Россия, Саратов, им. Чемодурова В.И. улица
Телефон:
+7 (845) 262-07- Показать номер
Пн-пт: 08:00—20:00; сб: 09:00—16:00 по предварительной записи
whatsapp telegram vk email

Насколько опасна киста прозрачной перегородки головного мозга?

Специалисты под межполушарной щелью подразумевают промежуток между полушариями человеческого мозга. У новорожденных детей при своевременном развитии не возникает проблем с самочувствием и адаптацией к окружающему миру. Своевременная диагностика отклонений и грамотное лечение имеют огромное значение для малышей.

Что такое межполушарная щель

В процессе изучения головного мозга ребенка с помощью УЗИ, томограммы, нейросографии специалисты могут обнаружить патологические изменения, также оцениваются параметры межполушарной щели. Промежуток не должен быть более 3 мм – это нормальная анатомическая характеристика ребенка.

У новорожденных детей промежуток между полушариями мозга способен превышать стандартные значения по следующим причинам:

  • Накопление между полушариями жидкости.
  • Болезнь женщины во время вынашивания ребенка.
  • Родовспоможение путем кесарева сечения.

Расширение субарахноидального пространства и его причины

Изменение размеров и давления в подпаутинном пространстве является зачастую признаком воспалительного процесса или опухоли.

Механизм развития таких изменений достаточно прост. Воспалительный процесс (чаще арахноидит или менингит) усиливает продукцию ликвора, что постепенно растягивает субарахноидальное пространство. При опухолевом процессе создаётся механическая преграда для оттока спинномозговой жидкости, что является следствием локального повышения давления и образования расширений в определённом участке желудочковой системы мозга. Однако возможны и другие варианты, которые могут привести к расширению субарахноидального пространства. В частности, временное изменение размеров ликвороциркулирующей системы возможно при реактивном отёке мозга и уменьшении внутричерепного пространства за счёт гематомы или абсцесса.

Как оценивается ее размер

Необходимо подчеркнуть, что расстояние между полушариями человеческого мозга, не превышающее нормативные значения, не относятся к патологии – это анатомическая характеристика конкретного ребенка.

Для выявления отклонений по габаритам межполушарной щели выполняют нейросонографию. В процессе диагностики применяют УЗД-датчики, исследование осуществляется через височную область, передний или задний родничок. Современное диагностическое исследование показано детям, не достигшим годовалого возраста. Во время обследования четко отслеживается эхографическая визуализация мозга.

Прозрачная перегородка головного мозга: описание, назначение, норма, патология и лечение

Головной мозг — это важнейший орган человека, от работы которого напрямую зависит функционирование всего организма. Это сложная структура, состоящая из нескольких отделов, каждый из которых выполняет четко обозначенные функции. В этой статье рассмотрено, что такое прозрачная перегородка головного мозга.

Определение термина

В конечном мозге расположены две пластины из мозговой ткани, находящиеся параллельно друг к другу. Эти пластины и называются прозрачной перегородкой. Между ними образована полость, наполненная спинномозговой жидкостью. Располагается эта структура в промежутке между передней частью головного мозга и мозолистым телом.

Перегородка в норме

Когда человеческий эмбрион находится на стадии развития, указанная полость присутствует всегда, однако примерно через полгода после рождения она закрывается. Примерно в 15 % случаев в норме полость прозрачной перегородки остается.

Данная структура не так хорошо изучена, однако специалисты делают выводы, что незаращение полости происходит вследствие воздействия алкоголя на плод во время беременности. Незаросшая полость, как правило, не оказывает существенного клинического влияния на функционирование организма.

Полость может быть различного размера, в некоторых случаях она достигает 45 миллиметров. Из-за полной обособленности этого образования от желудочков мозга в некоторых случаях полость именуют пятым желудочком, однако это определение нельзя считать полностью верным.

Патологии перегородки

Иногда возникают случаи патологических образований прозрачной перегородки, а также разного рода пороки развития, когда возникает состояние, угрожающее здоровью.

К такого рода патологиям относятся:

  • киста полости перегородки;
  • агенезия перегородки.

Как и в случае с другими заболеваниями мозговых тканей, необходимо обращать пристальное внимание на подобные нарушения и своевременно наблюдаться у врачей, чтобы не допустить серьезных осложнений.

Киста: симптомы и постановка диагноза

Диагноз кисты полости прозрачной перегородки мозга ставится после проведения МРТ головного мозга и наблюдается примерно у четверти пациентов. Киста может носить как врожденный, так и приобретенный характер.

Для врожденной кисты характерно то, что она появляется в результате генетической предрасположенности или нарушений развития плода во время беременности.

Причинами возникновения приобретенной кисты могут стать перенесенные инфекционные заболевания мозговых оболочек, кровоизлияния и даже серьезные психические травмы. Самой распространенной причиной считается перенесенный менингит.

У недоношенных детей это образование наблюдается практически всегда и, как правило, не требует лечения, а проходит самостоятельно.

По некоторым сведениям, область полости прозрачной перегородки — это одно из самых безопасных мест возникновения кисты в мозгу. Однако это не означает, что нужно игнорировать этот диагноз. В любом случае нужно получить консультацию невропатолога, который порекомендует необходимую терапию.

Если киста перегородки врожденная, то она не требует какой-либо специальной терапии, достаточно регулярно проходить профилактические осмотры у невропатолога или нейрохирурга.

При приобретенной кисте наблюдают следующие симптомы:

  • головная боль, периодически усиливающаяся;
  • появление шума в ушах;
  • неприятное давящее ощущение внутри головы.

Для установления диагноза проводят комплекс мероприятий, включающих в себя МРТ, ультразвуковое исследование, а также анализ крови и проверку кровяного давления.

Терапия кисты

Часто киста прозрачной перегородки мозга не требует специальной терапии, проводится лишь тщательное наблюдение и контроль ее роста. Иногда размер кисты становится настолько велик, что она начинает давить на близлежащие отделы мозга и мешает их нормальному функционированию. Тогда невропатолог назначает лечение.

В большинстве случаев врачом устанавливается причина ускоренного роста кисты и назначается терапия исходного заболевания, тогда рост образования прекращается, и киста полости прозрачной перегородки перестает представлять опасность. Обычно выполняется комплекс мероприятий по стимуляции кровообращения мозга и снижению ВЧД.

Если консервативное лечение не приносит результата, прибегают к оперативному лечению — при помощи специального зонда в стенках кисты создаются отверстия, через которые выходит жидкость, полость образования уменьшается.

Агенезия перегородки: симптомы

Агенезия прозрачной перегородки — серьезная врожденная патология развития головного мозга, обусловленная неправильным развитием мозолистого тела у плода.

Это очень редкая аномалия ЦНС, обусловленная, в основном, наследственными факторами, генетическими мутациями и недостаточностью поступления питательных веществ к эмбриону.

Еще одной причиной могут выступать токсичные препараты, которые женщина принимает во время беременности.

При рождении дети с этой патологией практически ничем не отличаются от здоровых, клинические признаки начинают проявляться в возрасте 2-3 месяцев.

К основным симптомам агенезии полости прозрачной перегородки относятся:

  • образование кистозных полостей в тканях мозга;
  • атрофия слуховых и зрительных нервов;
  • припадки и приступы;
  • микроэнцефалия.

Как правило, этот порок развития мозга предварительно диагностируется во втором триместре беременности (после 18 недели) и подтверждается комплексом диагностических мероприятий уже после рождения. Проводится ультразвуковое исследование головного мозга новорожденного, КТ головы, при необходимости МРТ и нейросонография.

Терапия и прогноз агенезии перегородки мозга

Проводится консервативное лечение, преимущественно противосудорожными препаратами и кортикостероидными гормонами. Терапия направлена на устранение серьезных и опасных симптомов, представляющих опасность для ребенка. Специфических средств коррекции отсутствия перегородки не существует.

Если агенезия не осложняется сопутствующими пороками мозга, то развитие ребенка протекает нормально или с небольшими неврологическими нарушениями. Однако в тех случаях, когда имеются осложнения в виде других пороков развития головного мозга, могут быть последствия в виде умственной отсталости, снижения способности к обучению и других серьезных отклонений.

Заключение

Врожденные патологии прозрачной перегородки мозга обычно обусловлены генетически и требуют регулярного наблюдения у невропатолога или нейрохирурга. В качестве профилактики приобретенных в течение жизни патологий перегородки рекомендуется избегать осложнений на мозг после инфекционных болезней, травм и сотрясений, психических потрясений.

Как проводится процедура

Как только малыш достигает 1 месяца отроду в рамках скрининговой диагностики проводится эта процедура. Повторные обследования осуществляются в 3 и 6-месячаном возрасте.

Такой диагностической процедуры бояться не стоит. Для ребенка оно не представляет никакой опасности, по времени оно не занимает более 10 минут. Диагностическое обследование выполняет врач высшей квалификации, способный интерпретировать полученную информацию. В заключении при необходимости прописывается перечень дополнительных исследований.

Во время диагностики ребенок не подвергается неприятным или болезненным процедурам, в восстановлении после процедуры нет необходимости. Поэтому у родителей не должно возникать какого-либо беспокойства по поводу диагностического обследования.

Киста прозрачной перегородки головного мозга – что это и как лечить – Нервы

Новообразования, которые локализуются в мозгу, могут привести к опасным осложнениям. Удалять доброкачественные опухоли стараются в редких случаях, поскольку вмешательство в мозговую деятельность непредсказуемо.

Киста прозрачной перегородки головного мозга, которая также носит название киста Верге, часто обнаруживается у совершенно здоровых людей. Эта патология может рассасываться самопроизвольно и иногда не требует лечения.

Часто обнаруживается у совершенно здоровых людей.

Механизм развития и причины

Чтобы понять, что такое новообразование этого типа, нужно знать строение мозга. Он состоит из нескольких оболочек. Прозрачная перегородка разделяет части головного мозга между собой. Она состоит из двух пластинок, содержащих ткани мозгового вещества, которые отделены небольшой полостью.

Строение головного мозга.

Между этими двумя пластинами также циркулирует спинномозговая жидкость. Если происходит ее избыточное скопление, то внутри формируется заполненная содержимым капсула. Нарушение циркуляции жидкости часто сопровождается такими состояниями, как аномалия Арнольда, сбой в передвижениях нервных клеток и проч.

Изначально киста в мозге может быть врожденной или приобретенной. Если патология прозрачной перегородки обнаружилась в период беременности или после родов, это свидетельствует о нарушениях внутриутробного развития. Новообразование практически наверняка возникает у недоношенных младенцев. Киста может рассасываться самопроизвольно и редко сопровождается неприятными симптомами.

Второй тип доброкачественной опухоли в мозгу – приобретенный. Появлению уплотнения прозрачной перегородки способствуют следующие причины:

Может являться последствием механических травм.

  • ранее перенесенные заболевания инфекционного характера;
  • воспалительные процессы в тканях мозга;
  • болезни нервной системы;
  • механические травмы (удары, сотрясения и проч.);
  • кровоизлияния.

Чаще всего киста не представляет опасности для жизни человека. Обычно новообразование прозрачной перегородки не превышает нескольких миллиметров в диаметре. Максимальный размер утолщения мозга – несколько сантиметров. В этом случае возникнут неприятные симптомы, а развитие процесса приведет к появлению тяжелых последствий.

Места локализации

В большинстве случаев киста располагается между сводом мозолистого тела и передней частью головного мозга. Реже встречаются ситуации, когда она появляется в передней части перегородки или в области мозжечка.

Признаки

Новообразование небольшого диаметра не оказывает существенного влияния на состояние человека. При увеличении его размеров появляются следующие симптомы:

Приступообразная головная боль, чувство сжатия.

  • приступообразная головная боль, против которой бессильны стандартные препараты;
  • пациент ощущает, будто голову сжимает обруч;
  • со временем появляются проблемы со зрением и слухом, ощущается посторонний шум;
  • наблюдаются перепады давления, что сказывается на самочувствии;
  • из-за сильного давления кисты в черепно-мозговой области может нарушаться двигательная активность. Появляется дрожание конечностей, они немеют.

Возможные осложнения заболевания

Неприятные последствия связаны с крупным размером кисты. Если она активно растет, то вскоре у пострадавшего возникнут перепады давления или его показатели значительно превысят норму. Нарушается поступление кислорода в ткани и сосуды, что вызывает сбой в работе внутренних органов.

Со временем новообразование может трансформироваться в злокачественную опухоль. Опасным осложнением является атрофия тканей мозга. В тяжелых случаях эта патология вызывает паралич. Следующее осложнение – водянка, при которой внутренние органы могут отказывать. Еще одно возможное последствие – инсульт.

Методы современной диагностики

При любых подозрениях на формирование кисты следует немедленно обратиться к врачу. Для уточнения диагноза используют методы современной диагностики, которые позволят быстро определить характер опухоли:

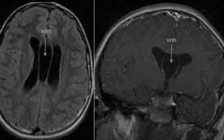
  • МРТ – один из самых показательных способов постановки диагноза. При проведении исследования выявляют любые патологические изменения, которые происходят в прозрачной перегородке. Уточняют место локализации кисты, ее диаметр и структуру;МРТ – один из самых показательных способов постановки диагноза.
  • анализ крови позволяет выяснить, нет ли дополнительных очагов воспаления, а также иных отклонений от норм. При исследовании определяют уровень холестерина, чтобы исключить наличие тромбов;
  • ЭКГ – стандартная процедура, при которой оценивают сердечную деятельность;
  • УЗИ определяет, нет ли отклонений в сосудистой деятельности.

Врач может назначить дополнительные исследования, если возникла такая необходимость. Только после проведения всех диагностических процедур подбирают индивидуальное лечение.

Лечение

Достаточно часто небольшая киста в мозге не требует вообще никакого лечения. Это происходит в тех случаях, когда новообразование безопасно для пациента и не вызывает никакого дискомфорта. Для контроля за его размерами назначают регулярную МРТ мозга. Иногда опухоль рассасывается самопроизвольно.

Также применяют консервативное лечение. К нему прибегают, когда утолщение начинает расти. Пациенту могут назначить следующие виды препаратов:

Применяют средства для улучшения кровообращения.

  • ноотропные медикаменты;
  • средства для улучшения кровообращения в тканях мозга;
  • препараты для рассасывания тромбов;
  • диуретики.

Медикаменты, которые прописывает врач, способствуют выведению лишней жидкости из полости и восстановлению нормальных функций прозрачной перегородки. При медикаментозном лечении есть высокий шанс того, что пациент больше не столкнется с неприятными симптомами.

Если консервативная терапия не помогла, и киста увеличилась в размерах настолько, что угрожает жизни и здоровью пациента, выбирают хирургическое вмешательство. Оно направлено на то, чтобы восстановить правильную циркуляцию жидкости в мозге.

Операцию проводят методом зондирования. Для этого зонд вводят в ту область мозга, где скопилась жидкость. Затем делают микроскопические разрезы, через которые откачивают содержимое капсулы.

Если у кисты была только одна камера, после процедуры человек забудет о проблеме. Но при разрастании клеток и формировании множественных полостей существует вероятность рецидива.

В 20% случаев опухоль вновь проявит себя.

Операцию проводят методом зондирования.

После хирургического вмешательства пациенту необходимо проходить регулярные проверки, чтобы исключить риск повторного образования кисты. Нельзя применять средства народной медицины без согласования лечащего врача и рассчитывать только на их эффект. Этот тип новообразования опасен, поскольку провоцирует множественные осложнения.

Киста прозрачной перегородки не всегда требует лечения или оперативного вмешательства. Достаточно часто она не доставляет неприятных ощущений человеку и не увеличивается в размерах. Если же доброкачественная опухоль угрожает здоровью, используют медикаментозную терапию, а в наиболее тяжелых случаях назначают хирургическое вмешательство.

Насколько опасна киста прозрачной перегородки головного мозга?

Новообразования в структурах головного мозга требуют контроля и адекватного лечения, поскольку их наличие нарушает работу центральной нервной системы и создает риск летального исхода.

Полости, заполненные жидкостью, также относят к разряду новообразований, которые имеют тенденцию к разрастанию и способны приобретать как доброкачественный, так и злокачественный характер.

Киста прозрачной перегородки головного мозга – аномальное явление, развитие которого начинается еще на ранних стадиях формирования плода.

Описание патологии

Прозрачная перегородка головного мозга представляет собой мозговую ткань в виде двух тонких пластин. Между ними располагается полость, по форме напоминающую щель.

Ее назначение состоит в разграничении сфер мозолистого тела и передней части головного мозга. Роль перегородки в общей работе органа до конца не выяснена.

Тем не менее, известно, что отсутствие данного элемента свидетельствует о различных пороках развития мозга.

При нормальном состоянии между пластинами, формирующими прозрачную перегородку, содержится ликвор. Если в этой полости происходит скопление жидкости, то речь идет о формировании кисты или полости Верге.

Это патологическое явление представляет собой полостное образование, подобное капсуле, внутри которого содержится жидкость. Стенки кисты достаточно плотные. Когда ее размеры достигнут определенных показателей, капсула станет оказывать давление на окружающие ткани, что спровоцирует сдавливание сосудов и повышение внутричерепного давления.

Киста прозрачной перегородки головного мозга диагностируется у 60% новорожденных. Если ребенок рождается недоношенным, подобная аномалия присутствует у него обязательно.

Часто отклонение никак не проявляется, поэтому обнаруживают кисту случайно, в ходе комплексных обследований. Но иногда рост новообразования провоцирует частые боли в области головы, потерю памяти, нарушение зрительных функций. Согласно статистике, киста рассасывается самостоятельно в 85% случаев.

Непосредственной опасности здоровью кистозное образование не представляет. Тем не менее при его неконтролируемом разрастании могут произойти необратимые изменения в структурах головного мозга, что отражается на состоянии человека и функционировании его организма в целом.

О способах диагностики и лечения ВЧД читайте здесь.

  • О причинах появления кисты в головном мозге расскажет руководитель отделения нейрохирургии Ростовской клинической больницы Карен Айрапетов:
  • Киста прозрачной перегородки мозга может быть как врожденной, сформировавшейся у плода в процессе внутриутробного развития, так и приобретенной, что может быть связано с полученными травмами, сотрясениями, воспалительными процессами.
  • Обычно максимальные размеры кисты не превышают 4 мм, хотя не исключен риск неконтролируемого разрастания новообразования.

Медики не считают описанное новообразование серьезной патологией, которая угрожает жизни пациента, а причисляют его к разряду аномалий развития.

Причины, которые способствуют формированию кисты

Появление полостей между мозговыми тканями может быть вызвано такими факторами:

  • Черепно-мозговые травмы;
  • Воспалительные процессы, распространяющиеся на оболочки головного мозга;
  • Перенесенные заболевания инфекционного характера (в особенности менингококковая инфекция);
  • Сотрясения и травмы мозга;
  • Кровоизлияния в мозг.

У грудничка наличие кисты часто связано с внутриутробным инфицированием.

Иногда аномалия прозрачной перегородки мозга сочетается с рядом отклонений в функционировании нервной системы. К ним следует отнести:

После того как новообразование приобретает значительные размеры, оно начинает оказывать давление на близлежащие сосуды и ткани. Время от времени киста перекрывает межжелудочковые пространства.

У пациентов с полостью Верге выраженные симптомы проявляются в том случае, если кистозное новообразование прогрессирует. В этом случае у больного наблюдаются:

  • Регулярно возникающие головные боли, интенсивность которых увеличивается при беге или прыжках;
  • Шум или звон в ушах, который не исчезает в ночное время суток;
  • Чувство сдавленности в отделе головы, в котором находится киста;
  • Нарушение слуха;
  • Повышение артериального давления;
  • Ухудшение зрения и памяти.

В последствии, при постоянном росте кисты может возникнуть гидроцефалия головного мозга

При постоянном росте кисты возникает риск развития таких последствий, как:

  1. Образование спаек в мозге, которые способны сдавливать питающие мозг сосуды;
  2. Инсульт. Это состояние вызвано повышением давления в черепно-мозговой коробке, что нарушает кровообращение и процесс циркуляции спинномозговой жидкости;
  3. Гидроцефалия. Подобная патология возникает при нарушениях циркуляции и оттока ликвора.

Что указывает на отклонения

Если у ребенка появились следующие симптомы, незамедлительно обращайтесь к врачу:

  • Беспокойный и кратковременный сон.

Говорить о проблемах может сильный плач и беспокойный сон

  • Повышенное возбуждение.
  • Резкие звуки провоцируют громкий плач или крик.
  • При колебаниях атмосферного давления возникает беспокойство.

Увеличение межполушарного пространства – это один из возможных признаков серьезных отклонений. Во время диагностического обследования устанавливается связь между этим показателем и другими клиническими нервными проявлениями.

Лечение расширения субарахноидального пространства

Медикаментозная терапия показана при менингитах, энцефалитах, травмах, . В комплекс включают мочегонные (Лазикс, Диакарб).

К показаниям для хирургического вмешательства относятся:

  • аномалии развития черепа и САП;
  • доброкачественные и злокачественные новообразования;
  • внутримозговое кровоизлияние;
  • абсцесс мозга;
  • спаечный процесс при арахноидите.

Если нельзя провести радикальное устранение причины гидроцефалии, то создают дополнительные пути оттока из полости череп а. Такие операции называют шунтирующими, ними также может оканчиваться и оперативное лечение при удалении кисты или опухоли, если на основном этапе не восстановлена циркуляция спинномозговой жидкости.

Расширение субарахноидального пространства встречается при врожденной и приобретенной гидроцефалии. Его причинами является избыточное образование ликвора и/или нарушение его оттока. У взрослых проявляется сильной головной болью и психоэмоциональными расстройствами, а у грудничков увеличивается голова, замедляется физическое и интеллектуальное развитие. Для поиска причин проводится инструментальная диагностика. Лечение бывает консервативным и оперативным.

Ссылка на основную публикацию
Похожее