Эпидуральный абсцесс позвоночника — серьезное заболевание, способное вызвать неврологические нарушения и инвалидизацию. Важно распознать симптомы и обратиться за медицинской помощью, чтобы избежать осложнений. В статье рассмотрим основные причины спинального эпидурального абсцесса, его клинические проявления, методы диагностики и лечения. Эти аспекты помогут читателям лучше понять состояние и принимать обоснованные решения о здоровье.
Что такое эпидуральный абсцесс?
Эпидуральный абсцесс представляет собой гнойное воспаление, которое локализуется в эпидуральном пространстве позвоночника. Это пространство можно описать как щель, находящуюся между дуральной оболочкой спинного мозга и стенками позвоночного канала.
Спинальный эпидуральный абсцесс — это гнойное воспаление, происходящее в эпидуральном пространстве.
Эпидуральное пространство заполнено рыхлой соединительной тканью и венозными сетями, что способствует распространению гнойного воспаления на несколько сегментов позвоночника.
В некоторых случаях к термину «эпидуральный абсцесс» добавляют слово «спинальный», чтобы подчеркнуть, что заболевание затрагивает именно позвоночный столб.
Спинальный эпидуральный абсцесс позвоночника представляет собой серьезное заболевание, требующее внимательного подхода со стороны медицинских специалистов. Врачи отмечают, что ранние симптомы могут включать боль в спине, слабость в конечностях и нарушения чувствительности. Эти проявления часто игнорируются пациентами, что может привести к серьезным осложнениям, таким как паралич.
Лечение абсцесса обычно включает хирургическое вмешательство для дренирования гноя, а также назначение антибиотиков для борьбы с инфекцией. Врачи подчеркивают важность своевременной диагностики и лечения, так как запущенные случаи могут привести к необратимым последствиям. Регулярные осмотры и внимание к сигналам организма могут существенно повысить шансы на успешное восстановление.
https://youtube.com/watch?v=0a8K3GMhqgM
Распространенность и значимость
Эпидуральный абсцесс представляет собой редкое заболевание. В среднем его диагностируют в 1 случае на 10-15 тысяч пациентов. Наиболее распространенным является абсцесс в среднегрудном отделе позвоночника, который составляет около 50% всех зарегистрированных случаев. Примерно 30-35% случаев приходится на абсцесс поясничного отдела, тогда как на шейный отдел позвоночного столба приходится лишь 15%.
Заболевание чаще всего наблюдается у людей в возрасте от 45 до 75 лет, особенно у тех, кто имеет ослабленный иммунитет.
| Категория | Симптомы | Лечение |
|---|---|---|
| Ранние симптомы | — Локализованная боль в спине (часто усиливается при движении, кашле, чихании) | — Антибиотикотерапия (внутривенно, длительный курс) |
| — Лихорадка, озноб | — Дренирование абсцесса (хирургическое) | |
| — Общая слабость, недомогание | — Кортикостероиды (для уменьшения отека и воспаления) | |
| — Повышенная чувствительность или болезненность при пальпации позвоночника | — Обезболивающие препараты | |
| Прогрессирующие симптомы | — Радикулярная боль (иррадиирующая в конечности) | — Физиотерапия и реабилитация после операции |
| — Мышечная слабость в конечностях | — Мониторинг неврологического статуса | |
| — Нарушения чувствительности (онемение, покалывание) | — Лечение основного заболевания (например, сахарного диабета) | |
| — Нарушения функции тазовых органов (задержка мочи, недержание) | ||
| Поздние/тяжелые симптомы | — Паралич конечностей (полный или частичный) | |
| — Синдром конского хвоста | ||
| — Сепсис | ||
| — Кома |
Клиническая картина
Первоначальными признаками эпидурального абсцесса являются резкие и сильные боли в спине в области поражения, сопровождающиеся высокой температурой и постоянным ознобом у пациента.
Боль может иррадиировать в ноги, а также возникает ощущение онемения и потери чувствительности. По мере прогрессирования заболевания пациент начинает испытывать нарастающую слабость в конечностях, а также нарушения функций тазовых органов.
При проведении обследования можно выявить следующие изменения:
- Общемозговой синдром;
- Менингеальный синдром;
- Общеинфекционный синдром.
Клинические проявления менингеального синдрома
На локальном уровне наблюдаются отеки и гипертонус мышц в пораженной области. Возможны также парез нижних конечностей и нарушения работы органов малого таза.
Видео: «Анатомия спинного мозга»
Спинальный эпидуральный абсцесс позвоночника — это серьезное состояние, о котором многие пациенты и медицинские работники говорят с настороженностью. Симптомы могут варьироваться от болей в спине и слабости в конечностях до более серьезных неврологических нарушений, таких как потеря чувствительности или проблемы с мочеиспусканием. Люди часто отмечают, что ранняя диагностика играет ключевую роль в успешном лечении. В большинстве случаев требуется хирургическое вмешательство для удаления абсцесса, а также антибиотикотерапия для борьбы с инфекцией. Многие пациенты делятся опытом, что после лечения они испытывают значительное облегчение, хотя восстановление может занять время. Важно помнить, что при появлении первых симптомов необходимо незамедлительно обращаться к врачу, чтобы избежать серьезных осложнений.
https://youtube.com/watch?v=zHT0NGpU1SU
Причины развития заболевания
Эпидуральный абсцесс может развиваться в любом отделе позвоночника, однако чаще всего встречаются абсцессы в поясничной и грудной областях. Это заболевание может проявляться как в острой, так и в хронической форме.
Основными возбудителями эпидурального абсцесса являются патогенные микроорганизмы, такие как стафилококки и стрептококки. Эти бактерии способны вызывать гнойные воспалительные процессы в организме, независимо от их тяжести и места локализации. Инфекция проникает в эпидуральное пространство через кровь и лимфу или же через соседние ткани.
К основным источникам, способным вызвать острый эпидуральный абсцесс, относятся:
- Заболевания органов дыхания;
- Инфекции мочевыводящих путей;
- Фурункулы и фурункулез;
- Септикопиемия;
- Заболевания зубов и десен.
Причины возникновения хронической формы эпидурального абсцесса могут включать:
- Туберкулез;
- Инфекции глотки;
- Последствия травм и переломов позвоночника;
- Остеомиелит;
- Ретроперитонеальный абсцесс.
Острая форма эпидурального абсцесса отличается от хронической тем, что при остром воспалении инфекция не может проникнуть в спинной мозг, так как ей препятствует твердая оболочка спинного мозга. В то время как хроническая форма способна разрушать эти защитные стенки и вызывать изменения в клетчатке эпидурального пространства.
Факторы риска, способствующие развитию эпидурального абсцесса, включают:
- Алкоголизм;
- Употребление наркотиков;
- Наличие гнойной инфекции в организме;
- Хирургические вмешательства на спинном мозге;
- Сахарный диабет;
- Проблемы со спиной после травм;
- Возрастные изменения.
Последствия заболевания
Обратите внимание на возможные последствия эпидурального абсцесса. Если заболевание было своевременно выявлено и лечение начато без задержек, то прогноз обычно оказывается благоприятным. Однако местоположение абсцесса может влиять на наличие остаточных неврологических нарушений.
Размеры гнойной инфекции могут служить индикатором вероятности летального исхода. Несмотря на то, что современные медицинские технологии способны справляться даже с тяжелыми случаями сепсиса, иммунная система пациента может оказаться не в состоянии противостоять тому количеству стероидов, которое ей будет назначено.
Если размеры сепсиса не были значительными, то шансы на выздоровление достаточно высоки. В медицинской практике встречаются случаи рецидива абсцесса. Поэтому важно внимательно следить за своим здоровьем и регулярно проходить обследования, чтобы предотвратить повторное возникновение инфекции.
https://youtube.com/watch?v=1QIrTjaSBws
Симптомы и методы диагностики заболевания
Основные признаки, указывающие на наличие абсцесса, включают:
- Сильная боль в пораженной области, которая не утихает и сохраняется на протяжении нескольких недель;
- Постоянно высокая температура, не снижающаяся в течение нескольких недель;
- Озноб;
- Болевые ощущения, которые могут распространяться на ноги;
- Увеличение тонуса мышц в пораженной области.
Эти признаки относятся к первой стадии заболевания.
На второй стадии наблюдается развитие корешкового синдрома, что приводит к уменьшению сухожильных рефлексов в пораженной зоне.
Третья стадия проявляется в виде парезов нижних конечностей и дисфункции органов малого таза.
Четвертая стадия характеризуется усилением парезов, вплоть до полного паралича и утраты чувствительности в конечностях.
Снаружи можно заметить отечность тканей и покраснение кожи в области поражения.
Острая форма эпидурального абсцесса может привести к параличам всего через несколько дней после появления первых симптомов. Для хронической формы на это может потребоваться несколько недель (от 2 до 3).
Когда острая форма переходит в хроническую, температура тела снижается, а выраженность симптомов уменьшается. Хроническая форма отличается периодическими обострениями и затиханием симптомов заболевания.
Диагностика эпидурального абсцесса
Диагностика эпидурального абсцесса представляет собой сложную задачу, так как симптомы данного заболевания не являются специфичными.
Если у пациента наблюдается выраженный инфекционный процесс в области позвоночника или гнойное воспаление в других частях тела, то невролог или нейрохирург могут заподозрить наличие спинального эпидурального абсцесса.
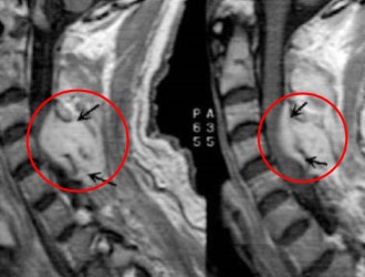
Для диагностики абсцесса спинного мозга применяются методы МРТ и КТ. При наличии острого воспалительного процесса можно заметить изменения в анализах крови, такие как лейкоцитоз и ускорение скорости оседания эритроцитов (СОЭ). В случае хронической формы заболевания выраженные изменения в анализах крови, как правило, отсутствуют.
Кроме общего анализа крови, врач может назначить бактериальный посев крови и рентгенографию позвоночника для выявления остеомиелита или туберкулезного спондилита.
Если существует подозрение на грудной или шейный эпидуральный абсцесс, врач может рекомендовать проведение люмбальной пункции, которую можно совместить с миелографией. Этот метод поможет определить наличие частичного или полного сжатия спинного мозга.
В рамках стандартного обследования пациенту назначаются КТ и МРТ позвоночника.
Видео: «Абсцесс мозга — что делать?»
Лечение эпидурального абсцесса
Диагноз «спинальный эпидуральный абсцесс» требует срочного хирургического вмешательства. Только быстрое выполнение операции может предотвратить смертельный исход.
Медикаментозное лечение
Антибиотикотерапия начинается еще до того, как будут получены результаты бактериологического посева, на этапе подготовки к хирургическому вмешательству. Препараты вводятся пациенту инъекционно. Чаще всего используются такие средства, как Амоксициллин, Рифампицин и Цефотаксим. Лекарства могут применяться как по отдельности, так и в сочетании с другими антибиотиками.
Затем начинается пероральный прием антибиотиков. Курс лечения должен продолжаться примерно два месяца.
Хирургическое вмешательство
Пациентам с эпидуральным абсцессом выполняют декомпрессию спинного мозга с помощью ламинэктомии и дренирования субдурального пространства.
В случае наличия остеомиелита хирург во время операции удаляет некротические участки костной ткани и осуществляет фиксацию позвоночника. Если вмешательство было выполнено вовремя, это может предотвратить возникновение парезов или снизить их выраженность, если заболевание уже находилось в запущенной стадии.
Хирургическое вмешательство при эпидуральном абсцессе направлено на декомпрессию спинного мозга.
Прогноз лечения
Смертность при эпидуральном абсцессе составляет 15-20%. В основном, в эту статистику попадают пожилые пациенты, у которых уже наблюдается паралич до операции. Улучшение значительного неврологического дефицита происходит довольно редко, даже если хирургическое вмешательство было проведено в течение первых 6-13 часов с момента появления симптомов.
Заключение
Спинальный эпидуральный абсцесс представляет собой серьезное и угрожающее здоровье заболевание.
Поэтому важно учитывать некоторые ключевые аспекты этой патологии:
- Одной из причин появления эпидурального абсцесса является ослабление иммунной системы, которое может возникнуть на фоне инфекционного воспаления или гнойной инфекции. Основными возбудителями гнойных инфекций чаще всего выступают различные «кокки», такие как стафилококки и стрептококки. Поэтому стоит уделять особое внимание гигиене и рациональному питанию для поддержания нормального уровня иммунитета;
- Эпидуральный абсцесс проходит через 4 стадии развития и может проявляться в двух формах: острой и хронической. Хроническая форма отличается от острой как по симптомам, так и по причинам возникновения;
- Лечение эпидурального абсцесса осуществляется исключительно хирургическим методом в сочетании с антибиотикотерапией. Операцию необходимо проводить как можно скорее, чтобы снизить риск возникновения паралича или даже летального исхода.
Профилактика эпидурального абсцесса
Профилактика спинального эпидурального абсцесса позвоночника является важной задачей как для медицинских работников, так и для пациентов. Эпидуральный абсцесс — это скопление гноя в эпидуральном пространстве, которое может привести к серьезным неврологическим осложнениям, включая паралич. Профилактические меры направлены на снижение риска возникновения этого состояния, особенно у пациентов с предрасполагающими факторами.
Одним из ключевых аспектов профилактики является ранняя диагностика и лечение инфекционных заболеваний. Пациенты с диабетом, иммунодефицитом или хроническими заболеваниями должны находиться под постоянным наблюдением врачей, чтобы избежать развития инфекций, которые могут привести к образованию абсцесса. Важно также следить за состоянием кожи и немедленно обращаться за медицинской помощью при появлении признаков инфекции, таких как покраснение, отек или гнойные выделения.
Кроме того, необходимо соблюдать правила асептики и антисептики при проведении инвазивных процедур, таких как эпидуральная анестезия или катетеризация. Неправильное выполнение этих процедур может привести к занесению инфекции в эпидуральное пространство. Врачи должны использовать стерильные инструменты и тщательно обрабатывать кожу перед манипуляциями.
Обучение пациентов также играет важную роль в профилактике. Люди, находящиеся в группе риска, должны быть информированы о симптомах, которые могут указывать на развитие эпидурального абсцесса, таких как сильная боль в спине, лихорадка, слабость или онемение в конечностях. Раннее обращение за медицинской помощью может значительно повысить шансы на успешное лечение и минимизировать риск осложнений.
Наконец, важно учитывать факторы образа жизни, которые могут способствовать развитию инфекций. Поддержание здорового образа жизни, включая правильное питание, регулярные физические нагрузки и отказ от курения, может укрепить иммунную систему и снизить риск инфекционных заболеваний. Также следует избегать чрезмерного употребления алкоголя и наркотиков, которые могут ослабить организм и сделать его более уязвимым к инфекциям.
Вопрос-ответ
Что такое эпидуральный абсцесс позвоночника?
Спинальный эпидуральный абсцесс — ограниченное гнойное воспаление эпидурального спинномозгового пространства. Проявляется острой болью в спине, трансформирующейся в корешковый синдром, появлением и прогрессированием парезов, тазовых расстройств и чувствительных нарушений в соответствии с топикой абсцесса.
Что произойдет, если эпидуральный абсцесс позвоночника оставить без лечения?
Без лечения могут возникнуть серьезные осложнения, такие как: менингит (инфекция мозговых оболочек), абсцесс спинного мозга, инфекция внутри позвоночника или костей черепа.
Советы
СОВЕТ №1
Обратите внимание на симптомы: если вы испытываете сильную боль в спине, онемение или слабость в конечностях, а также лихорадку, немедленно обратитесь к врачу. Раннее выявление спинального эпидурального абсцесса может значительно улучшить прогноз лечения.
СОВЕТ №2
Не игнорируйте факторы риска: если у вас есть хронические заболевания, такие как диабет или иммунодефицит, или вы недавно перенесли хирургическую операцию на позвоночнике, будьте особенно внимательны к своему состоянию и регулярно проходите медицинские осмотры.
СОВЕТ №3
Следуйте рекомендациям врача по лечению: если вам назначено хирургическое вмешательство или антибиотикотерапия, строго придерживайтесь назначенного плана лечения. Это поможет предотвратить осложнения и ускорить процесс выздоровления.
СОВЕТ №4
Обсуждайте свои опасения: если у вас есть вопросы или сомнения относительно лечения или симптомов, не стесняйтесь обсуждать их с вашим врачом. Открытое общение поможет вам лучше понять свое состояние и принять активное участие в процессе лечения.




