Заболевания позвоночника становятся распространенными среди подростков, вызывая беспокойство у родителей и специалистов. В статье представлено интервью с доктором медицинских наук и вертебрологом, который расскажет о причинах, методах диагностики и лечения заболеваний позвоночника у молодежи. Читатели узнают о современных подходах к профилактике искривлений и получат советы по поддержанию здоровья спины, что поможет предотвратить серьезные проблемы в будущем.
Самые распространенные заболевания позвоночника у подростков
- Какие наиболее распространенные заболевания позвоночника у подростков?
В период активного роста у детей происходит формирование позвоночника, его гибкость и подвижность. В это время у подростков может развиться сколиоз, который характеризуется искривлением позвоночного столба.
Сколиоз – наиболее частое заболевание позвоночника среди подростков
Причиной этого заболевания является неравномерный рост детского организма. Скелет развивается быстрее, чем мышцы, что приводит к недостаточной защите позвоночника и его деформации.
Сколиоз – это заболевание, которое может прогрессировать быстро. На начальных стадиях его можно лечить консервативными методами, однако, если упустить время, может потребоваться хирургическое вмешательство.
Девочки более подвержены сколиозу, чем мальчики, в соотношении 7:1. Наиболее активное развитие сколиоза наблюдается в период полового созревания (пубертатный период) с 12 до 16 лет. В это время родителям следует особенно внимательно следить за состоянием позвоночника своего ребенка.
- Каковы причины развития заболевания?
В медицинской практике это заболевание называется юношеским идиопатическим сколиозом. Слово «идиопатический» указывает на то, что болезнь зависит от индивидуальных особенностей развития организма.
Примерно тридцать процентов случаев сколиоза имеют генетическую предрасположенность. В остальных случаях причиной могут быть неправильная осанка при длительном сидении за партой или компьютером, а также малоподвижный образ жизни.
- В каком возрасте появляются первые признаки сколиоза?
Признаки идиопатического сколиоза могут быть замечены у школьников второго класса, начиная с 8 лет. Из-за раннего появления сколиоза важно регулярно проверять состояние позвоночника ребенка (скрининг) до окончания школы.
В европейских и американских школах такие осмотры обязательны и проводятся школьными врачами. При первых признаках сколиоза ребенку назначается дополнительное обследование у врача-вертебролога для подтверждения диагноза.
- Каковы первые проявления сколиоза?
Первые признаки можно заметить визуально. Это асимметричное положение плеч, когда одно плечо выше другого. Также может наблюдаться отсутствие симметрии в области таза, где одна сторона выше другой, и деформация грудной клетки, приводящая к образованию реберного горбика.
Обратите внимание на ранние проявления сколиоза у детей
При наличии этих признаков следует обратиться к специалисту для точной диагностики и предотвращения дальнейшего прогрессирования сколиоза. Врач-вертебролог с помощью сколиометра определяет угол отклонения и степень развития сколиоза.
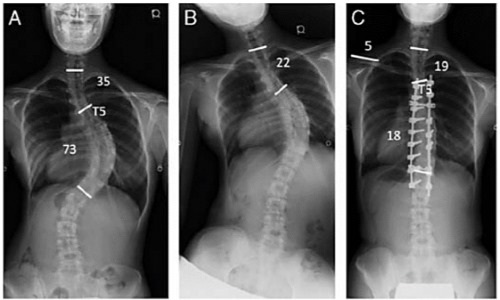
Рентгеновский снимок позвоночника поможет установить окончательный диагноз. В зависимости от угла отклонения от нормы выделяют четыре степени сколиоза.
Первая степень – угол от 1 до 10 градусов, вторая – от 11 до 25 градусов, третья – от 26 до 40 градусов, и четвертая – более 40 градусов. Каждая степень имеет свои симптомы и требует индивидуального подхода к лечению.
Видео: «Сколиоз: работа с пациентами»
Современные подростки все чаще сталкиваются с заболеваниями позвоночника, и мнения врачей по этому вопросу становятся все более актуальными. Доктора медицинских наук отмечают, что основными факторами, способствующими развитию проблем с позвоночником, являются малоподвижный образ жизни, длительное время, проведенное за компьютером и гаджетами, а также неправильная осанка. Врачи подчеркивают важность регулярной физической активности и правильной организации рабочего пространства для предотвращения заболеваний. Кроме того, они рекомендуют проводить профилактические осмотры, чтобы выявить возможные отклонения на ранних стадиях. Важно, чтобы родители и подростки осознавали значимость заботы о здоровье позвоночника, ведь это залог активной и полноценной жизни в будущем.
Мнения о выводах докторов медицинских наук относительно заболеваний позвоночника у современных подростков варьируются. Многие родители и специалисты отмечают, что с увеличением времени, проводимого за экранами, растет и число проблем с осанкой и позвоночником у молодежи. Врачи подчеркивают важность профилактики и регулярных физических нагрузок, чтобы избежать серьезных последствий. Некоторые подростки, в свою очередь, выражают недовольство из-за ограничений в использовании гаджетов, считая это вмешательством в их повседневную жизнь. Однако большинство согласны с тем, что здоровье позвоночника — это важный аспект, который нельзя игнорировать. Обсуждения на эту тему становятся все более актуальными, и многие призывают к комплексному подходу, включая образовательные программы о правильной осанке и физической активности.
https://youtube.com/watch?v=lPQ8nIqQuLI
Следующий этап в случае подтверждения диагноза
— Каковы следующие шаги после подтверждения диагноза?
Существует уже разработанное руководство по лечению. После того как установлена степень сколиоза и угол отклонения, назначаются соответствующие меры.
Если отклонение находится в пределах второй степени, сколиоз можно корректировать с помощью плавания, массажа и физиотерапии. Эти процедуры помогают укрепить мышечный каркас. Важно регулярно наблюдаться у врача-вертебролога, как минимум раз в полгода. Подростка ставят на учет.
При третьей степени отклонения требуется корсет, специально созданный для лечения сколиоза, который фиксирует позвоночник. В около 35% случаев ношение корсета дает положительный результат, и прогрессирование заболевания останавливается.
На четвертой стадии, когда угол отклонения превышает 40 градусов, необходима операция.
— Операция может вызывать страх, особенно у родителей. Насколько это опасно?
Следует опасаться не самой операции, а последствий, если ее не провести вовремя. Деформация тела, проблемы с дыханием и невралгия могут сделать жизнь ребенка невыносимой и неполноценной. Со временем это может привести к инвалидности.
Операция проходит в несколько этапов. Сначала необходимо выпрямить позвоночник, затем его фиксируют с помощью специального металлического импланта.
Операция по исправлению позвоночника осуществляется в два этапа — выравнивание и фиксация.
Такой имплант устанавливается на всю жизнь, он не отторгается организмом и не требует замены. Уже через два дня после операции пациент может передвигаться самостоятельно, а на пятый день его готовят к выписке, учитывая его состояние.
Через два месяца ребенок может вернуться в школу, а через полгода — к полноценной жизни. В дальнейшем следует избегать травмирующих видов спорта и чрезмерных нагрузок на позвоночник.
— Какие рекомендации вы можете дать для укрепления осанки?
Прежде всего, это здоровый образ жизни. Ребенок должен быть активным. Занятия спортом, плавание и танцы способствуют укреплению мышц спины и улучшению осанки. Важно избегать травм позвоночника и чрезмерных нагрузок. Следует правильно питаться и не проводить все свободное время за компьютером.
С первого класса родители должны следить за состоянием позвоночника ребенка, регулярно посещая плановые медицинские осмотры. Необходимо помнить, что не все виды сколиоза поддаются консервативному лечению.
Иногда заболевание продолжает прогрессировать, несмотря на все предпринятые меры, что может привести к инвалидности. В таких случаях не стоит откладывать операцию. Главный совет для родителей: «Необходимо дать ребенку шанс на полноценную жизнь».
Видео: «Упражнения для коррекции сколиоза 1 степени»
| Заболевание позвоночника | Причины возникновения у подростков | Рекомендации доктора медицинских наук |
|---|---|---|
| Сколиоз | Неправильная осанка, длительное сидение за компьютером/телефоном, недостаток физической активности, генетическая предрасположенность | Регулярные упражнения для укрепления мышц спины, контроль осанки, эргономичное рабочее место, плавание, консультация ортопеда |
| Остеохондроз | Малоподвижный образ жизни, избыточный вес, травмы, неправильное питание, наследственность | Умеренные физические нагрузки, сбалансированное питание, контроль веса, избегание длительных статических поз, массаж, физиотерапия |
| Кифоз | Сутулость, неправильное положение тела при чтении/работе, слабые мышцы спины, рахит в детстве | Коррекция осанки, упражнения на растяжку грудных мышц и укрепление мышц спины, ношение корсета (по показаниям), плавание |
| Лордоз | Избыточный вес, беременность (у девушек), травмы, врожденные аномалии | Упражнения для укрепления мышц брюшного пресса и ягодиц, контроль веса, избегание высоких каблуков, консультация специалиста |
| Грыжа межпозвоночного диска | Поднятие тяжестей, резкие движения, травмы, дегенеративные изменения дисков, наследственность | Избегание чрезмерных нагрузок, правильная техника подъема тяжестей, укрепление мышечного корсета, физиотерапия, в некоторых случаях – хирургическое вмешательство |
| Спондилолистез | Врожденные аномалии позвонков, травмы, чрезмерные нагрузки на позвоночник | Ограничение физической активности, ношение корсета, укрепление мышц спины и брюшного пресса, в некоторых случаях – хирургическое лечение |
| Болезнь Шейермана-Мау | Наследственная предрасположенность, нарушение роста позвонков в подростковом возрасте | Коррекция осанки, лечебная физкультура, плавание, ношение корсета (по показаниям), контроль за прогрессированием заболевания |
Профилактика заболеваний позвоночника у подростков
Заболевания позвоночника у подростков становятся все более распространенной проблемой, что связано с изменениями в образе жизни, увеличением времени, проводимого за компьютером и мобильными устройствами, а также недостаточной физической активностью. Профилактика этих заболеваний играет ключевую роль в поддержании здоровья и благополучия молодежи.
Первым шагом к профилактике является формирование правильной осанки. Подростки должны осознавать важность поддержания прямой спины как при сидении, так и при стоянии. Рекомендуется использовать специальные стулья с поддержкой для поясницы, а также следить за тем, чтобы ноги были на полу, а экран компьютера находился на уровне глаз.
Физическая активность также является важным аспектом профилактики. Регулярные занятия спортом, такие как плавание, йога или гимнастика, способствуют укреплению мышечного корсета, что, в свою очередь, поддерживает позвоночник в правильном положении. Специалисты рекомендуют подросткам заниматься физической активностью не менее 60 минут в день, что поможет не только укрепить спину, но и улучшить общее состояние здоровья.
Кроме того, важно обратить внимание на режим дня. Подростки должны уделять достаточное время для сна, так как во время ночного отдыха происходит восстановление организма. Рекомендуется спать не менее 8 часов в сутки, а также избегать использования гаджетов перед сном, чтобы обеспечить качественный отдых.
Правильное питание также играет значительную роль в профилактике заболеваний позвоночника. Диета, богатая кальцием, витамином D и другими необходимыми микроэлементами, способствует укреплению костной ткани. Важно включать в рацион молочные продукты, рыбу, орехи и зеленые овощи, которые помогут поддерживать здоровье позвоночника.
Не менее важным аспектом является регулярное медицинское обследование. Подросткам рекомендуется проходить осмотр у ортопеда или невролога, особенно если у них есть предрасположенность к заболеваниям позвоночника. Раннее выявление проблем позволит своевременно принять меры и избежать серьезных последствий.
Наконец, необходимо обратить внимание на психологический аспект. Стресс и эмоциональное напряжение могут негативно сказываться на состоянии позвоночника. Подросткам важно научиться управлять своими эмоциями, а также находить время для отдыха и расслабления. Практики медитации и дыхательные упражнения могут быть полезными для снижения уровня стресса.
В заключение, профилактика заболеваний позвоночника у подростков требует комплексного подхода, включающего правильную осанку, физическую активность, сбалансированное питание, регулярные медицинские осмотры и управление стрессом. Заботясь о здоровье своего позвоночника, подростки закладывают основу для активной и полноценной жизни в будущем.
https://youtube.com/watch?v=JiGr4IhLm2g
Вопрос-ответ
В каком возрасте начинаются дегенеративные изменения в позвоночнике?
С течением времени позвонки подвергаются дегенеративным изменениям, которые начинаются с 20 лет. У большинства лиц в возрасте 50 лет заметны подобные изменения в позвоночнике.
https://youtube.com/watch?v=H1VXqZizF54
Можно ли выпрямить позвоночник в 20 лет?
По мере достижения окончания роста организма развитие сколиоза останавливается. Считается, что после 20 лет выпрямить позвоночник невозможно.
Советы
СОВЕТ №1
Регулярно проверяйте осанку вашего ребенка. Обратите внимание на то, как он сидит за столом, использует мобильные устройства и занимается спортом. Правильная осанка поможет предотвратить многие проблемы с позвоночником в будущем.
СОВЕТ №2
Поощряйте физическую активность. Убедитесь, что подросток занимается спортом или физической активностью не менее 30 минут в день. Это поможет укрепить мышцы спины и улучшить гибкость, что важно для здоровья позвоночника.
СОВЕТ №3
Обратите внимание на выбор мебели. Убедитесь, что стол и стул, которые использует ваш подросток, соответствуют его росту и обеспечивают поддержку спины. Правильная мебель может значительно снизить риск возникновения болей в спине.
СОВЕТ №4
Регулярно проводите медицинские осмотры. Посещение врача-ортопеда или невролога поможет выявить возможные проблемы с позвоночником на ранних стадиях и предотвратить их развитие. Не игнорируйте жалобы на боль или дискомфорт.

