© Автор: А. Олеся Валерьевна, к.м.н., практикующий врач, преподаватель медицинского ВУЗа, специально для СосудИнфо.ру (об авторах)
Кистозные образования в полости черепа всегда вызывают вполне обоснованное беспокойство как у специалистов, так и их обладателей. Одним из вариантов таких полостей является ретроцеребеллярная киста, выявляемая примерно у 4% здоровых людей и дающая симптоматику лишь у пятой части ее носителей.
Задавшись целью узнать подробнее об этой кисте, читатель в интернете найдет большое количество информации, однако далеко не все сведения соответствуют действительности. Большинством сомнительных источников ретроцеребеллярная киста представляется как некое внутримозговое скопление жидкости на месте погибших нейронов, однако в действительности она представляет собой ликворную кисту, лежащую скорее вне мозга, нежели внутри него.
Внутримозговые кисты, иначе говоря — церебральные, действительно образуются в самом мозге после некроза на фоне инсульта, опухоли или травмы. Ликворная же киста обязана своим возникновением патологии паутинной оболочки, поэтому ее еще называют арахноидальной, и отождествлять ее с церебральной кистой в корне неверно.
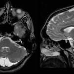
Термин «ретроцеребеллярная» – это не характеристика самой кисты, а указание на ее расположение за мозжечком (cerebellum), в области задней черепной ямки, что показывают данные МРТ, посредством которой эти самые кисты и выявляются.
Таким образом, ретроцеребеллярная киста представляет собой полостное образование в задней части черепа, образованное паутинной мозговой оболочкой, коллагеновыми волокнами, содержащее спинномозговую жидкость и лежащее между поверхностью мозга и его арахноидальной оболочкой.
пример кистозного расширения ретроцеребеллярного арахноидального пространства
В большинстве случаев ретроцеребеллярная киста обнаруживается случайно, у взрослых людей молодого возраста, которые по тем или иным причинам сделали МРТ. Как правило, поводом к обследованию становится неврологическая симптоматика, далеко не всегда связанная с кистой. Ретроцеребеллярная ликворная киста небольших размеров может протекать бессимптомно и крайне редко сопровождается какими-либо негативными влияниями на сам мозг.
Определение, классификация
Такая киста представляет собой небольшую доброкачественную опухоль, развивающуюся на месте, где начала отмирать мозговая ткань. В самом начале пострадавший участок начинает расширяться, а потом появившаяся полость наполняется ликвором. В некоторых случаях она может рассосаться самостоятельно, но иногда киста начинает увеличиваться, что повышает риски возникновения проблем со здоровьем.
Ретроцеребеллярная киста включает в себя сразу два типа: ретроцеребеллярная и арахноидальная. Первая подразумевает образование опухоли, затрагивающей серое вещество. Особенность проявления второй заключается в прямом влиянии на паутинную оболочку мозга. Их сочетание вызывает усиленную симптоматику и повышенную сложность лечения.
По классификации МКБ такая киста имеет код G93.0. Она носит локальный характер и не может распространяться на здоровые участки. При этом местом локализации могут выступать любые части мозговой ткани. Наиболее часто киста появляется в лобной и затылочной доле. По месту ее образования врачи разделяют заболевание на два вида: нижняя и верхняя киста.
Основное разделение на типы подразумевает два варианта развития патологии:
- Первичная. Является врожденной, обнаруживается еще в роддоме.
- Вторичная. Появляется в любой момент жизни.
Взрослые подвержены болезни меньше, т.к. чаще всего она относится именно к первому типу.
Если киста затрагивает часть головного мозга, то она называется церебральной (внутримозговой) и является более опасной.
Размеры
Киста маленького размера может присутствовать у человека долгие годы, не проявляя никаких признаков. Если она обнаруживается, то лечение, как правило, не требуется. Человеку придется лишь чаще бывать у врача и проверять с помощью снимка, не начала ли она расти. При сохранении мелких размеров киста считается нормой, а человек может жить привычным образом. Однако при ее увеличении или серьезных причинах образования лечение все же потребуется.
Размеры кисты:
- До 2 мм – уплотнения незначительных размеров, не требующие лечения.
- До 10 мм – умеренные размеры, относится к средней степени опасности.
- До 10 мм, растянутая до 120 мм в длину – опасная киста, вызывающая тяжелые симптомы.
Какие размеры ретроцеребеллярной кисты головного мозга опасны – первое, что интересует людей, узнавших о новообразовании. Киста до 10 мм требует особого внимания только в том случае, если она увеличивается. К опасным можно отнести лишь кисту, которая имеет толщину в 10 мм и сумела растянуться на десятки миллиметров в длину. При быстром росте новообразование может увеличиться в несколько раз за пару месяцев. Такое явление характерно для инфекционных заболеваний, спровоцировавших появление кисты.
Какие размеры опасны?
Ретроцеребеллярная киста возникает на пораженных участках мозга и непосредственно в толще данного органа. Чтобы правильно определить размер патологии пациент проходит ряд обследований. Возникает в результате различных провоцирующих факторов, также стоит учитывать, что новые очаги инфекции и даже микроинсульт могут спровоцировать рост образования.
Также увеличиваться киста данного вида способна из-за нарушенного кровотока в мозгу. Даже незначительные размеры, на начальной стадии возникновения могут спровоцировать серьезные необратимые последствия для пациента, в том числе и полное отмирание данного органа.
Причины
Проявиться киста такого типа может без каких-либо очевидных причин. Это значительно усложняет ее выявление. Факторов, которые могут спровоцировать ее развитие, довольно много. К ним относятся:
- Нарушения кровообращения;
- Травмы головы, сотрясения;
- Воспалительные заболевания, вызванные инфекционным воздействием;
- Серьезные негативные изменения мозга;
- Проведенные операции на мозге;
- Перенесенный ранее инсульт;
- Наследственность;
- Родовые травмы, негативное воздействие на плод медицинских препаратов, принимаемых матерью во время беременности.
Все люди, к которым относятся перечисленные проблемы, находятся в зоне риска. Повышенная вероятность образования кисты требует наблюдения у врача. Нужно посещать его хотя бы раз в год, чтобы исключить неожиданное развитие заболевания.
Причины возникновения
Данная патология головного мозга возникает в результате многих провоцирующих факторов, самый распространенный из которых – отмирание клеток серого вещества.
Причины возникновения патологии:
- Неудовлетворительное кровообращение головного мозга.
- Хирургическое вмешательство в данном органе.
- Острое нарушение кровообращения в мозге, которое сопровождается внезапной потерей сознания и параличом.
- Воспалительные процессы на данном участке и инфекционные заболевания.
- Травмирование головы и головного мозга, которые способны спровоцировать отмирание мозговых клеток.
Если у пациента наблюдалось одно из перечисленных состояний необходимо регулярно проходить профилактические обследования, чтобы избежать возникновения данной или иной патологии.
Симптомы
Киста малых размеров не вызывает никаких симптомов, но при динамичном ее росте человек начинает постепенно ощущать все больше неприятных чувств. Когда она увеличится до критичных размеров, состояние больного может стать крайне тяжелым. Для кисты характерны следующие симптомы:
- Ухудшение психоэмоционального состояния. Депрессивные мысли, нарушения сна, апатия, усталость.
- Головная боль. Помимо болей присутствуют сильные головокружения и чувство сильного давления на череп. На поздних стадиях боли могут проявляться в виде сильнейших мигреней.
- Проблемы с органами чувств. Плохой слух, шум в ушах, двоение в глазах.
- Снижение мозговой активности. Ухудшение концентрации и мыслительных процессов.
- Паралич. Может носить локальный характер, затрагивая лишь одну часть тела, но иногда поражает все конечности. В некоторых случаях сочетается с эпилепсией и судорогами.
- Развитие гидроцефалии. Параллельно с этим появляются ощущения тошноты, сонливости, нервозность, обмороки.
Если киста затрагивает задние части черепа и оказывает давление на мозжечок, то человек может иметь проблемы с вестибулярным аппаратом.
Человека с кистой такого типа откажутся брать в армию, если она проявляется неврологическими отклонениями (паралич, эпилепсия) или проблемами с органами чувств.
В чем проявляется заболевание?
Симптоматика аномалии имеет прямую взаимосвязь с размерами новообразования. Важное значение имеет локализация и факторы образования. В случае, когда киста продолжает возрастать в объеме или увеличивается давление субстанции в ней, то у пациента могут возникнуть ярко выраженные проявления. Вместе с этим, формирование небольших кист, которые останавливают свой рост — не провоцируют симптомы. Основными причинами прогрессирования болезни считаются:
- нейроинфекционные микроорганизмы;
- длительный инфекционный процесс;
- сбои в функционировании системы кровообращения хронического плана;
- аутоиммунные нарушения.
У больного проявляются такие признаки нестабильного состояния:
- болезненные ощущения в области головы;
- дискомфорт от чувства пульсирования внутри черепного короба;
- проблемы со слухом временного характера;
- присутствие шума в ушных каналах;
- ощущение распирания головы и скачка давления;
- нарушения зрительных способностей (образование пятен, расплывчатости, раздвоенности);
- паралич рук или ног полной или частичной формы;
- судорожные припадки;
- резкая утрата сознания;
- онемение частей тела временной или постоянной природы.
Диагностические мероприятия
Для предотвращения развития аномалии и установки своевременного правильного диагноза, потребуется опираться на все имеющиеся жалобы пациента вместе с клинической картиной. Медицинские сотрудники прибегают к помощи клинических обследований, например, магнитно-резонансному сканированию.
Особенности кисты у детей
Ребенок, у которого начала расти киста, будет испытывать такие же симптомы, как любой взрослый. Однако они могут очень выраженными, что вызовет больший дискомфорт. Наиболее частой причиной развития такой проблемы у детей является перенесенный менингит. Поэтому после выздоровления следует регулярно проверяться у врача, чтобы исключить риски.
Киста часто обнаруживается у младенцев. Если ее своевременно не заметить, то существует риск расхождения костных швов у грудничка. При этом вероятнее всего, начнет развиваться гидроцефалия, и в будущем ребенок будет иметь проблемы с умственным и физическим развитием.
При обнаружении кисты у малыша важно максимально быстро подтвердить диагноз с помощью УЗИ и провести интенсивную терапию, включающую хирургическое вмешательство.
Диагностика
Постановка правильного диагноза – одна из важнейших составляющих лечения. При неправильном подходе есть риск летального исхода. Так, в случае, когда злокачественную опухоль путают с такой кистой, могут назначить проведение хирургической операции, чего делать ни в коем случае при опасных опухолях нельзя.
Сначала врач проводит опрос, составляя полную картину симптомов пациента. После этого обязательно назначаются КТ, МРТ и УЗИ, при этом последнюю процедуру проходить нужно с внутривенным введением контрастного вещества, что поможет определить злокачественная или доброкачественная опухоль у больного. Также врач назначает другие обследования, чтобы точно определить причину образования кисты. Важно сделать это сразу, чтобы быстро начать лечение и исключить повторное негативное воздействие первопричины.
Пациенту дополнительно назначают следующие процедуры:
- Анализ крови. Показатели холестерина и свертываемости могут уточнить состояние сосудов и наличие закупорки, из-за которой зачастую начинает расти киста. Также проверяется наличие инфекционных и аутоиммунных болезней.
- Проверка сердца. Процедура требуется для выявления проблем, связанных с сердцебиением и здоровьем сердца.
- Доплер УЗИ. Обнаружение сужения сосудов в голове и шее будет означать, что к мозгу поступает недостаточное количество крови, дефицит которой приводит к гибели частиц мозговой ткани и появлению новообразований.
- Мониторинг давления. Перепады давления могут вызывать микроинсульты, из-за которых начинает развиваться киста.
Сразу после выявления расширения ретроцеребеллярного пространства и постановки диагноза больному назначается лечение. Необходимо приступить к нему максимально быстро, чтобы исключить дальнейшее ухудшение состояния и всевозможные риски.
Лечение
Подход к лечению должен быть максимально серьезным. Только так получится добиться положительного результата. Но не менее важно то, насколько опытным будет врач, занимающийся лечением пациента. Терапия подразумевает два подхода: медикаментозный и хирургический.
Медикаментозное лечение
Эффективность терапии лекарственными средствами наблюдается только на начальных стадиях развития болезни. В большинстве случаев после курса приема всех необходимых препаратов новообразование начинает самостоятельно уменьшаться. При назначении лекарств основными целями являются улучшение кровоснабжения и обеспечение рассасывания складок и рубцов.
Назначаются следующие группы медицинских препаратов:
- Антиагреганты (Аспирин, Пентоксифиллин). Они нормализуют уровень холестерина, приводят в норму свертываемость крови, а также помогают расширить сосуды при их сужении.
- Антиоксиданты (Синергин). Укрепляют ткани головного мозга, повышают стойкость при гипертонии.
- Ноотропы (Ноотропил, Церебрамин). Способствуют усиленному поступлению кислорода к тканям мозга.
- Антикоагулянты (Лонгидаза). Помогают устранить спайки на тканях мозга.
- Гипотензивные средства (Капотен, Эналаприл). Нормализуют артериальное давление при его повышении.
Все лекарства назначают индивидуально. В некоторых случаях прием тех или иных групп препаратов не требуется.
При выявлении инфекции могут быть назначены иммуномодуляторы, а также антибактериальные вещества.
Хирургическое вмешательство
При отсутствии положительных изменений после медикаментозной терапии больному назначается хирургическая операция. Также ее используют сразу же при некоторых инфекционных заболеваниях, т.к. лекарствами избавиться от новообразования в таком случае не удастся. Операцию могут провести и по просьбе больного, если он испытывает сильные боли, паралич или другие ярко выраженные симптомы.
Применяют несколько видов операций:
- Эндоскопическая операция. Больному проделывают небольшое отверстие в черепной коробке, вводят эндоскоп, прорезают стенки кисты и выводят жидкость.
- Шунтирование. Устанавливают специальный прибор, отводящий жидкость в другие полости внутри организма.
- Удаление новообразования. Производят вскрытие черепа и полностью удаляют кисту.
Восстановление после операции проходит под контролем врачей. Во всех случаях риск рецидивов практически отсутствует, но могут возникать осложнения.
Виды хирургического удаления кист
- Эндоскопическая операция относится к микрохирургическим методам лечения и является самым современным средством удаления кисты. Операция заключается во введении в участок головного мозга, где располагается ретроцеребеллярная киста, эндоскопа, при помощи инструментов происходит отвод жидкости. Возможность проведения данной операции зависит от местоположения опухоли и ее доступности. Этот вид лечения зарекомендовал себя как самый современный и относительно безопасный, ведь операция проходит под постоянным зрительным контролем хирурга.
- Удаление образования посредством вскрытия черепной коробки. Самая сложная, но и самая эффективная операция, успешным проведением которой занимаются зарубежные клиники в Израиле и Германии.
- Нейрохирургическую операцию (шунтирование) проводят в случае постоянного притока жидкости на фоне имеющейся гидроцефалии. Отток жидкости из кисты производится с помощью шунта. Стоит отметить травматичность данной операции.
После проведения того или иного хирургического вмешательства необходимо в точности соблюдать рекомендации врача, обязателен прием мультивитаминов и лекарственных средств, укрепляющих стенки сосудов, улучшающих кровообращение.
Что касается оперативного лечения арахноидальной кисты, то оно схоже с лечением ретроцеребеллярного типа опухоли, но отличается выбором медикаментозных препаратов. Невропатологом назначаются препараты для рассасывания спаек, нормализации обмена веществ в головном мозге, и антиоксиданты для устойчивости клеток в повышению внутричерепного давления.
Прогноз, осложнения
При отсутствии лечения состояние больного будет ухудшаться, если киста продолжает расти. Как правило, это приводит к нестерпимым болям, которые заканчиваются разрывом мозговых тканей. У больного начнется сильное кровотечение, сопровождающееся воспалением, что в итоге становится причиной смерти. Это главное, чем опасно развитие ретроцеребеллярной арахноидальной кисты головного мозга.
Но даже при правильном лечении и проведении операции у человека могут возникнуть осложнения. Прогноз, как правило, положительный, если пациент выполняет все требования врачей. Однако иногда появляются проблемы:
- Повышенное давление;
- Интенсивные головные боли;
- Снижение иммунитета, сопровождающееся недомоганием;
- Нарушения работы органов чувств, речевого аппарата, а также двигательной функции;
- Судорожные припадки;
- Гиперподвижность или задержка в развитии у детей;
- Психологические нарушения, выражающиеся в поведении и общении с людьми.
Подобные последствия в постоперационный период возникают не так часто, а при медикаментозном лечении являются большой редкостью. Тем не менее, крайне важно соблюдать правильный образ жизни и придерживаться врачебных рекомендаций на протяжении всего периода восстановления.
Профилактика и прогноз
Ретроцеребеллярная арахноидальная киста может быть предупреждена при помощи соблюдения общих правил, поскольку специфической профилактики на сегодняшний день не существует.
Во избежание развития кисты необходимо:
- полностью отказаться от вредных привычек;
- избегать травм черепа;
- следить за корректным протеканием беременности и при малейшем изменении самочувствия обратиться к акушеру-гинекологу;
- обеспечивать своевременное лечение болезней;
- осуществлять массаж шеи;
- на регулярной основе проходить профилактические осмотры в клинике.
Прогноз благоприятный, что обуславливается доброкачественным течением и полным выздоровлением после хирургического вмешательства. Если лечение не будет своевременным, высоки риски появления осложнений, которые могут привести к летальному исходу.
Народные методы против кисты
Некоторые люди склонны отдавать предпочтение народным методам. При небольших новообразованиях они могут оказать положительное влияние, но их воздействие никак не доказано, что ставит смысл их применения под вопрос. Киста может быть опасной, поэтому не стоит пытаться самостоятельно ее лечить. Лучше прибегнуть к проверенным медициной способам, которые приведут к нужному результату.
Тем не менее, при особом желании стоит брать во внимание два рецепта:
- Болиголов. 50 г семян или цветков залить литром растительного масла, дать настояться 3 недели, время от времени встряхивая банку. После этого потребуется процедить масло через марлю. Использовать в виде капель для носа ежедневно.
- Лопух. Свежие листья растения нужно помыть, измельчить, а потом выжать из них сок. Его следует убрать в холодильник на 5 суток, перед этим добавив к нему спирт (5 ед. спирта на 1 ед. сока). Принимать 2 ст. л. по утрам 3 недели.
Применение таких средств при больших размерах кисты не даст результата и крайне не рекомендуется.
Некоторые предпочитают обращаться к людям с экстрасенсорными способностями, чтобы их исцелили от кисты. От таких идей лучше отказаться и начать лечиться с помощью врачей.
Способы лечения
Когда ретроцеребеллярная киста никак не связана с клиническими нарушениями, сведения исследований не указывают на ее увеличение и она имеет минимальные размеры, тогда такого рода образования не проходят терапию. Назначаются периодические визиты к невропатологу и регулярное наблюдение состояния кисты. В случае появления признаков анормального поведения новообразования, увеличения объема, давления жидкости, то в этой ситуации пациенту необходимо оперативное хирургическое вмешательство. Перед проведением операции больной проходит диагностику головного мозга. В первую очередь врачам необходимо устранить источники образования заболевания, а потом провести оценку риска вмешательства и выбрать наиболее безопасный для здоровья пациента прием. Выбор терапевтической технологии зависит от расположения и размера кисты. Нейрохирургическая процедура идет вместе с трепанацией черепа.
