Боль в спине — распространённая проблема, сигнализирующая о возможных заболеваниях позвоночника. В интервью с опытным хирургом-ортопедом рассмотрим основные симптомы и причины болезней позвоночника, а также эффективные методы лечения. Статья будет полезна тем, кто испытывает дискомфорт в спине, а также желающим узнать о профилактике и диагностике заболеваний позвоночника.
Взрослые — остеохондроз, дети — сколиоз
-
Какие основные признаки могут указывать на заболевания? Когда стоит обязательно обратиться к врачу?
-
Боль в спине является ключевым симптомом. Необходимо проконсультироваться со специалистом сразу после появления болей в поясничной области – люмбалгии.
Срочным поводом для визита к врачу может стать иррадиация боли из поясницы в ногу или из шеи в руку. Особенно настораживающим признаком является онемение конечности. Эти симптомы могут свидетельствовать о серьезных патологиях позвоночника, таких как межпозвонковые грыжи.
Раннее обследование с использованием современных методов диагностики может предотвратить развитие болезни и избежать более серьезных последствий.
-
Какие причины могут вызывать боли в спине?
-
Причин достаточно много. Наиболее часто повторяющиеся боли связаны с мышечным напряжением, вызванным различными нарушениями в позвоночнике. Такое напряжение может возникать из-за растяжения капсулы фасеточного сустава или микротрещин в фиброзном кольце межпозвонкового диска.
-
Какие заболевания позвоночника являются наиболее распространенными?
-
У взрослых наиболее часто встречается остеохондроз, тогда как у детей распространен сколиоз.
Остеохондроз и сколиоз – это самые распространенные заболевания позвоночника.
-
Какова точность диагностики на современном оборудовании?
-
Точность магнитно-резонансной томографии (МРТ) и компьютерной томографии (КТ) значительно возросла. Ранее на рентгеновских снимках было невозможно увидеть многие патологии, которые теперь доступны для диагностики. Например, гемангиома позвонка – это сосудистое доброкачественное образование, которое можно выявить с помощью современных методов.
-
Кто находится в группе риска по заболеваниям позвоночника? Зависит ли это от пола?
-
Гендерные различия не наблюдаются: как мужчины, так и женщины подвержены одинаковому риску. Группы риска включают людей, занимающихся тяжелым физическим трудом, а также офисных работников, страдающих от гиподинамии.
-
Какие рекомендации вы можете дать для поддержания здоровья позвоночника?
-
Важнейшими факторами являются правильный выбор матраса, достаточная физическая активность, занятия плаванием и поддержание нормального веса.
По мнению врачей, избыточный вес негативно влияет на позвоночник не меньше, чем чрезмерные физические нагрузки или травмы. Каждое увеличение веса, начиная с 500 граммов, может привести к проблемам.
-
Какие факторы оказывают на позвоночник наибольшее негативное влияние?
-
Низкая физическая активность, однообразные движения (например, при некоторых видах работ) и, конечно, проблемы с весом.
Видео: «Острая боль в спине — что делать?»
Боль в спине является одним из наиболее распространенных симптомов, указывающих на возможные проблемы с позвоночником. Хирург-ортопед подчеркивает, что такая боль может быть вызвана различными факторами, включая травмы, дегенеративные изменения или неправильную осанку. Важно понимать, что игнорирование этих симптомов может привести к серьезным последствиям. Врач рекомендует не откладывать визит к специалисту при появлении болей, особенно если они сопровождаются онемением или слабостью в конечностях. Ранняя диагностика и адекватное лечение могут значительно улучшить качество жизни пациента и предотвратить развитие хронических заболеваний. Специалист также акцентирует внимание на важности профилактики, включая регулярные физические нагрузки и правильную ergonomics на рабочем месте.
Боль в спине — это симптом, который знаком многим. Часто люди не придают ему значения, списывая на усталость или неправильную осанку. Однако, по словам хирурга-ортопеда, игнорировать этот сигнал нельзя. Боль может быть признаком серьезных проблем с позвоночником, таких как грыжи межпозвоночных дисков, остеохондроз или даже искривления. Важно помнить, что своевременная диагностика и лечение могут предотвратить развитие осложнений. Специалист рекомендует не откладывать визит к врачу, если боль становится хронической или усиливается. Регулярные физические нагрузки, правильная осанка и забота о здоровье спины помогут снизить риск возникновения болей и сохранить активность на долгие годы.
https://youtube.com/watch?v=dDilxW-o3P0
Наши или зарубежные технологи лечения?
-
Какие самые трудные случаи вам приходилось лечить или оперировать?
-
Оперативное вмешательство при сколиозе является одним из самых сложных и в то же время увлекательных аспектов хирургии позвоночника. Реконструкция может затрагивать практически всю длину позвоночного столба, особенно в случаях нейромышечных деформаций. Это действительно сложные ситуации.
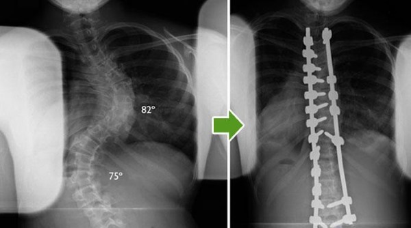
Рентгеновский снимок до и после операции на сколиозе
-
Каково ваше мнение о мануальной терапии? Может ли она быть полезной?
-
Этот метод действительно эффективен, но только при наличии соответствующих показаний и квалифицированного специалиста. Существует множество методик, и выбор конкретной зависит от симптомов, а также от результатов МРТ и КТ.
Обратите внимание на результаты мануальной терапии при лечении позвоночника:
-
Вы проходили стажировку у ведущих специалистов Франции в области вертеброхирургии. Как вы оцениваете этот опыт?
-
Сначала мне посчастливилось обучаться у выдающихся профессоров Луцика А.А. и Раткина И.К. в одной из лучших клиник Новокузнецка.
Во время практики у профессора Шопена в клинике Кале я познакомился с методикой имплантации задних стабилизирующих систем, которая тогда еще не применялась в нашей стране. Я смог увидеть как преимущества, так и недостатки этой техники, а также других подходов. Научился определять, когда операция не показана, и оценивать перспективы состояния позвоночника после вмешательства.
- Как вы считаете, отечественные или зарубежные технологии лечения более эффективны?
Все достижения современной хирургии позвоночника и методы лечения доступны и активно применяются в нашей стране. Современные подходы не имеют границ. Однако их эффективность зависит от того, насколько хирург использует не только свои руки, но и ум.
Слепое повторение опыта может привести к ненужным операциям и осложнениям. Тем не менее, в нашей стране наблюдается меньшая «хирургическая агрессия» и стремление оперировать при первой же возможности по сравнению с зарубежными коллегами.
| Причина боли в спине | Характер боли | Дополнительные симптомы |
|---|---|---|
| Межпозвоночная грыжа | Острая, стреляющая, усиливается при движении, кашле, чихании | Онемение, покалывание, слабость в конечностях, нарушение чувствительности |
| Остеохондроз | Тупая, ноющая, усиливается при нагрузке, длительном сидении/стоянии | Хруст в позвоночнике, ограничение подвижности, головные боли |
| Спондилолистез | Постоянная, ноющая, усиливается при ходьбе, стоянии | Ощущение нестабильности в спине, хромота, слабость в ногах |
| Спондилез | Тупая, ноющая, усиливается при движении, длительном пребывании в одной позе | Скованность в позвоночнике, ограничение подвижности, онемение в конечностях |
| Стеноз позвоночного канала | Ноющая, жгучая, усиливается при ходьбе, стоянии, уменьшается в положении сидя | Слабость, онемение, покалывание в ногах, хромота |
| Воспалительные заболевания (например, анкилозирующий спондилит) | Постоянная, усиливается в покое, уменьшается при движении | Утренняя скованность, ограничение подвижности, боли в суставах |
| Опухоли позвоночника | Постоянная, прогрессирующая, не уменьшается в покое, усиливается ночью | Необъяснимая потеря веса, слабость, онемение, нарушение функции тазовых органов |
| Травмы позвоночника | Острая, локализованная, усиливается при движении | Отек, гематома, деформация позвоночника, нарушение чувствительности, паралич |
Профилактика и упражнения для поддержания здоровья позвоночника
Поддержание здоровья позвоночника является важной задачей для каждого человека, особенно в условиях современного образа жизни, который часто включает длительное сидение, недостаток физической активности и неправильные привычки. Профилактика заболеваний позвоночника и укрепление его мышечного корсета могут значительно снизить риск возникновения болей в спине и других связанных проблем.
Одним из основных аспектов профилактики является регулярная физическая активность. Упражнения, направленные на укрепление мышц спины, живота и ягодиц, помогают поддерживать правильную осанку и распределение нагрузки на позвоночник. Рекомендуется включать в свою программу тренировок такие виды активности, как:
- Плавание: Это один из лучших способов укрепить мышцы спины, так как вода поддерживает тело и снижает нагрузку на суставы.
- Йога: Занятия йогой помогают улучшить гибкость, укрепить мышцы и развить осознанность своего тела, что способствует правильной осанке.
- Физическая терапия: Специальные упражнения, назначенные физиотерапевтом, могут помочь в восстановлении после травм и улучшении общей функциональности позвоночника.
Кроме того, важно обращать внимание на правильную осанку как при сидении, так и при стоянии. Неправильная осанка может привести к перегрузке мышц и связок, что в свою очередь может вызвать болевые ощущения. Рекомендуется следить за тем, чтобы спина была прямая, а плечи расслаблены. При длительной работе за компьютером стоит делать перерывы, чтобы размяться и изменить положение тела.
Также стоит обратить внимание на выбор мебели. Ортопедические матрасы и стулья, поддерживающие естественные изгибы позвоночника, могут существенно снизить риск возникновения болей. При сидении важно, чтобы ноги были на полу, а колени находились на уровне бедер.
Не менее важным аспектом является правильное поднятие тяжестей. При подъеме тяжелых предметов следует использовать ноги, а не спину, сгибая колени и удерживая предмет близко к телу. Это поможет избежать ненужной нагрузки на позвоночник.
Наконец, регулярные медицинские осмотры и консультации с врачом помогут выявить потенциальные проблемы на ранних стадиях. Если вы замечаете постоянные или усиливающиеся боли в спине, важно не откладывать визит к специалисту, так как ранняя диагностика и лечение могут предотвратить серьезные осложнения.
https://youtube.com/watch?v=xfJctMAC2-E
Вопрос-ответ
Как объяснить врачу, что такое боль в спине?
Такие слова, как «колющая», «стреляющая», «ноющая» или «электрическое покалывание в руке или ноге», полезны для описания боли в спине вашему врачу. Меняется ли ваша боль со временем? Если вы испытываете боль только в определенное время, например, ночью, сидя или после пробуждения, важно это отметить.
https://youtube.com/watch?v=NZEZhLeWvOQ
Боли в спине лечатся у ортопеда?
Почему при болях в спине следует обратиться к ортопеду? Ортопед — это специалист по болям в мышцах и суставах. Этот специалист обладает углубленными знаниями и подготовкой для диагностики и лечения различных проблем со здоровьем, в том числе связанных с мышцами и костями спины и позвоночника.
Какие три основных фактора помогают при болях в спине?
На первый взгляд, «Большая тройка» Макгилла может показаться простыми упражнениями. Но не стоит обманываться – они очень эффективны. Эти три упражнения – «собака-птица», боковая планка и модифицированный подъем туловища. Каждое упражнение задействует определенные мышцы корпуса и спины, помогая улучшить стабильность и уменьшить боль.
Советы
СОВЕТ №1
Регулярно выполняйте упражнения для укрепления мышц спины и живота. Это поможет поддерживать правильную осанку и снизит нагрузку на позвоночник.
СОВЕТ №2
Обратите внимание на свою осанку, особенно если вы много времени проводите за компьютером. Используйте эргономичную мебель и делайте перерывы для разминки.
СОВЕТ №3
Не игнорируйте боль в спине. Если она не проходит в течение нескольких дней или усиливается, обязательно обратитесь к врачу для диагностики и лечения.
СОВЕТ №4
Следите за своим весом. Избыточная масса тела увеличивает нагрузку на позвоночник, что может привести к различным проблемам. Правильное питание и физическая активность помогут поддерживать здоровый вес.

