стенке не является отклонением, это нормальное явление, просто более редкое. В таком случае ребенок будет расположен со стороны живота, а не позвоночника.
Прикрепление к дну матки
Ситуация, когда плодное яйцо прикрепилось на дне матки, является наиболее правильным с физиологической точки зрения. Это расположение создает эмбриону все условия для благоприятного развития, делает риск выкидыша минимальным.
При этом многие женщины утверждают, что при прикреплении яйца к дну матки быстрее и сильнее растет живот. Обратим ваше внимание, что это не более чем миф. Расположение эмбриона никак не влияет на рост живота.
Тем более в процессе беременности ребенок еще несколько раз может поменять свое местоположение.
Источник: https://FB.ru/article/413914/kogda-plodnoe-yaytso-prikreplyaetsya-k-matke-priznaki-oschuscheniya-i-sroki
Когда видно плодное яйцо на УЗИ?
Вопрос о том, когда на УЗИ видно плодное яйцо, волнует каждую женщину. Особенно этим озабоченны пары, которые хотят поскорее зачать малыша.
Поэтому ответ, через сколько дней и на какой неделе можно определить беременность, важен для многих. Но хотя в это период сомнений и сильно испытывается нервную систему, не стоит идти на УЗИ раньше времени.
Даже если тест на беременность положителен, если сделать ультразвук слишком рано, окажется, что на УЗИ не видно плодного яйца.
Анализы крови и мочи
Беременность начинается после того, как яйцо оплодотворяется и начинает двигаться в сторону матки, чтобы закрепиться на её стенках. Хоть реально оплодотворение произошло, в это время нельзя сказать с уверенностью, беременна женщина или нет.
Поставить диагноз можно не раньше, чем яйцо закрепится на стенках матки и его клетки начнут выделять гормон ХГЧ, который можно будет обнаружить в крови или моче.
Другими словами, тест на беременность будет положительным только после оплодотворения яйцеклетки и имплантации яиц в матку.
Существует две разновидности тестов на беременность, способные определить на раннем сроке, нужно ли ожидать прибавления в семье или нет:
- анализ мочи;
- анализ крови.
Анализ мочи – это самый легкий тест, который можно сделать дома самостоятельно. Для этого надо окунуть в мочу специальные тест-полоски. Через несколько минут индикатор на полоске покажет, беременна женщина или нет. Стоит заметить, что тест-полоска ориентирована на определение наличия гормона ХГЧ. Если реагенты его обнаружат, это будет заметно.
Какие существуют анализы крови?1706
Недостатком этого теста является низкая чувствительность. Это значит, что он не всегда определяет беременность при ее наличии.
Хоть производители и уверяют, что он показывает точные результаты даже за два дня до предполагаемых месячных, на самом деле тест мочи, сделанный в это время, выявляет беременность только в 25% случаев. За день до ожидаемых месячных, полоски показывают беременность в 40% случаев.
Вот почему наилучшим временем для анализа будет конец третей недели после зачатия или седьмой день после задержки месячных при 28-ми дневном цикле. Для большей уверенности тест можно повторить спустя несколько дней.
Для определения беременности исследование крови более эффективный метод, чем анализ мочи.
Недостатком анализа крови является, что нужно дольше ждать результатов, поскольку сначала надо дойти до врача, а затем подождать, когда данные будут готовы.
Анализ крови на беременность может подтвердить зачатие через 3-4 дня после имплантации или через 9-10 дней после овуляции. То есть, еще до месячных. Но достоверным считается результат, когда анализ крови был сдан на 6-7 день после задержки.
Всегда ли достоверны тесты на беременность
Нередки ситуации, когда тесты на беременность как крови, так и мочи, бывают ложно-позитивными или ложно-негативными. Это может быть в следующих ситуациях:
- Несоблюдение инструкции к тесту.
- Женщина употребляет лекарства, содержащие ХГЧ.
- В моче содержатся белки или кровь, искажающие результаты теста.
- Во время менопаузы.
- Присутствует киста яичника.
- Внематочная (эктопическая) беременность.
- Слишком раннее тестирование.
Кроме того, анализы мочи и крови вполне могут выдать ошибку во время тестирования, если тест просроченный, тестирование провели слишком рано или женщина не выполнила требования инструкции к тесту.
Ложноотрицательный результат возможен и тогда, если женщина много употребляет воды, из-за чего моча оказывается сильно разведена водой.
Это причина, по которой рекомендуют использовать утреннюю мочу для тестирования, которая более концентрированная.
Если тесты крови и мочи выдали положительный результат, необходимо пройти еще несколько обследований, чтобы узнать, действительно ли яйцо смогло оплодотвориться, – и наступила беременность. Прежде всего, это ультразвук. И тут возникают вопросы, что это такое, и когда можно увидеть эмбрион на УЗИ?
При этом возможна ситуация, когда позитивный тест, а на УЗИ не видно эмбриона. Причиной может быть выкидыш, который наступил до наступления месячных, и выделенную им кровь женщина приняла за месячные. Если в этот период был сделан тест, гормон ХГЧ не успел покинуть организм, а потому анализы его обнаружили.
Что такое ультразвук
На ультразвуковом исследовании проводится диагностический тест, использующий ультразвуковые волны для создания изображения плода, плаценты и матки, а также других органов, расположенных в тазовой области. УЗИ позволяет врачу получить ценную информацию о развитии беременности и здоровье ребенка.
Во время теста радиолог с помощью ультразвукового передатчика и приемника направляет высокочастотные звуковые волны через ткани матки, которые отражаются от тканей плода и улавливаются приемником.
Компьютер переводит полученные сигналы в видеоизображение, показывающее формы зародыша, размеры, позицию, движения.
Для исследования сердцебиения плода используется специальная разновидность УЗИ, названная в честь Доплера.
Но до определенного срока УЗИ обнаружить плод неспособно. Если говорить о том, во сколько недель можно определить беременность с помощью ультразвука, то плодное яйцо на УЗИ видно не раньше пятой-шестой недели.
Раньше этого срока на УЗИ еще не видно плодного яйца. До и на шестой неделе виден не эмбрион, а окружающий его желточный мешок, благодаря которому плод развивается.
Стандартный ультразвук проводится между 16-й и 20-й неделями беременности, когда на УЗИ видно эмбрион очень хорошо.
Поскольку все эмбрионы имеют приблизительно одинаковые размеры в первые недели беременности, это позволяет определить гестационный возраст плода и дату зачатия, проводя измерения.
В возрасте от 7 до 13 недель, измерив эмбрион от макушки до крестца можно установить его возраст с точностью до 3-4 дней.
Если беременная имеет большие размеры чем обычно, это может говорить о близнецах или большем числе эмбрионов. На УЗИ это возможно разглядеть.
Стоит заметить, что эти сведения покажет уже гормон ХГЧ. Тогда как в первом триместре его количество каждые два дня возрастает в два раза, в случае многоплодной беременности его показатели будут выше во столько раз, сколько женщина ждет малышей.
В дальнейшем, ультразвук поможет определить точное количество плодов. Также врачи говорят сделать УЗИ на раннем сроке, если есть подозрение на внематочную беременность или смерть плода.
Слишком слабый рост гормона ХГЧ также подтверждает такую вероятность.
Какие обнаруживает УЗИ
Если у женщины диабет, повышенное давление и другие заболевания, являющиеся осложнениями для беременности, врачи назначают делать УЗИ чаще, чем обычно. Это позволит вовремя заметить патологии в развитии ребенка и состоянии матери, принять меры.
УЗИ помогает своевременно обнаружить аномалии плода, для чего изучаются его параметры, которые должны соответствовать возрастным нормам.
Если виден эмбрион, но имеются подозрения, что он не растет или не развивается правильно, может быть назначен ультразвук или серия УЗИ для измерения некоторых частей тела эмбриона. Это оценивается по тому, как выглядит плодное яйцо.
Если ребенок больше или меньше ожидаемых размеров, велика вероятность того, что дата зачатия установлена неправильно. В этом случае измерения радиолога помогают определить её более точно. Иногда несоответствие размеров на УЗИ эмбриона может указывать на генетические аномалии, такие как синдром Дауна.
Во втором триместре ультразвук на сонограмме позволяет увидеть сердцебиение эмбриончика. Чтобы убедиться в том, что сердце плода здорово, радиолог замеряет количество сердцебиений в минуту.
Что показывает при беременности общий анализ крови?32324
Также радиолог определяет местонахождения плаценты. Если она покрывает шейку матки, это может вызвать кровотечения в более поздние сроки беременности.
Когда радиолог выявляет это на УЗИ, назначается повторное сканирование в третьем триместре, чтобы понять, покрывает ли еще плацента шейку матки, и если это так, предпринять определенные меры. Но это не значит, что в ожидании второго УЗИ нужно паниковать.
Только небольшое количество плацент, покрывающих шейку матки, до 20-й недели сохраняют такое же положение до родов.
Если сонограмма показывает, что у беременной слишком много амниотической жидкости, это может быть проблемой. В этом случае необходимо углубленное исследование причин этого явления. При этом возможно придется пройти несколько УЗИ и других обследований.
Часто родителей интересует вопрос, можно ли определить пол будущего ребенка. При благоприятных обстоятельствах, на 18-ой неделе можно узнать, будет это мальчик или девочка. Но если в момент ультразвука малыш повернется спиной или не в ту сторону, определить пол не получится.
новоепопулярноеобсуждаемое
Источник: https://1diagnos.ru/issledovaniya-pri-beremennosti/uzi/plodnoe-yaytso.html
Шеечная беременность
- Классификация
- Причины
- Симптомы
- Диагностика
- Лечение
- Последствия
Одной из редких разновидностей внематочной беременности является шеечная, когда оплодотворенная яйцеклетка имплантируется (внедряется) не в слизистую оболочку тела матки, а в ее шейку.
Впервые развитие беременности в канале шейки описал в 1881 году И.М. Львов. Несмотря на появление за последние десятилетия новых методик диагностики и лечения такого крайне тяжелого состояния, каким является шеечная беременность, данная проблема остается особенно актуальной.
опасноТяжесть данного состояния определяется тем, что нисходящие маточные артерии (а их диаметр 3 мм) доходят до шейки матки, и при развитии внематочной беременности данного типа велика вероятность их повреждения и, следовательно, сильнейшего кровотечения.
Частота рассматриваемой патологии колеблется в пределах 0,01-0,03% от всех внематочных беременностей.
Классификация
Существующая классификация основана на месте прикрепления эмбриона. Так выделяют:
- чисто шеечную беременность (эмбрион не выходит за пределы шейки);
- шеечно-перешеечная (перешейком называется переход собственно тела матки в её шейку).
Причины
Причины возникновения связаны чаще всего с различной патологией матки, когда возникают препятствия для имплантации (внедрения) оплодотворенной яйцеклетки в эндометрий (внутренний слой) и оно спускается ниже, прикрепляясь к стенкам цервикального канала. К ним можно отнести:
- предшествующий медицинский аборт;
- перенесенная ранее операция кесарева сечения;
- миома матки;
- синдром Ашермана (образование спаек в полости матки);
- ЭКО-индуцированная беременность;
- различные врожденные аномалии развития матки.
Симптомы
важноДанная патология коварна тем, что часто никак себя не проявляет.
Однако в ряде случаев возможно появление следующих симптомов:
- Женщина может ощущать себя «беременной»: появляется тошнота, изменяются вкусовые пристрастия, случаются перепады настроения, набухают молочные железы и т.д.
- Постоянные кровомазания или периодические выделения кровянистого характера из половых путей, вплоть до обильного кровотечения, представляющего угрозу для жизни больной. Данные симптомы появляются вследствие расплавления мышечной ткани врастающими ворсинами хориона (хорионом называется наружная оболочка зародыша, которая в норме врастет в эндометрий, а в нашем случае — в ткань шейки матки).
- Могут появиться жалобы на частые мочеиспускания и другие признаки нарушенной функции мочевого пузыря из-за резкого увеличения размеров шейки матки.
Диагностика
- Клиническое обследование:
- при осмотре в зеркалах может обратить на себя внимание увеличение шейки в размерах, но при шеечно-перешеечной беременности и при расположении плодного яйца в верхней половине цервикального канала она зрительно может быть не изменена;
- при двуручном гинекологическом исследовании тело матки не соответствует предполагаемому сроку беременности и его размеры меньше шейки, которая имеет мягковатую консистенцию и резко отклонена к лону или крестцу.
- Лабораторные методы исследования:
- Инструментальное обследование:
- Трансвагинальное УЗИ – основной метод диагностики. При этом выявляются следующие эхо-признаки:
- отсутствие эмбриона в полости матки;
- матка имеет вид песочных часов;
- тело матки увеличено вширь, цервикальный канал расширен;
- плодное яйцо определяется в просвете канала шейки матки ниже уровня расположения внутреннего зева;
- ткань плодного яйца не смещается относительно стенок цервикального канала при давлении датчиком на шейку.
- МРТ (магнитно-резонансная томография) – определяется округлое образование с повышенным количеством сосудов, врастающее в стенку шейки.
Лечение
Выделяют несколько методов лечения:
- Радикальное лечение – гистерэктомия (удаление матки);
- Органосохраняющие методики:
- консервативное лечение;
- хирургическое вмешательство (минимально инвазивное).
опасноНаличие развивающейся шеечной беременности является жизнеугрожающим состоянием в связи с риском развития крайне сильного кровотечения.
Ввиду этого длительное время экстренная гистерэктомия считалась основным, и, в принципе, единственным методом лечения. При этом смертность пациенток достигала 40-50%. На современном этапе ситуация изменилась: появились новые методы, благодаря которым выросли шансы произвести органосохраняющую операцию, что особенно актуально для нерожавших женщин.
В настоящее время применяют следующие методы консервативного лечения:
- мероприятия, направленные на снижение кровоснабжения шейки матки;
- механическая остановка кровотечения;
- химиотерапия (введение препаратов токсичных для эмбриона и тормозящих деление клеток).
Современные органосохраняющие операции включают:
- наложение шва на шейку матки;
- гистероскопическая резекция ложа плодного яйца;
- эмболизация (закупорка) маточных артерий;
- лазерное разрушение хориального ложа (места врастания хориона).
В клинике имени И.М. Сеченова разработали способ малоинвазивного хирургического лечения, который показал хорошие результаты. Данный способ включает:
- временное клипирование подвздошных артерий (приводит к прекращению поступления крови к матке для уменьшения кровопотери);
- вакуум-аспирация плодного яйца из шейки;
- тампонада шейки матки катетером Фолея (раздувается баллончик, механически давящий на стенки, что приводит к остановке кровотечения).
важноОднако все эти методы хирургического вмешательства несовершенны и могут привести к тяжелым осложнениям, таким как кровотечение из сосудов ложа плодного яйца или прогрессированию шеечной беременности.
Последствия
Если говорить о последствиях, то всё упирается в два переплетающихся между собой фактора:
- стадия, на которой было выявлено заболевание;
- метод лечения.
Что касается первого пункта, то ситуация такова: чем раньше выявлено заболевание, тем лучше прогноз. Если прогрессирующая шеечная беременность уже привела к началу сильнейшего кровотечения, то о благополучном прогнозе говорить не приходится. В таких случаях чаще всего прибегают к радикальному методу лечения – удалению причинного органа. Впоследствии это приводит к невозможности иметь детей.
Если же заболевание выявлено рано и есть время на приготовления, то возможно проведение одной из более щадящих методик (о них было сказано выше). Но стоит сказать о том, что для этого должен быть как врач, обученный и имеющий опыт проведения данных способов лечения, так и соответствующее оборудование в медицинском центре.
Источник: https://baby-calendar.ru/mama/vnematochnaya-beremennost/sheechnaya/
Имплантация плодного яйца в матку
Встреча двух маленьких клеток сперматозоида и яйцеклетки — вот с чего начинается жизнь.
Во врачебной практике не зря отсчитывается начало беременности с начал цикла, поскольку именно в этот период начинают формироваться клетки, которые в будущем пройдут непростой путь и дадут жизнь новому человеку.
Как правило на 20-й день цикла становится понятно случилась беременность или нет.
Однако, самое главное происходит, когда оплодотворенная яйцеклетка движется к телу матки для дальнейшей имплантации. В данной статье пойдет речь о том, как это происходит и каковы симптомы имплантации плодного яйца.
Процессы после оплодотворения яйцеклетки
Крошечная яйцеклетка начинает свой путь от яичника и медленно двигается к просвету маточной трубы, где происходит встреча с самым активным и сильным сперматозоидом.
Сразу после оплодотворения яйцеклетки, в организме женщины запускаются процессы, которые помогут ей продвинуться в тело матки. Несмотря на то, что физически это никак не ощущается, в процессе своего пути клетка неустанно делится.
Этапы развития эмбриона
В медицине каждый этап роста оплодотворенной яйцеклетки имеет свое определенное название.
По прошествии недели яйцеклетка продвигается в тело матки, где прикрепляется к передней либо задней стенке.
Этот процесс происходит не сразу, занимает до двух дней. К этому моменту, если беременность незапланированная и женщина не отслеживает свой цикл, организм практически никак не проявляет себя.
Особенности имплантации плодного яйца
Для удачной имплантации плодного яйца имеются свои особенности, так, важно состояние эндометрия (норма должна быть в пределах 13 мм) и уровня гормонов.
При недостаточной толщине эндометрия о беременности не может быть и речи, а гормон прогестерон должен быть на порядок выше нормы.
Строение эндометрия
Обратите внимание!
Прогестерон позволяет развиваться беременности, блокирует наступление менструации, поэтому важно отслеживать его показатели, как в период планирования, так и в момент наступления беременности. Если он ниже нормы, то беременность может не случиться.
Норма прогестерона для успешной имплантации
Процесс имплантации может не произойти по следующим причинам:
- У оплодотворенной яйцеклетки слишком толстая оболочка;
- Генетические нарушения в строении бластоцисты;
- Недостаточная толщина внутреннего слоя матки;
- Недостаток прогестерона;
- Нехватка питательных компонентов в тканях матки.
Как и когда происходит имплантация
Основные неощутимые признаки имплантации плодного яйца, это когда бластула выделяет особый фермент, который растворяет основной слой эндометрия матки и зародыш прикрепляется. Далее формируется хорион, который стимулирует рост ворсинок, укрепляющих положение зародыша в матке.
Схема плодного яйца прикрепленного к стенке матки
Успешная имплантация стимулирует целый ряд различных изменений в организме женщины, запускаются процессы образования новых клеток, которые станут основой для закладки органов и всех тканей плода. На этом этапе зародыш будет окружен тремя оболочками: ворсинчатой, водной и децидуальной.
Симптомы успешной имплантации
Подтвердить наличие беременности можно с помощью анализа на ХГЧ, который начинает вырабатываться организмом матери.
Анализ ХГЧ подтверждающий беременность
Его показатели растут с геометрической прогрессией день ото дня, что свидетельствует об удавшейся беременности.
Если женщина отслеживает базальную температуру, то она может заметить симптомы имплантации плодного яйца, например, устремление кривой вверх на графике до отметки 37 градусов, при имплантации отмечается падение на 0,2-0,3 единицы и затем кривая снова устремляется вверх.
На такой отметке она и держится на протяжении первого триместра. Далее результаты замеров уже не такие информативные и многие перестают мерить температуру.
По характеру и перепадам настроения у женщины можно судить об удачной имплантации, когда оплодотворенная яйцеклетка прикрепляется возможны всплески чувствительности, слезливости. Эти эмоции возникают сами по себе и проходят также неожиданно, как появились.
Выявление беременности по графику базальной температуры
Некоторые беременные отмечают изменение вкусовых ощущений, металлический привкус во рту, тошноту и слабость.
Примерно на пятый день после овуляции, успешного оплодотворения женщина может заметить небольшие слизистые и кровянистые выделения при имплантации плодного яйца. Количество их не превышает пары капель.
Связано это с тем, что при прикреплении повреждаются мелкие кровяные сосуды, расположенные в теле матки. Возможно ощущение покалывания или тянущих болей, локализующихся в месте имплантации зародыша.
Не стоит впадать в отчаяние, если никаких выделений не наблюдается вовсе. Это вполне нормально и существует мнение ряда ученых, что имплантация и вовсе не должна сопровождаться какими-либо выделениями вообще.
Важно!
Не стоит путать выделения, связанные с беременностью от наличия гинекологических или мочеполовых заболеваний. Если выделения обильные, сопровождаются постоянными болями, то это говорит о необходимости обратиться к врачу.
Заключение
В заключении стоит отметить, что в данной статье отражены ответы на часто возникающие вопросы, что такое имплантация плодного яйца, на какой день признаки появляются и есть ли они вообще.
Чаще всего случается, что этот этап проходит незаметно ввиду постоянной занятости и повседневной суеты.
Основное внимание беременности уделяется при наличии задержки и отсутствия менструального цикла, когда процесс имплантации плодного яйца уже пройден и имеется сердцебиение.
При подготовке к беременности вышеперечисленные симптомы и факторы, влияющие на успешную имплантацию, помогут женщине более трепетно относиться к своему здоровью.
: Путешествие яйцеклетки
Источник: https://detieco.ru/encyclopedia/beremennost/implantaciya-plodnogo-yayca-v-matku/
Когда на УЗИ можно увидеть плодное яйцо в матке и почему его бывает не видно
Когда на УЗИ становится видно плодное яйцо в матке, беременность считается подтвержденной. Но при этом нельзя гарантировать, что она будет протекать нормально. Требуется сделать еще несколько исследований — по одному в каждом триместре.
Описание плодного яйца
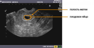
Плодное яйцо — это защитные оболочки, окружающие зародыш. Они прикрепляются к стенке матки, образуя с ней сосудистую связь. Через сосуды растущий зародыш получает питание из материнской крови. Плодное яйцо на УЗИ выглядит, как округлое образование темно-серого цвета.
Оно становится видным, когда достигает размера 5 мм. Это соответствует 4 неделям беременности. Эмбрион внутри яйца пока не виден. Его можно рассмотреть после 35-го дня, выглядит он как темная полоска. Части его тела можно увидеть на 12 неделе беременности — в этот срок обычно и проводят первое обследование.
Методики исследования
УЗИ на ранних сроках беременности предпочтительнее делать трансвагинальным способом. Датчик вводится через влагалище, проходит до шейки матки.
С помощью этого способа беременность точно подтверждается в сроке 28 дней. Второй метод — трансабдоминальный. Осмотр проводят через переднюю брюшную стенку.
Таким способом пользуются, когда плод уже достаточно большой, его хорошо видно при наружном осмотре.
При любом виде исследования врач осматривает маточные трубы и яичники. В яичниках можно увидеть желтое тело. Оно образуется на месте лопнувшего фолликула, из которого вышла яйцеклетка. Если произошло оплодотворение, желтое тело вырабатывает гормон прогестерон, который обеспечивает сохранность беременности.
К просмотру видеосюжет про беременность на раннем этапе, рассказывает врач-гинеколог:
Сроки проведения обследования
Первое УЗИ назначают, когда женщина приходит в женскую консультацию для постановки на учет. Обычно это срок 10-12 недель, при наличии положительного ХГЧ-теста. Тогда в матке уже можно обнаружить плодное яйцо вместе с эмбрионом, выявить патологии развития. Сделать УЗИ можно и раньше, оно обнаружит зародыш на 14-20 день после задержки менструации.
Второе плановое обследование делают на 20-22 неделе. Здесь можно выявить пороки развития плода. Последний осмотр проводят за 14-21 день до родов, чтобы определить положение плода, готовность женщины к родам.
Внеплановые исследования назначают женщинам с предполагаемыми или имеющимися патологиями развития плода. УЗИ назначают после ЭКО, чтобы определить, прижились ли эмбрионы. После переноса эмбрионов обследование проводят через 21 день.
Почему на УЗИ не видно зародыш
Иногда случается так, что УЗИ не показывает наличие плодного яйца в полости матки. При этом тест на беременность положительный. Причин этому может быть несколько.
- Слишком раннее обследование. Даже современный аппарат не может определить беременность через несколько дней после зачатия. Эмбрион в это время имеет микроскопические размеры. Нельзя увидеть оплодотворенную яйцеклетку, пока она продвигается в полость матки.
- Внематочная беременность. Случается так, что яйцеклетка встречается со сперматозоидом, находясь в маточной трубе. Тогда прикрепление плодного яйца произойдет там, врач не сможет найти его внутри полости матки. Поэтому при УЗИ осматривают не только матку, но и трубы с яичниками.
- Технические погрешности. Обычно возникают, если осмотр проводят на старом или неисправном аппарате. Также ошибиться может специалист при недостаточной квалификации или внимательности. Такие ошибки наблюдаются на ранних сроках, когда зародыш еще очень маленький.
Если при первом осмотре у врача возникают какие-то сомнения, он рекомендует сделать повторную процедуру через 2-3 недели.
Размеры плодного яйца по неделям
По размерам зародыша определяют срок беременности с точностью до 2-3 дней. До полутора месяцев дату родов определяют по ДПП — диаметру плодного яйца. Диаметр измеряют в самой широкой части по трем разным плоскостям. Для вычисления даты родов есть специальная таблица.
Такой критерий, как СВД — средний внутренний диаметр — определяет дату родов не очень точно. После 6 недели, когда на УЗИ появляется эмбрион, срок определяют по КТР — копчико-теменной размер. Изображение эмбриона измеряют продольно. Размеры с 6 по 8 недели:
При проведении УЗИ специалист оценивает состояние плода, определяет пороки развития. Синдром Дауна можно определить только в 11-12 недель. После прохождения этого рубежа эмбрион быстро развивается, формируются все внутренние органы, конечности.
На видео можно наблюдать плодное яйцо в матке:
Отклонения
При УЗИ вместилища плода специалист выявляет аномалии развития, которые могут привести к прерыванию беременности.
- Аномалия прикрепления. Вместилище плода должно прикрепиться к дну матки или к середине стенки. Если оно прикрепляется к нижней части, высок риск выкидыша.
- Изменение формы плодного вместилища. Оно должно иметь овальную форму. Вытягивание плодных оболочек говорит о высоком маточном тонусе, это тоже риск выкидыша.
- Внутриутробная инфекция. При инфицировании околоплодных вод яйцо становится круглым, внутри него на УЗИ определяются темные пятна.
- Замершая беременность. Это прекращение развития эмбриона. Определяют по отсутствию динамики роста, сердцебиения, увеличения плодных оболочек.
- Анэмбриония. Редкое состояние, при котором УЗИ определяет внутри матки вместилище плода, но эмбриона там нет.
- Пузырный занос. Развивается после воспалительных заболеваний эндометрия. Внутри плодных оболочек формируется доброкачественная опухоль, из-за чего зародыш погибает.
- Самопроизвольный аборт. УЗИ выявляет внутри полости матки остатки плодного яйца, сгустки крови.
Определить бесплодие УЗИ может только косвенно — если обнаруживается непроходимость маточных труб, аномалии развития матки.
На видео замершая беременность:
УЗИ определяет беременность достоверно с 28 дня, еще через 7 дней можно оценивать состояние зародыша. Процедуру выполняют трансвагинальным и трансабдоминальным способом. С помощью ультразвука можно своевременно выявить тяжелые аномалии развития плода.
Оставляйте комментарии к статье, делитесь своим опытом прохождения обследования. Всего доброго.
Источник: https://uziman.ru/pri-beremennosti/kogda-na-uzi-vidno-plodnoe-yajco-v-matke
Поделиться:




