Россия, Саратов, им. Чемодурова В.И. улица
Телефон:
+7 (845) 262-07- Показать номер
Пн-пт: 08:00—20:00; сб: 09:00—16:00 по предварительной записи
whatsapp telegram vk email

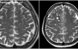
Расширение периваскулярных пространств вирхова робина

Дополнительные методы диагностики

Бывают случаи, когда МРТ не выявляет никаких изменений в головном мозге, но на снимке видны расширенные периваскулярные пространства Вирхова — Робина. Что это означает? Как правило, такой признак не указывает на патологию. Увеличение криблюров врачи рассматривают только в комбинации с другими изменениями, выявленными при МРТ-обследовании.

При необходимости врач может назначить дополнительные исследования:

  • мультиспиральную компьютерную томографию;
  • ангиографию сосудов;
  • допплерографию;
  • исследование ликвора.

Рассмотрим подробнее наиболее распространенные заболевания и состояния, которые могут привести к расширению криблюров.

Периваскулярная зона, ее строение и функции

Нет единой точки зрения, окружают периваскулярные пространства только артерии или также вены. Выявлено, что они продолжаются до уровня капилляров.

Считается, что данная формация участвует в движении ликвора, обеспечивают обмен необходимыми веществами между ликвором и нейронами.

Другой функцией является изоляция внутрисосудистой крови от ткани мозга. Кровь содержит ряд токсических веществ, которые в норме не должны попадать внутрь мозгового субстрата благодаря наличию гематоэнцефалического барьера. Дополнительно токсины абсорбируются внутри периваскулярной области.

Еще одной задачей является иммунная регуляция.

Симптомокомплекс расширения периваскулярных пространств

При ишемии ухудшается кровоснабжение головного мозга. Обычно это является следствием атеросклеротических изменений в сосудах. У больного периодически возникает головокружение, двоение в глазах, расстройства координации движений, нарушения речи и памяти. Из-за изменений в сосудах расширяются и пространства вокруг их стенок.

Пациентам назначают ноотропные препараты (“Пирацетам”, “Церебролизин”, “Актовегин”), а также средства, нормализующие метаболизм в клетках мозга (“Кортексин”, “Цераксон”). При этом очень важно провести этиотропное лечение атеросклероза статинами. Назначают препараты “Ловастатин”,”Аторвастатин”, “Симвастатин”. Такая терапия позволяет устранить причину ишемии.

Периваскулярными пространствами называют жидкость, скапливающуюся вдоль кровеносных сосудов, питающих головной мозг. Другое их название – криблюры. Они есть у каждого человека, но обычно они маленькие и не визуализируются на снимках исследуемого органа.

При нарушении мозгового кровообращения криблюры расширяются. Поскольку они заполнены ликвором –спинно-мозговой жидкостью. В них содержится большое количество атомов водорода. И в этой области сигнал отклика будет высокой интенсивности, что видно на снимках как пятно белого цвета.

Все причины могут носить как врожденный, так и приобретенный характер. В первом варианте патология касается грудничков. Что же касается второго варианта, то этому подвержены люди разных возрастных категорий. К подобным состояниям могут приводить следующие ситуации:

  • Процессы, связанные с воспалением мозговых оболочек. Речь идет о менингите, менингоэнцефалите, арахноидите. Причем все они могут быть обусловлены как инфекционными, так и неинфекционными причинами.
  • Травматическое повреждение черепа и головного мозга.
  • Пороки в развитии ЦНС.
  • Процессы, связанные с кровоизлиянием с локализацией под мозговыми оболочками.
  • Отек головного мозга.

Проявление патологии у детей неодинаково и определяется тяжестью процесса. Заподозрить наличие такого состояния можно по следующим признакам:

  1. В ответ на свет, шумовые раздражители средней интенсивности ребенок отвечает крайне негативной реакцией.
  2. У таких детей наблюдается частое срыгивание.
  3. Ребенок излишне беспокоен, у него отмечается нарушение сна.
  4. Зрачки левого и правого глаза разные по размеру, может иметь место косоглазие.
  5. Размеры головки явно не соответствуют возрасту.
  6. Очень медленно зарастает родничок.
  7. Ребенок часто вздрагивает, объективно можно наблюдать тремор отдельных частей тела.

Как можно заметить, все эти симптомы не обладают какой-то специфичностью и лишь по ним точный диагноз установить невозможно. Необходимо обратиться к педиатру, который направит ребенка на консультацию к детскому неврологу.

Что касается взрослых, то доминантным симптомом будет головная боль. Она может иметь различную степень интенсивности. Различна она и по своей продолжительности. Может присоединиться головокружение, тошнота, невозможность в полном объеме качественно выполнять свои профессиональные обязанности. Головная боль особенно выражена по утрам.

На пике боли пациент ощущает выраженную пульсацию. Иногда возникает рвота. Больные беспокойны, тревожны. С повышением внутричерепного давления интенсивнее становится и головная боль. Нарушается сон. Даже если больному удается уснуть, сон его прерывистый и с явными признаками беспокойства. Днем больные, наоборот, проявляют выраженную сонливость.

Бесконечно такое состояние продолжаться не может и наступает момент, когда отчетливыми становятся симптомы, характерные для энцефалопатии. Это связано с дистрофическими изменениями в коре головного мозга. Хуже становится память, наблюдаются нарушения со стороны органов зрения, снижается уровень интеллекта. Больные постоянно чувствуют выраженную усталость. Характерно бесконечное повторение приступов головной боли.

Если расширены периваскулярные пространства базальных ядер, то могут наблюдаться изменения походки, может существенно нарушаться координация движений, расстраивается мелкая моторика. В итоге нарушается трудоспособность и активность в образе жизни.

Атрофия головного мозга

Глиозом головного мозга называют процесс замещения нейронов глиальными клетками. Это не самостоятельное заболевание, а следствие других болезней.

Патология в виде очагов глиоза на МРТ обычно обнаруживается при следующих заболеваниях:

  • Энцефалит;
  • Эпилепсия;
  • Гипоксия мозговых структур;
  • Долго не проходящая гипертония;
  • Дисциркуляторная энцефалопатия;
  • Туберкулезный и рассеянный склероз.

Глиальные клетки выполняют работу, которую должны были выполнять погибшие нейроны. Именно благодаря им восстанавливаются функции нервной системы после перенесенных травм. Единичные мелкие очаги можно обнаружить только на МРТ. Обычно при этом нет никаких других симптомов. Если же основная болезнь продолжает убивать нейроны, вырисовывается клиническая картина, а на МР-снимках видны уже множественные патологические очаги головного мозга.

Белые пятна на МРТ могут свидетельствовать об отеках мозговой ткани. Они развиваются на фоне:

  • опухолей;
  • травм;
  • ишемии;
  • воспаления;
  • кровоизлияния.

На начальной стадии заболеваний с помощью МРТ обнаруживаются признаки перифокального отека в виде светлых пятен в зоне пораженного участка органа. Если не восстановить нормальное кровообращение, то развивается генерализированный отек. Головной мозг набухает. На МРТ это видно по смазанной картине, на которой не просматриваются структуры органа, так как все они подают томографу сигнал высокой интенсивности.

Если у пациента расширены периваскулярные пространства и при этом уменьшен объем головного мозга, то врачи говорят об атрофии органа. Чаще всего это является признаком следующих заболеваний:

  • старческой деменции;
  • атеросклероза;
  • болезни Альцгеймера.

При этих заболеваниях происходит отмирание нейронов. Это сопровождается ухудшением памяти, нарушением умственной деятельности, психическими расстройствами. Обычно такие болезни отмечаются у пациентов преклонного возраста.

В некоторых случаях расширенные периваскулярные пространства Вирхова — Робина определяются у новорожденных детей. Это может быть признаком серьезных генетических заболеваний, сопровождающихся гибелью нейронов.

Как лечить такие патологии? Ведь восстановить утраченные нейроны уже нельзя. Можно лишь замедлить процесс отмирания нервных клеток. Пациентам назначают следующие препараты для симптоматической терапии:

  • ноотропы: “Пирацетам”, “Кавинтон”, “Ноотропил”;
  • седативные средства: “Феназепам”, “Фенибут”;
  • антидепрессанты: “Вальдоксан”, “Амитриптилин”.

Прогноз таких патологий, как правило, неблагоприятный, так как атрофия мозга и отмирание нейронов прогрессируют.

Нередко периваскулярные пространства расширены у пациентов, перенесших инфаркт головного мозга. Это заболевание является следствием длительной ишемии. В некоторых случаях церебральный инфаркт протекает бессимптомно и остается незамеченным для пациента. Его последствия можно увидеть только на снимке при МРТ-обследовании.

Важно помнить, что если у больного имеются факторы риска (высокое АД, атеросклероз, сахарный диабет), то инфаркт может повториться в тяжелой форме. Для предотвращения повторного приступа острой ишемии пациентам назначают гипотензивные лекарства, гипогликемические средства и препараты, разжижающие кровь.

Периваскулярные пространства расширены – что это такое? Причины и лечение

При подозрении на патологии головного мозга больным назначают магнитно-резонансную томографию. Нередко в результатах исследования указано, что у пациента расширены периваскулярные пространства. Насколько это опасно? И на какие заболевания может указывать такой признак? Эти вопросы мы рассмотрим в статье.

Что это такое

Периваскулярные пространства расположены между стенками сосудов и белым веществом головного мозга. Эти образования называют также криблюрами или пространствами Вирхова — Робина. Они заполнены ликвором и регулируют отток спинномозговой жидкости.

В норме криблюры настолько малы, что не видны на снимке МРТ. Однако бывают случаи, когда при обследовании определяются расширенные периваскулярные пространства. Что значит такой результат диагностики? Это говорит о том, что криблюры визуализируются во время проведения МРТ-обследования. Они выглядят на снимке, как пятна белого цвета.

Причины

Расширенные периваскулярные пространства Робина — Вирхова не всегда являются признаком патологии. Такой результат диагностики отмечается и у вполне здоровых людей. Чаще всего расширение криблюров отмечается у пожилых пациентов и связано с возрастными изменениями головного мозга.

Однако в некоторых случаях расширенные периваскулярные пространства могут быть признаком следующих заболеваний и состояний:

  • атрофии головного мозга;
  • лейкоареоза;
  • церебральной ишемии (в том числе инфаркта мозга);
  • рассеянного энцефаломиелита.

У людей преклонного возраста расширение криблюров нередко отмечается при гипертонии, атеросклерозе, деменции. Эти патологии обычно сопровождаются ухудшением памяти и другими когнитивными нарушениями.

Что делать, если в результатах МРТ указано, что у вас расширены периваскулярные пространства Вирхова — Робина? Необходимо показать расшифровку исследования врачу-неврологу. Только специалист может определить: является ли это вариантом нормы, возрастной особенностью или признаком патологии.

Бывают случаи, когда МРТ не выявляет никаких изменений в головном мозге, но на снимке видны расширенные периваскулярные пространства Вирхова — Робина. Что это означает? Как правило, такой признак не указывает на патологию. Увеличение криблюров врачи рассматривают только в комбинации с другими изменениями, выявленными при МРТ-обследовании.

При необходимости врач может назначить дополнительные исследования:

  • мультиспиральную компьютерную томографию;
  • ангиографию сосудов;
  • допплерографию;
  • исследование ликвора.

Рассмотрим подробнее наиболее распространенные заболевания и состояния, которые могут привести к расширению криблюров.

Если у пациента расширены периваскулярные пространства и при этом уменьшен объем головного мозга, то врачи говорят об атрофии органа. Чаще всего это является признаком следующих заболеваний:

  • старческой деменции;
  • атеросклероза;
  • болезни Альцгеймера.

При этих заболеваниях происходит отмирание нейронов. Это сопровождается ухудшением памяти, нарушением умственной деятельности, психическими расстройствами. Обычно такие болезни отмечаются у пациентов преклонного возраста.

В некоторых случаях расширенные периваскулярные пространства Вирхова — Робина определяются у новорожденных детей. Это может быть признаком серьезных генетических заболеваний, сопровождающихся гибелью нейронов.

Как лечить такие патологии? Ведь восстановить утраченные нейроны уже нельзя. Можно лишь замедлить процесс отмирания нервных клеток. Пациентам назначают следующие препараты для симптоматической терапии:

  • ноотропы: “Пирацетам”, “Кавинтон”, “Ноотропил”;
  • седативные средства: “Феназепам”, “Фенибут”;
  • антидепрессанты: “Вальдоксан”, “Амитриптилин”.

Прогноз таких патологий, как правило, неблагоприятный, так как атрофия мозга и отмирание нейронов прогрессируют.

Лейкоареоз

Лейкоареозом врачи называют разрежение белого вещества головного мозга. Из-за структурных изменений в нервной ткани у пациентов расширены периваскулярные пространства. Это тоже является признаком болезней, свойственных людям преклонного возраста:

  • гипертонии;
  • атеросклероза;
  • старческой деменции.

Изменения в белом веществе мозга становятся причиной когнитивных нарушений. Пациентам проводят симптоматическое лечение ноотропными препаратами. Эти лекарства улучшают питание нейронов и приостанавливают их гибель. При атеросклерозе показан прием статинов. При высоком артериальном давлении назначают гипотензивные средства.

Ишемические состояния

При ишемии ухудшается кровоснабжение головного мозга. Обычно это является следствием атеросклеротических изменений в сосудах. У больного периодически возникает головокружение, двоение в глазах, расстройства координации движений, нарушения речи и памяти. Из-за изменений в сосудах расширяются и пространства вокруг их стенок.

Пациентам назначают ноотропные препараты (“Пирацетам”, “Церебролизин”, “Актовегин”), а также средства, нормализующие метаболизм в клетках мозга (“Кортексин”, “Цераксон”). При этом очень важно провести этиотропное лечение атеросклероза статинами. Назначают препараты “Ловастатин”,”Аторвастатин”, “Симвастатин”. Такая терапия позволяет устранить причину ишемии.

Инфаркт мозга

Нередко периваскулярные пространства расширены у пациентов, перенесших инфаркт головного мозга. Это заболевание является следствием длительной ишемии. В некоторых случаях церебральный инфаркт протекает бессимптомно и остается незамеченным для пациента. Его последствия можно увидеть только на снимке при МРТ-обследовании.

Важно помнить, что если у больного имеются факторы риска (высокое АД, атеросклероз, сахарный диабет), то инфаркт может повториться в тяжелой форме. Для предотвращения повторного приступа острой ишемии пациентам назначают гипотензивные лекарства, гипогликемические средства и препараты, разжижающие кровь.

Рассеянный энцефаломиелит

Рассеянный энцефаломиелит (РЭМ) – это острая патология центральной нервной системы. При этом заболевании разрушается миелиновая оболочка нервных волокон. Периваскулярные пространства Вирхова — Робина расширены из-за поражения белого и серого вещества. На МРТ-снимке видны очаги демиелинизации.

Эта патология имеет аутоиммунное происхождение. Клиническая картина заболевания напоминает признаки рассеянного склероза. У больных отмечаются нарушения походки и движений, расстройства речи, головокружение, воспаление зрительного нерва.

В отличие от многих других демиелинизирующих болезней, РЭМ поддается лечению. Больным назначают кортикостероиды для подавления аутоиммунной реакции:

  • “Преднизолон”;
  • “Дексаметазон”;
  • “Метипред”.

После курса терапии у 70 % больных наступает полное выздоровление. В запущенных случаях у пациентов могут сохраняться последствия болезни: нарушения чувствительности конечностей, нарушения походки, расстройства зрения.

Профилактика

Как предотвратить вышеперечисленные патологии? Можно сделать вывод, что таким заболеваниям в большей степени подвержены пожилые пациенты. Поэтому всем людям старше 60 лет необходимо регулярно посещать невролога и проходить МРТ-обследование головного мозга.

Важно также постоянно контролировать уровень холестерина в крови и показатели артериального давления. Ведь заболевания, сопровождающиеся патологическими изменениями в белом веществе, чаще всего развиваются на фоне атеросклероза и гипертонической болезни.

Воспаление, как основная причина

Воспаления, связанные как с оболочками, так и с самим мозгом, ведут к образованию спаек в полости черепа. Естественно, это нарушает циркуляцию ликвора, затрудняет его отток и ведет к формированию гидроцефалии. Это, в свою очередь, обусловливает расширение не только желудочков мозга, но и субарахноидального пространства.

При возникновении воспаления на первый план выступают все патоморфологические и патофизиологические изменения, связанные с ним. Значительно повышается проницаемость стенок сосудов. Жидкая часть крови свободно проникает в пространство между клетками, что формирует отек. К тому же, значительно повышается продукция и самого ликвора. Патоморфологически в этой фазе можно наблюдать утолщение и полнокровие мозговых оболочек и расширение пространства под оболочками мозга.

Причины

  • атрофии головного мозга;
  • лейкоареоза;
  • церебральной ишемии (в том числе инфаркта мозга);
  • рассеянного энцефаломиелита.

У людей преклонного возраста расширение криблюров нередко отмечается при гипертонии, атеросклерозе, деменции. Эти патологии обычно сопровождаются ухудшением памяти и другими когнитивными нарушениями.

Лейкоареоз

Лейкоареозом врачи называют разрежение белого вещества головного мозга. Из-за структурных изменений в нервной ткани у пациентов расширены периваскулярные пространства. Это тоже является признаком болезней, свойственных людям преклонного возраста:

  • гипертонии;
  • атеросклероза;
  • старческой деменции.

Изменения в белом веществе мозга становятся причиной когнитивных нарушений. Пациентам проводят симптоматическое лечение ноотропными препаратами. Эти лекарства улучшают питание нейронов и приостанавливают их гибель. При атеросклерозе показан прием статинов. При высоком артериальном давлении назначают гипотензивные средства.

Почки как фактор патологии

Демиелинизация – это патологический процесс, поражающий миелиновую оболочку нервных волокон. Характер повреждений зависит от их причины. Она может быть:

  • Врожденной (наследственная предрасположенность к болезни).
  • Приобретенной (демиелинизация развивается в результате воспалительных процессов в головном мозге).

Вот при каких заболеваниях видны демиелинизирующие очаги в головном мозге на МРТ:

  • Миелинопатия;
  • Лейкоэнцефалопатия;
  • Рассеянный склероз.

Обычно, демиелинизирующие очаги выглядят как множественные белые точки. Пациент может воспринять их за криблюры, потому что они похожи. Отличить их друг от друга может только специалист по степени выраженности и локализации повышенного сигнала.

Патология почек может обусловить умеренный отечный синдром, при котором будет иметь место ситуация, связанная с расширением пространств под мозговыми оболочками. Иногда это может быть связано с отравлениями солями тяжелых металлов. Причиной может послужить и хроническая алкогольная интоксикация.

Разумеется, все эти состояния более характерны для взрослых. У детей же преобладающими причинами являются врожденные аномалии. Причиной у них может послужить и родовая травма, которая нарушает циркуляцию жидкости в полости черепа.

Глиоз в мозговом веществе

Глиозом головного мозга называют процесс замещения нейронов глиальными клетками. Это не самостоятельное заболевание, а следствие других болезней.

Глиальные клетки выполняют работу, которую должны были выполнять погибшие нейроны. Именно благодаря им восстанавливаются функции нервной системы после перенесенных травм. Единичные мелкие очаги можно обнаружить только на МРТ. Обычно при этом нет никаких других симптомов. Если же основная болезнь продолжает убивать нейроны, вырисовывается клиническая картина, а на МР-снимках видны уже множественные патологические очаги головного мозга.

Белые пятна на МРТ могут свидетельствовать об отеках мозговой ткани. Они развиваются на фоне:

  • опухолей;
  • травм;
  • ишемии;
  • воспаления;
  • кровоизлияния.

На начальной стадии заболеваний с помощью МРТ обнаруживаются признаки перифокального отека в виде светлых пятен в зоне пораженного участка органа. Если не восстановить нормальное кровообращение, то развивается генерализированный отек. Головной мозг набухает. На МРТ это видно по смазанной картине, на которой не просматриваются структуры органа, так как все они подают томографу сигнал высокой интенсивности.

Рассеянный энцефаломиелит

Рассеянный энцефаломиелит (РЭМ) – это острая патология центральной нервной системы. При этом заболевании разрушается миелиновая оболочка нервных волокон. Периваскулярные пространства Вирхова — Робина расширены из-за поражения белого и серого вещества. На МРТ-снимке видны очаги демиелинизации.

Эта патология имеет аутоиммунное происхождение. Клиническая картина заболевания напоминает признаки рассеянного склероза. У больных отмечаются нарушения походки и движений, расстройства речи, головокружение, воспаление зрительного нерва.

В отличие от многих других демиелинизирующих болезней, РЭМ поддается лечению. Больным назначают кортикостероиды для подавления аутоиммунной реакции:

  • “Преднизолон”;
  • “Дексаметазон”;
  • “Метипред”.

После курса терапии у 70 % больных наступает полное выздоровление. В запущенных случаях у пациентов могут сохраняться последствия болезни: нарушения чувствительности конечностей, нарушения походки, расстройства зрения.

Дифференциальная диагностика

Важным моментом является дифференциальный диагноз расширенных пространств Вирхова-Робина и другой мозговой патологии.

Лакунарный инфаркт

Криблюры при их большом размере и слиянии между собой можно принять за лакунарный инфаркт. Часто путаница возникает из-за одинаковой локализации – в области базальных ганглиев.

Отличие состоят в том, что при инфаркте очаги, как правило, превышают размер 5 мм. Также очаги являются несимметричными. Опытный врач лучевой диагностики сможет отличить, используя различные режимы визуализации: Т1, Т2, FLAIR.

Дифференциальный диагноз между увеличенным периваскулярным пространством и инсультом имеет важное значение, так как при отсутствии лечения в последующем может произойти более обширная мозговая катастрофа с формированием неврологического дефицита.

Лечение инсульта проводится под присмотром невролога.

Данное заболевание встречается у недоношенных детей вследствие нарушенного дыхания. Мозг страдает от дефицита кислорода и вдоль сосудов появляются очаги инсульта, которые очень похожи на Вирхов-Робинские пространства.

В большинстве случаев заболевание не требует терапии. В случае, если кисты достигают больших размеров, возможно их хирургическое удаление.

Рассеянный склероз

Очаги этого димиелинизирующего заболевания могут находиться в любом участке головного мозга, в том числе и вокруг корковых сосудов.

Отличительным признаком является то, что при рассеянном склерозе очаги идут от боковых желудочков, формируя так называемые «пальцы Доусона».

При выявлении клиники рассеянного склероза назначается ПИТРС-терапия.

Кистозные опухоли

Часто расширенные периваскулярные пространства могут напоминать кистозное новообразование. При этом киста имеет различную интенсивность внутри новообразования и накапливает контраст. В этом случае необходимо обратиться к онкологу и нейрохирургу.

Профилактика

Как предотвратить вышеперечисленные патологии? Можно сделать вывод, что таким заболеваниям в большей степени подвержены пожилые пациенты. Поэтому всем людям старше 60 лет необходимо регулярно посещать невролога и проходить МРТ-обследование головного мозга.

Важно также постоянно контролировать уровень холестерина в крови и показатели артериального давления. Ведь заболевания, сопровождающиеся патологическими изменениями в белом веществе, чаще всего развиваются на фоне атеросклероза и гипертонической болезни.

Где располагается пространство Вирхова — Робена

Локализация:

  • Переднее продырявленное вещество
  • Средний мозг (нож­ка мозга)
  • Белое вещество полушарий большого мозга (полуовальный центр).

Пиковый возраст:

  • Базальная локализация у молодых пациенто
  • В конвекситальной области по мере старения (признак уменьшения объема го­ловного мозга).

Киста Вирхова-Робена пространства представляют собой расширения субарахноидального пространства, вы­полненные ЦСЖ и окружающие артериолы и вены, которые проходят че­рез кору и белое вещество до уровня капилляров.

Лечение

Корректирующая лечебная терапия зависит от причины, обусловившей возникновение этого состояния. Если виновником является инфекция, то назначается курс антибактериальной терапии (“Сумамед”, “Зиннат”, “Флемоксин”). При наличии опухоли проводят назначение противоопухолевых препаратов (“Космеген”, “Адрибластин”).

Проводится симптоматическое лечение. При наличии судорог назначают противосудорожные средства (“Карбамазепин”, “Примидон”). Проводятся мероприятия, направленные на уменьшение отека. При наличии выраженных болей показаны анальгетики и нестероидные противовоспалительные препараты (“Спазмалгон”, “Пенталгин”, “Ибуфен”).

Если консервативная терапия не дает результатов, прибегают к оперативному вмешательству. Используют шунтирование. По выполненным шунтам ликвор отводится в грудную или брюшную полость.

Следует сказать о том, что нередко у взрослых людей расширение периваскулярного пространства может протекать бессимптомно. В этом случае постановка диагноза затруднительна.

Недостатки сна на боку

  1. Это может вызвать боль в плече и бедре, если у вас очень старый матрас или у вас травмы мышц или суставов.
  2. Могут появиться морщины, результатом может быть опухшее лицо после пробуждения. Если человек прижимает лицо к подушке, жидкость накапливается в этой области, что вызывает отеки и, таким образом, морщины на коже, что делает ее более восприимчивой к морщинам.
  3. Это может ускорить провисание груди, так как связки растягиваются без поддержки с течением времени.

Очаги в головном мозге на мрт: что это такое, при каких заболеваниях бывают

Расширенные периваскулярные пространства Робина — Вирхова не всегда являются признаком патологии. Такой результат диагностики отмечается и у вполне здоровых людей. Чаще всего расширение криблюров отмечается у пожилых пациентов и связано с возрастными изменениями головного мозга.

Однако в некоторых случаях расширенные периваскулярные пространства могут быть признаком следующих заболеваний и состояний:

  • атрофии головного мозга;
  • лейкоареоза;
  • церебральной ишемии (в том числе инфаркта мозга);
  • рассеянного энцефаломиелита.

У людей преклонного возраста расширение криблюров нередко отмечается при гипертонии, атеросклерозе, деменции. Эти патологии обычно сопровождаются ухудшением памяти и другими когнитивными нарушениями.

Периваскулярные пространства Вирхова-Робина

Периваскулярными пространствами называют жидкость, скапливающуюся вдоль кровеносных сосудов, питающих головной мозг. Другое их название – криблюры. Они есть у каждого человека, но обычно они маленькие и не визуализируются на снимках исследуемого органа.

При нарушении мозгового кровообращения криблюры расширяются. Поскольку они заполнены ликвором –спинно-мозговой жидкостью. В них содержится большое количество атомов водорода. И в этой области сигнал отклика будет высокой интенсивности, что видно на снимках как пятно белого цвета.

Дополнительные методы диагностики

Что делать, если в результатах МРТ указано, что у вас расширены периваскулярные пространства Вирхова — Робина? Необходимо показать расшифровку исследования врачу-неврологу. Только специалист может определить: является ли это вариантом нормы, возрастной особенностью или признаком патологии.

Бывают случаи, когда МРТ не выявляет никаких изменений в головном мозге, но на снимке видны расширенные периваскулярные пространства Вирхова — Робина. Что это означает? Как правило, такой признак не указывает на патологию. Увеличение криблюров врачи рассматривают только в комбинации с другими изменениями, выявленными при МРТ-обследовании.

При необходимости врач может назначить дополнительные исследования:

  • мультиспиральную компьютерную томографию;
  • ангиографию сосудов;
  • допплерографию;
  • исследование ликвора.

Рассмотрим подробнее наиболее распространенные заболевания и состояния, которые могут привести к расширению криблюров.

Демиелинизирующие патологии

Демиелинизация – это патологический процесс, поражающий миелиновую оболочку нервных волокон. Характер повреждений зависит от их причины. Она может быть:

  • Врожденной (наследственная предрасположенность к болезни).
  • Приобретенной (демиелинизация развивается в результате воспалительных процессов в головном мозге).

Обычно, демиелинизирующие очаги выглядят как множественные белые точки. Пациент может воспринять их за криблюры, потому что они похожи. Отличить их друг от друга может только специалист по степени выраженности и локализации повышенного сигнала.

Очаги болезни Альцгеймера

С помощью МРТ можно диагностировать и следить за течением болезни Альцгеймера. Очаговые образования при этом заболевании окрашиваются не в белый, а в почти черный цвет. Это связано с атрофическими процессами, происходящими в органе, который начинает уменьшаться в размерах.

Пораженные области плохо откликаются на посылаемый им радиосигнал, поэтому их называют участками с низкой интенсивностью сигнала. Особенно хорошо визуализируется дистрофия задних отделов головного мозга.

Магнитно-резонансная томография выявляет структурные нарушения головного мозга.

Поэтому данный метод исследования полезен при диагностике заболеваний, вызывающих изменения в структуре органа и пронизывающих его кровеносных сосудов.

Отличить снимок здорового головного мозга от снимка с патологическими очагами может любой человек. Но поставить диагноз сможет только врач после длительного изучения результатов МРТ.

Недостатки сна на боку

  1. Это может вызвать боль в плече и бедре, если у вас очень старый матрас или у вас травмы мышц или суставов.
  2. Это может ускорить провисание груди, так как связки растягиваются без поддержки с течением времени.

Что вы можете сделать, чтобы улучшить качество сна?

1. Ваша подушка должна быть достаточно твердой, чтобы держать позвоночник прямым.

2. Вы должны заполнить пространство между шеей и матрасом, чтобы держать голову и шею в нейтральном положении.

3. Если у вас болит плечо, попробуйте положить подушку перед вашим телом и расположить на ней руку. Это поможет облегчить боль.

4. Чтобы избежать боли в бедре или избавиться от нее, попробуйте положить подушку между коленями, чтобы держать бедра ровно.

5. Чтобы избежать провисания груди, попробуйте положить под нее небольшую подушку, чтобы связки не растягивались. Или просто спите на спине.

6. Если вы просыпаетесь утром с опухшим лицом и с отечностью под глазами и более глубокими морщинами, чем прошлой ночью, вам следует сменить положение для сна. Сон на спине может предотвратить нежелательный контакт вашего лица с подушкой.

7. Хороший матрас — это самое главное, когда речь идет о здоровом и спокойном сне. Если вы спите на боку, вам нужно выбрать матрас с хорошей поддержкой плеча и бедра от средней до высокой жесткости. Пенные матрасы и матрасы, способные «запоминать» ваше положение тела (вязкоупругие) являются наилучшими вариантами, поскольку они очень эффективны для снятия точки давления.

Конечно, боли и отечность могут вызвать и другие причины. Поэтому не сразу думайте на позу сна, может быть, проблема совершенно в другом, а неправильная поза просто усугубляет положение.

Отечность, например, может быть вызвана питьем большого количества воды перед сном или/и потреблением соленой и острой пищи.

В любом случае, спите так, как удобно вашему телу, чтобы избежать любых последствий.

Ссылка на основную публикацию
Похожее