Когда делают ангиографию
Эта процедура проводится для определения источника кровотечения, а также при подозрении на наличие опухолей в головном мозге, сужений, тромбов или аневризм сосудов, которые могут вызывать нарушения в мозговом кровообращении. Ангиография позволяет обнаружить чрезмерную извитость сосудов или аномалии в их структуре.
Врачи отмечают, что ангиография сосудов мозга является важным инструментом в диагностике различных заболеваний. Этот метод позволяет визуализировать кровеносные сосуды, выявляя аномалии, такие как аневризмы, стенозы и тромбы. Специалисты подчеркивают, что ранняя диагностика этих состояний может значительно повысить шансы на успешное лечение и предотвратить серьезные осложнения, включая инсульт.
Кроме того, врачи указывают на минимальную инвазивность процедуры, что делает её безопасной для большинства пациентов. Однако они также предостерегают о необходимости предварительной оценки состояния здоровья, так как в некоторых случаях ангиография может быть противопоказана. В целом, специалисты считают, что ангиография является незаменимым методом в арсенале нейрологии и сосудистой хирургии, способствующим более точной и быстрой диагностике.
https://youtube.com/watch?v=EQwMcZlwe28
Показания для проведения
- Жалобы на внезапные головные боли и головокружение,
- Регулярная или периодическая тошнота,
- Обморочные состояния,
- Вегето-сосудистая дистония,
- Необходимость обследования после черепно-мозговых травм,
- Жалобы на боли в шейной области,
- Наличие ишемической болезни сердца,
- Перенесенный инсульт или микроинсульт.
С помощью данной процедуры можно не только выявить сосудистые нарушения, но и оценить их степень и распространенность.
Этот метод диагностики позволяет проанализировать венозный отток крови и состояние кровообращения в обходных сосудах (коллатералях). Это важно для профилактики, диагностики и лечения множества заболеваний, связанных с нарушениями мозгового кровообращения.
| Тип ангиографии | Преимущества | Недостатки |
|---|---|---|
| Церебральная ангиография (конвенционная) | Высокая разрешающая способность, детальная визуализация сосудов | Инвазивная процедура, риск осложнений (кровотечение, инсульт), использование контрастного вещества |
| КТ-ангиография | Быстрая, менее инвазивная, чем конвенционная ангиография, хорошая визуализация крупных сосудов | Меньшая разрешающая способность, чем конвенционная ангиография, артефакты от движения |
| МРТ-ангиография | Неинвазивная, без использования ионизирующего излучения, хорошая визуализация сосудов | Дольше по времени, чем КТ-ангиография, чувствительна к артефактам движения, может быть неэффективна при наличии металлических имплантатов |
Противопоказания к процедуре
Как и любая медицинская процедура, ангиография мозга имеет свои противопоказания. Они могут быть связаны как с самой процедурой, так и с контрастным веществом, которое вводится в организм. В качестве контраста используются йодсодержащие соединения. Объем вводимого вещества варьируется в зависимости от масштабов обследования и может составлять от 5 до 10 мл.
Церебральная ангиография не проводится в следующих случаях:
- наличие аллергии на йодсодержащие контрастные препараты,
- индивидуальная непереносимость,
- острая или хроническая почечная недостаточность, препятствующая использованию контрастного вещества,
- обострение хронических заболеваний,
- беременность или период лактации,
- заболевания, связанные с нарушением свертываемости крови,
- инфаркт миокарда,
- возраст до 2 лет,
- психические расстройства.
Проверка сосудов мозга с помощью ангиографии вызывает у людей разные мнения. Многие пациенты отмечают, что процедура позволяет получить четкое представление о состоянии сосудистой системы, что особенно важно при наличии симптомов, таких как головные боли или головокружения. Некоторые считают, что ангиография помогает выявить серьезные заболевания, такие как аневризмы или стенозы, на ранних стадиях, что значительно увеличивает шансы на успешное лечение.
Однако не все отзывы положительные. Некоторые пациенты выражают беспокойство по поводу инвазивности процедуры и возможных рисков, таких как аллергические реакции на контрастное вещество. Также встречаются мнения о том, что подготовка к исследованию может быть неудобной и требовать значительных временных затрат. В целом, ангиография воспринимается как важный инструмент в диагностике, но, как и любая медицинская процедура, требует внимательного подхода и обсуждения с врачом.
https://youtube.com/watch?v=HacvolbBFPY
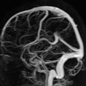
Виды церебральной ангиографии
В зависимости от масштаба исследования ангиография может быть обзорной или селективной. При обзорной ангиографии контрастное вещество вводится в кровеносную систему через крупную артерию, которая обеспечивает кровоснабжение головного мозга. Это позволяет контрасту распространяться по более мелким сосудам, что делает их визуализацию возможной. Селективная ангиография, в свою очередь, предполагает более точную диагностику, при которой контраст вводится непосредственно в артерию, питающую конкретный участок мозга.
Для диагностики используется специальный стенд.
Существует также различие между прямой (каротидной и вертебральной) и непрямой церебральной ангиографией. Каротидная ангиография включает введение контраста в сонную артерию, тогда как при вертебральной ангиографии контраст вводится через позвоночную артерию. Непрямой метод подразумевает доступ к сонной или позвоночной артерии через другой крупный сосуд, например, бедренную или плечевая артерию. В этом случае используется длинный катетер, через который подается контрастное вещество.
По способу получения данных ангиография сосудов головного мозга может быть традиционной рентгеновской, компьютерной (основанной на рентгеновских снимках) и магниторезонансной.
Как проходит обследование
Важные условия
- Асептические условия для выполнения процедуры,
- Наличие команды специалистов: рентгенолог, анестезиолог, кардиореаниматолог.
Процесс обследования пациента занимает около 30-60 минут. Данная процедура является инвазивной, так как включает в себя прокол для доступа к артерии, куда вводится специальный катетер. Поэтому ангиография головного мозга часто сочетается с другими медицинскими вмешательствами, которые осуществляются через крупные кровеносные сосуды, например, с удалением аневризмы.
Чтобы избежать осложнений, связанных с инфекцией в месте катетеризации, кожу обрабатывают антисептическим раствором. Затем проводится местное обезболивание. Прокол сосуда осуществляется с помощью специальной иглы. Через это отверстие вводится гибкий катетер для введения контрастного вещества. Обычно пункция выполняется в тех местах, которые обеспечивают легкий доступ к необходимым сосудам.
С помощью специального катетера в кровеносное русло вводится контрастное вещество. После этого выполняется серия рентгеновских снимков церебральных сосудов.
Эти снимки демонстрируют различные фазы кровообращения: капиллярную, артериальную и венозную. Современные медицинские технологии позволяют получать послойные изображения, которые затем обрабатываются с помощью специализированных компьютерных программ для создания трехмерной модели.
По завершении съемки катетер удаляется, и кровотечение останавливается. Далее происходит анализ полученных данных. Расшифровкой и уточнением диагноза занимаются сосудистый хирург и рентгенолог.
После процедуры ангиографии пациент должен оставаться под наблюдением медицинского персонала в течение некоторого времени.
https://youtube.com/watch?v=m70MOi3voMY
Нужна ли специальная подготовка к процедуре
Подготовка к процедуре играет ключевую роль в обеспечении её качества. Взрослые пациенты должны быть информированы о ходе исследования, его целях и возможных последствиях. Лишь после этого они смогут принять обоснованное решение, которое фиксируется в письменной форме. Если церебральная ангиография необходима несовершеннолетнему пациенту, все решения принимаются родителями.
Этапы подготовки
- Уведомление пациента и получение его письменного согласия,
- Применение седативных препаратов накануне процедуры для уменьшения тревожности и напряжения,
- Проведение исследования на голодный желудок (необходимо отказаться от ужина накануне и завтрака в день процедуры).
В случае наличия аллергии на контрастные вещества, но при необходимости выполнения данного обследования, могут быть использованы антиаллергические препараты. Если пациент испытывает сильное волнение, седативные средства могут быть назначены повторно в день процедуры.
Достоинства процедуры
- Возможность создания трехмерной модели,
- Визуализация сосудов, которая помогает врачу выявить тромбы, гематомы и аневризмы,
- Индивидуальный подход к каждому пациенту, что обеспечивает точность диагностики.
Режимы и программы данного обследования могут быть весьма разнообразными, что позволяет выбрать наиболее подходящий вариант для каждого конкретного случая. Исключение ошибок в диагностике дает возможность своевременно и качественно определить проблемные участки в сосудах, а также выяснить причины заболеваний или нарушений в функционировании сосудов головного мозга. Корректная диагностика является основным условием для успешного лечения.
Схожая процедура: реовазография.
Вопрос-ответ
Что лучше МРТ или ангиография?
КТ сосудов (ангиография) с контрастом показывает аневризмы, мальформации, атеросклеротические бляшки. Они видны гораздо лучше, чем на МРТ. МРТ сосудов (МР-ангиография) проводится без контраста и является скрининговым методом, после которого необходимо дополнительное проведение КТ-ангиографии.
Сколько длится ангиография головного мозга?
В среднем продолжительность МР-ангиографии сосудов головного мозга составляет 20-40 минут. В течение часа после исследования врач подготавливает заключение. По полученным снимкам он оценивает топографию и морфологию сосудов, выявляет патологические очаги.
Советы
СОВЕТ №1
Перед проведением ангиографии обязательно проконсультируйтесь с врачом. Обсудите все свои медицинские истории, аллергии и принимаемые лекарства, чтобы избежать возможных осложнений.
СОВЕТ №2
Убедитесь, что вы понимаете процесс ангиографии. Задайте врачу все интересующие вас вопросы о процедуре, ее целях и возможных рисках, чтобы чувствовать себя уверенно и спокойно.
СОВЕТ №3
После процедуры следуйте рекомендациям врача по восстановлению. Это может включать отдых, ограничение физической активности и наблюдение за состоянием в течение нескольких дней, чтобы избежать осложнений.
СОВЕТ №4
Обратите внимание на любые необычные симптомы после ангиографии, такие как сильная боль, отек или покраснение в месте введения катетера. Если что-то вас беспокоит, немедленно обратитесь к врачу.



