Механизм заболевания
Арахноидит, затрагивающий головной или спинной мозг, представляет собой серозное воспаление уникальной структуры, находящейся между твердой верхней оболочкой и глубокой мягкой. Эта структура, напоминающая тонкую паутину, и получила название паутинная оболочка. Она образована соединительной тканью и образует настолько тесную связь с мягкой оболочкой мозга, что их часто рассматривают как единое целое.
Паутинная оболочка отделена от мягкой оболочки субарахноидальным пространством, в котором находится спинномозговая жидкость. В этом пространстве располагаются кровеносные сосуды, обеспечивающие питание данной структуры.
Из-за особенностей своего строения воспаление паутинной оболочки не бывает локализованным и охватывает всю систему. Инфекция может проникать сюда через твердую или мягкую оболочку.
Воспалительный процесс при арахноидите проявляется в виде утолщения и помутнения оболочки. Между сосудами и паутинной структурой образуются спайки, что затрудняет циркуляцию спинномозговой жидкости. Со временем могут формироваться арахноидальные кисты.
Арахноидит приводит к повышению внутричерепного давления, что может вызвать развитие гидроцефалии по двум основным причинам:
- недостаточный отток жидкости из желудочков мозга;
- затруднение всасывания спинномозговой жидкости через внешнюю оболочку.
Арахноидит, воспаление паутинной оболочки мозга и спинного мозга, проявляется разнообразными симптомами, которые могут значительно ухудшить качество жизни пациента. Врачи отмечают, что наиболее распространёнными признаками являются головные боли, которые могут быть постоянными или приступообразными, а также неврологические расстройства, такие как слабость в конечностях, нарушения чувствительности и проблемы с координацией. В некоторых случаях наблюдаются эпизоды судорог и изменения в психическом состоянии.
Лечение арахноидита требует комплексного подхода. Врачи рекомендуют использовать противовоспалительные препараты для снятия воспаления, а также анальгетики для облегчения болевого синдрома. Важно также проводить физиотерапию и реабилитацию, чтобы восстановить функции нервной системы. В случаях, когда консервативные методы не приносят результата, может потребоваться хирургическое вмешательство для устранения спаек или других осложнений. Врачи подчеркивают, что ранняя диагностика и адекватное лечение играют ключевую роль в успешном восстановлении пациентов.
https://youtube.com/watch?v=eHAFhrPhgGI
Симптомы недуга
Представляют собой сочетание признаков общего мозгового расстройства с некоторыми симптомами, указывающими на конкретную область повреждений.
При любом виде арахноидита наблюдаются следующие расстройства:
- головная боль – обычно наиболее выраженная в утренние часы, может сопровождаться рвотой и тошнотой. Она может быть локализованной и усиливаться при физических нагрузках, таких как натуживание, попытки подпрыгнуть или неудачные движения, когда под пятками оказывается твердая поверхность;
- головокружение;
- часто возникают проблемы со сном;
- отмечаются раздражительность, нарушения памяти, общая слабость, беспокойство и другие симптомы.
Поскольку паутинная оболочка воспаляется в целом, говорить о локализации заболевания нецелесообразно. Ограниченный арахноидит подразумевает наличие выраженных нарушений в определенной области на фоне общего воспалительного процесса.
Локализация очага заболевания определяет следующие симптомы:
- конвекситальный арахноидит проявляется преобладанием признаков раздражения мозга над нарушениями его функциональности. Это может выражаться в судорогах, напоминающих эпилептические;
- если отек преимущественно локализован в затылочной области, то наблюдается ухудшение зрения и слуха. Может происходить выпадение полей зрения, при этом состояние глазного дна указывает на неврит зрительного нерва;
- возникает повышенная чувствительность к изменениям погоды, сопровождающаяся ознобом или обильным потоотделением. Иногда отмечается увеличение веса и жажда;
- арахноидит моста мозжечкового угла проявляется приступообразной болью в затылке, грохочущими шумами в ушах и головокружением. При этом нарушается равновесие;
- при арахноидите затылочной цистерны появляются симптомы поражения лицевых нервов. Этот тип заболевания развивается остро и сопровождается значительным повышением температуры.
Лечение заболевания начинается только после определения очага воспаления и оценки степени повреждений.
| Симптом | Возможная причина (в рамках арахноидита) | Рекомендации/Лечение |
|---|---|---|
| Головная боль (часто хроническая, тупая, давящая) | Воспаление арахноидальной оболочки, сдавливание нервных окончаний | Анализы (МРТ, КТ), обезболивающие препараты (НПВС), противовоспалительные средства, физиотерапия |
| Головокружение, нарушение координации | Нарушение кровообращения в головном мозге, воспаление | Анализы (МРТ, КТ), вестибулярная реабилитация, медикаментозная терапия (в зависимости от причины) |
| Тошнота и рвота | Повышенное внутричерепное давление, раздражение нервных центров | Анализы (МРТ, КТ), противорвотные препараты, коррекция внутричерепного давления |
| Шум в ушах (тиннитус) | Раздражение слухового нерва, нарушение кровообращения | Анализы (МРТ, КТ), консультация отоларинголога, медикаментозная терапия (в зависимости от причины) |
| Нарушение зрения (двоение, снижение остроты зрения) | Сдавливание зрительного нерва, нарушение кровообращения | Анализы (МРТ, КТ), консультация офтальмолога, медикаментозная терапия (в зависимости от причины) |
| Онемение или слабость в конечностях | Сдавливание спинного мозга или нервных корешков | Анализы (МРТ, КТ), физиотерапия, медикаментозная терапия (в зависимости от причины) |
| Эпилептические припадки | Раздражение коры головного мозга | Анализы (МРТ, КТ), противосудорожные препараты, консультация невролога |
| Психические расстройства (депрессия, тревожность) | Влияние воспаления на мозговую активность | Психотерапия, медикаментозная терапия (антидепрессанты, анксиолитики), консультация психиатра |
Причины недуга
Воспалительные процессы и образование арахноидальной кисты часто возникают вследствие первичного повреждения, которое может быть как механическим, так и инфекционным. Тем не менее, в ряде случаев причина воспаления остается неясной.
К основным факторам, способствующим этому, относятся:
- острые или хронические инфекции – такие как пневмония, синусит, ангина, менингит и другие;
- хронические интоксикации – например, алкогольное отравление, отравление свинцом и подобные состояния;
- травмы – посттравматический церебральный арахноидит часто возникает в результате ушибов позвоночника и черепно-мозговых травм, даже если они были закрытыми;
- в редких случаях причиной могут быть нарушения в функционировании эндокринной системы.
Арахноидит — это воспаление арахноидальной оболочки головного и спинного мозга, которое может проявляться различными симптомами. Люди, страдающие от этого заболевания, часто отмечают сильные головные боли, которые могут быть постоянными или приступообразными. Также характерны неврологические расстройства, такие как онемение, слабость в конечностях и нарушения координации. Некоторые пациенты сообщают о проблемах с памятью и концентрацией, что значительно ухудшает качество жизни.
Лечение арахноидита может быть сложным и требует комплексного подхода. Врач может назначить противовоспалительные препараты, анальгетики и физиотерапию. В некоторых случаях может потребоваться хирургическое вмешательство для устранения причин воспаления. Важно, чтобы пациенты не игнорировали симптомы и обращались за медицинской помощью, так как ранняя диагностика и адекватное лечение могут значительно улучшить прогноз и снизить риск осложнений.
https://youtube.com/watch?v=MnVEG_gEkJg
Виды заболевания
В процессе диагностики заболевания применяются различные методы классификации, которые основываются на локализации и характере протекания болезни.
Течение воспаления
В большинстве случаев данное расстройство не вызывает резких болей или повышения температуры, что затрудняет его диагностику и может привести к запоздалому обращению за медицинской помощью. Однако существуют и исключения.
- Острое течение – наблюдается, например, при арахноидите в области большой цистерны, сопровождается рвотой, повышением температуры и интенсивной головной болью. Это воспаление, как правило, успешно лечится без последствий.
- Подострое – встречается наиболее часто. В этом случае проявляются слабо выраженные симптомы общего расстройства, такие как головокружение, бессонница, слабость, а также признаки нарушения работы определенных участков мозга – проблемы со слухом, зрением, равновесием и другие.
- Хроническое – если заболевание игнорируется, воспаление быстро переходит в хроническую форму. При этом симптомы общемозгового расстройства становятся все более выраженными, а проявления, связанные с очагом недуга, постепенно усиливаются.
https://youtube.com/watch?v=TYr1delfwQ4
Локализация арахноидита
Все заболевания данного типа делятся на две основные категории: церебральный арахноидит, который представляет собой воспаление паутинной оболочки головного мозга, и спинальный арахноидит, связанный с воспалением оболочки спинного мозга. В зависимости от локализации, болезни головного мозга подразделяются на конвекситальный и базальный.
Поскольку лечение направлено на воздействие на наиболее пораженные участки, классификация, основанная на области наибольших повреждений, является более детализированной.
- Церебральный арахноидит может локализоваться на основании, на выпуклой поверхности, а также в заднечерепной ямке. Симптоматика включает в себя как общие расстройства, так и признаки, связанные с очагом воспаления.
- Конвекситальный арахноидит затрагивает поверхность больших полушарий и извилины. Поскольку эти области отвечают за моторные и сенсорные функции, давление, создаваемое образовавшейся кистой, может вызывать нарушения чувствительности кожи: от притупления до сильного обострения и болезненной реакции на холод и тепло. Раздражение в этих зонах может приводить к возникновению припадков, напоминающих эпилептические.
- Слипчивый церебральный арахноидит диагностируется с трудом. Из-за отсутствия четкой локализации симптомы остаются общими и могут быть характерны для множества других заболеваний.
- Оптико-хиазмальный арахноидит относится к воспалениям основания. Его наиболее заметным признаком на фоне общемозговых симптомов является снижение остроты зрения. Заболевание развивается медленно, и для него характерно поочередное поражение глаз: зрение ухудшается из-за сдавливания зрительного нерва при образовании спаек. В диагностике этой формы заболевания важно обследование глазного дна и полей зрения, так как степень нарушения зрения зависит от стадии болезни.
- Воспаление паутинной оболочки задней черепной ямки является распространенной формой заболевания. Для острого течения характерно повышение внутричерепного давления, что проявляется головной болью, рвотой и тошнотой. При подостром течении эти симптомы становятся менее выраженными, а на первый план выходят расстройства вестибулярного аппарата и координации движений. Пациент может терять равновесие при наклоне головы, а при ходьбе движения ног не синхронизированы с наклоном торса, что приводит к специфической неустойчивой походке.
Кистозный арахноидит в этой области может проявляться различными симптомами, в зависимости от характера спаек. Если давление не повышается, заболевание может длиться годами, проявляясь временной потерей координации или постепенно ухудшающимся равновесием.
Наихудшим последствием арахноидита является тромбоз или резкая непроходимость в пораженной области, что может привести к серьезным нарушениям кровообращения и ишемии головного мозга.
Ишемия головного мозга.
Спинальный арахноидит классифицируется по типам: кистозный, слипчивый и слипчиво-кистозный.
- Слипчивый арахноидит часто протекает без выраженных признаков. Могут наблюдаться межреберная невралгия, ишиас и подобные состояния.
- Кистозный арахноидит вызывает сильные боли в спине, обычно с одной стороны, которые затем могут охватывать и вторую сторону. Движение становится затрудненным.
- Кистозно-слипчивый арахноидит проявляется потерей чувствительности кожи и затруднениями в движениях. Протекание болезни может быть разнообразным и требует тщательной диагностики.
Диагностика недуга
Даже самые ярко выраженные проявления арахноидита, такие как головокружение, эпизоды головной боли, сопровождающиеся тошнотой и рвотой, часто не вызывают у пациентов серьезного беспокойства. Приступы могут возникать от одного до четырех раз в месяц, и только наиболее тяжелые из них продолжаются достаточно долго, чтобы заставить человека обратить внимание на свое состояние.
Поскольку симптомы этого заболевания пересекаются с множеством других расстройств центральной нервной системы, для постановки точного диагноза необходимо провести ряд диагностических исследований. Их назначает врач-невролог.
- Осмотр у офтальмолога – оптико-хиазмальный арахноидит является одним из наиболее распространенных типов заболевания. У 50% пациентов с воспалением задней черепной ямки наблюдается застой в области зрительного нерва.
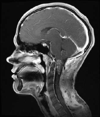
- МРТ – этот метод обладает высокой точностью, достигающей 99%. МРТ позволяет оценить изменения в паутинной оболочке, определить местоположение кисты и исключить другие заболевания с похожими симптомами, такие как опухоли и абсцессы.
- Рентгенография – с помощью этого метода выявляют внутричерепную гипертензию.
- Анализ крови – обязательно проводится для определения наличия или отсутствия инфекций, состояний иммунодефицита и других факторов. Это помогает выявить первопричину арахноидита.
Только после полного обследования специалист, возможно, в составе группы врачей, назначает соответствующее лечение. Курс терапии, как правило, требует повторения через 4–5 месяцев.
Лечение
Лечение воспаления оболочек мозга проходит в несколько ключевых этапов.
- Сначала необходимо устранить основное заболевание, такое как синусит или менингит. Для этого применяются антибиотики, антигистаминные препараты и десенсибилизирующие средства, например, димедрол или диазолин.
- На следующем этапе назначаются рассасывающие препараты, которые способствуют нормализации внутричерепного давления и улучшают обменные процессы в мозге. Это могут быть биологические стимуляторы и йодистые средства, такие как йодид калия. В виде инъекций используются лидаза и пирогенал.
- Также применяются противоотечные и мочегонные препараты, такие как фурасемид и глицерин, которые помогают предотвратить накопление жидкости.
- В случае появления судорог назначаются противоэпилептические средства.
При кистозно-слипчивом арахноидите, когда циркуляция спинномозговой жидкости значительно затруднена и консервативное лечение не приносит результатов, могут быть проведены нейрохирургические операции для удаления спаек и кист.
Арахноидит успешно поддается лечению, особенно если обратиться к врачу на ранних стадиях острого воспаления, что позволяет избежать серьезных последствий. Прогноз в отношении жизни, как правило, благоприятный. Однако при переходе заболевания в хроническую форму с частыми рецидивами может наблюдаться снижение трудоспособности, что требует перевода на менее напряженную работу.
Вопрос-ответ
Какие неврологические проблемы вызывает арахноидит?
Базилярный арахноидит – расстройства памяти и внимания, ухудшение умственных способностей. Конвекситальный арахноидит – нарушения моторики конечностей и чувствительности, приступы эпилепсии. Поражение задней черепной ямки – симптоматика невралгии тройничного нерва, неврита лицевого нерва, сбои в координации.
Как МРТ покажет арахноидит головного мозга?
Слипчивый арахноидит характеризуется слипанием нервных корешков и спинного мозга, которые могут выглядеть как слипшиеся пучки на МРТ-снимках. Этот признак лучше всего виден на Т2-взвешенных изображениях. Повышенный сигнал от окружающих тканей на Т2-взвешенных изображениях указывает на отек и воспаление.
Советы
СОВЕТ №1
Обратите внимание на симптомы: Арахноидит может проявляться различными симптомами, такими как головные боли, нарушения координации, онемение или покалывание в конечностях. Если вы заметили у себя подобные проявления, не откладывайте визит к врачу.
СОВЕТ №2
Регулярно проходите медицинские обследования: Если у вас есть предрасположенность к заболеваниям нервной системы или вы перенесли травмы головы, важно регулярно проходить обследования, чтобы вовремя выявить возможные проблемы.
СОВЕТ №3
Следите за своим образом жизни: Здоровое питание, регулярные физические нагрузки и отказ от вредных привычек могут помочь укрепить вашу нервную систему и снизить риск развития арахноидита.
СОВЕТ №4
Не занимайтесь самолечением: Если у вас уже диагностирован арахноидит, строго следуйте рекомендациям врача и не пытайтесь лечиться самостоятельно, так как это может усугубить ваше состояние.




