Магнитно-резонансная томография (МРТ) шейного отдела позвоночника, сосудов шеи и головного мозга — важный диагностический инструмент для выявления патологий на ранних стадиях. В статье рассмотрим, что показывает МРТ, как проходит процедура, а также показания и противопоказания к её проведению. Обсудим преимущества МРТ перед другими методами исследования, стоимость процедуры и места её проведения. Статья будет полезна тем, кто хочет понять значение МРТ шейного отдела для диагностики заболеваний.
Что такое МРТ: преимущества процедуры
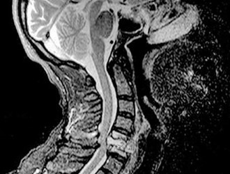
Магнитно-резонансная томография (МРТ) шейного отдела позвоночника является высокотехнологичным методом диагностики, использующим магнитные поля и радиоволны для получения изображений структуры костной ткани и окружающих ее мягких тканей, включая костный мозг, без необходимости хирургического вмешательства.
Эта методика также позволяет оценить кровоток в области шеи и головы.
Главное преимущество МРТ шейного отдела заключается в том, что она не требует операций для исследования органов и тканей.
МРТ шейного отдела имеет ряд значительных преимуществ по сравнению с другими методами диагностики.
В частности, магнитно-резонансная томография выделяется среди других лучевых методов благодаря следующим достоинствам:
- отсутствие радиационного воздействия (это позволяет проводить исследования многократно и без длительных перерывов, что способствует эффективному мониторингу прогрессирования заболевания и результативности лечения);
- высокая степень точности получаемых данных;
- отсутствие негативных побочных эффектов.
МРТ может использоваться для диагностики как мягких тканей, так и костной структуры, а также сосудистой системы.
МРТ шейного отдела позвоночника является важным диагностическим инструментом, который позволяет врачам получить детализированное изображение структур шеи, включая позвонки, межпозвоночные диски и мягкие ткани. Специалисты отмечают, что этот метод особенно полезен для выявления различных заболеваний, таких как остеохондроз, грыжи дисков и воспалительные процессы. Процедура проводится безболезненно и не требует специальной подготовки. Пациенту необходимо лечь на стол аппарата, который затем перемещается в магнитное поле. Врачи подчеркивают, что МРТ не использует ионизирующее излучение, что делает его безопасным для большинства пациентов. Результаты исследования помогают врачам точно установить диагноз и выбрать оптимальный план лечения.
https://youtube.com/watch?v=NWJgHsae8f4
Виды МРТ диагностики
МРТ бывает: с контрастом и без него.
Контрастное вещество — это специальный раствор, который вводится пациенту внутривенно перед началом исследования. Обычно его применяют, когда необходимо получить более четкие и детализированные изображения.
Изображение формируется из множества снимков, которые накладываются друг на друга определенным образом. Если один из этих снимков окажется нечетким, это может негативно сказаться на общей картине, что усложнит процесс диагностики.
Для контрастирования чаще всего используются соли гадолиния. Они имеют низкую токсичность и редко вызывают аллергические реакции, а также быстро выводятся из организма и не накапливаются в нем. Тем не менее, в чистом виде их применять не рекомендуется, поэтому при проведении МРТ обычно вводится хелатный комплекс, содержащий ионы гадолиния.
Контрастирование при МРТ шейного отдела применяется для оценки состояния сосудистой системы или для обнаружения различных опухолей. Контрастная жидкость эффективно проникает в сосуды, метастазы и новообразования. После их окрашивания можно получить максимально четкие изображения на экране и снимках, что позволяет детально исследовать протекающие аномальные процессы.
Использование контрастного вещества безопасно и безболезненно. Единственным противопоказанием является индивидуальная непереносимость вещества, о которой необходимо заранее уведомить врача.
| Аспект | Что показывает МРТ | Как делают МРТ |
|---|---|---|
| Структуры | Позвонки, межпозвонковые диски, спинной мозг, нервные корешки, связки, мышцы, кровеносные сосуды. | Пациент лежит на подвижном столе, который заезжает в туннель томографа. |
| Патологии | Грыжи и протрузии дисков, стеноз позвоночного канала, остеохондроз, воспалительные процессы (спондилит), опухоли, травмы (переломы, вывихи), демиелинизирующие заболевания (рассеянный склероз), аномалии развития. | Необходимо сохранять неподвижность в течение 15-40 минут. |
| Симптомы | Причины боли в шее, онемения или слабости в руках, головокружения, головных болей, нарушения координации, шума в ушах. | В некоторых случаях может потребоваться введение контрастного вещества внутривенно. |
| Подготовка | Не требуется специальной подготовки (голодание, очищение кишечника). | Перед исследованием необходимо снять все металлические предметы (украшения, часы, слуховые аппараты). |
| Противопоказания | Наличие кардиостимулятора, металлических имплантатов (кроме титановых), ферромагнитных клипс на сосудах головного мозга, клаустрофобия (относительное). | Пациент находится в постоянном контакте с медицинским персоналом через микрофон и динамик. |
Показания и противопоказания
Показания для проведения данной диагностики могут быть весьма разнообразными. Она назначается для оценки степени повреждения, особенно когда речь идет о необходимости хирургического вмешательства, и требуется уточнение объема операции. Кроме того, процедура может быть рекомендована для выяснения причин, например, головной боли, если другие методы диагностики не дали результатов.
Ниже представлен перечень показаний для выполнения МРТ шейного отдела:
Также существуют следующие показания для проведения процедуры:
- грыжи межпозвоночных дисков;
- остеохондроз;
- аномалии развития краниовертебрального перехода;
- нарушения кровообращения;
- опухоли мягких тканей и метастазы из других очагов в лимфатические узлы и позвоночник;
- подозрение на сдавление спинного мозга (опухоль, стеноз, травма).
Если есть подозрение на распространение процесса ниже, рекомендуется МРТ грудного отдела. Эта процедура позволяет выявить проблемы в данной области. При отсутствии таких проблем диагностика помогает глубже исследовать и обнаружить различные патологии внутренних органов.
Видео: «Разбор МР томографии грыжи шейного отдела»
Противопоказания к проведению диагностики делятся на абсолютные и относительные.
Абсолютные противопоказания означают, что проведение процедуры недопустимо. Относительные противопоказания могут быть проигнорированы, если имеются абсолютные показания для применения метода.
| Абсолютные противопоказания: | Относительные противопоказания: |
| * Кардиостимулятор, который может изменять сердечный ритм под воздействием магнитного поля. * Наличие ферромагнитных имплантатов или аппарата Илизарова, металлические осколки в внутренних тканях. | * Первый триместр беременности. * Неадекватное психическое состояние пациента. * Клаустрофобия — панический страх замкнутого пространства. * Тяжелое общее состояние пациента и необходимость круглосуточного мониторинга. * Установленные нервные стимуляторы и инсулиновые насосы. * Кровоостанавливающие клипсы на сосудах. * Сердечная недостаточность на стадии декомпрессии, протезы сердечных клапанов. |
Магнитно-резонансная томография шейного отдела позвоночника — это высокоинформативный метод диагностики, который позволяет получить детальные изображения структур шеи и спинного мозга. Многие пациенты отмечают, что процедура проходит безболезненно, хотя некоторые испытывают дискомфорт из-за необходимости оставаться неподвижными в замкнутом пространстве аппарата.
МРТ помогает выявить различные патологии, такие как грыжи межпозвоночных дисков, остеохондроз, опухоли и воспалительные процессы. Важно отметить, что для получения качественных снимков необходимо соблюдать рекомендации врача и подготовиться к процедуре. После исследования результаты обычно доступны в течение нескольких дней, и их интерпретация требует участия специалиста. Пациенты часто отмечают, что благодаря МРТ удается точно установить диагноз и назначить эффективное лечение, что значительно улучшает качество жизни.
https://youtube.com/watch?v=WoGPe07DCiE
Как проходит процедура
Если МРТ выполняется с контрастным веществом, требуется специальная подготовка. В общем, особых мер перед процедурой не нужно. Если контраст не планируется, пациент может есть, пить и принимать лекарства до МРТ.
Тем не менее, если ранее проводились исследования с использованием контрастов, необходимо соблюсти определенные временные интервалы:
- неделя при введении контраста в спинномозговой канал;
- три дня при внутривенном введении контраста.
Если исследуется шейно-грудной отдел, необходимо провести очищение кишечника. В течение трех дней пациенту следует придерживаться специальной диеты и исключить продукты, способствующие газообразованию.
Перед самой процедурой нужно снять все металлические предметы (украшения, часы, пирсинг, протезы). Также одежда должна быть снята до пояса.
Процедура проходит в следующей последовательности:
- Специалист информирует о необходимости использования контраста, просит пациента раздеться до нижнего белья, иногда — надеть одноразовую медицинскую одежду.
- Пациент ложится на стол томографа, вводится контрастное вещество.
- Голову фиксируют в неподвижном положении с помощью валиков, а руки и ноги — ремнями. Это крайне важно, так как неподвижность пациента напрямую влияет на точность сканирования.
- Пациент на столе аппарата задвигается в тоннель томографа.
- Вокруг пациента вращается кольцо аппарата, которое сканирует исследуемую область тела.
- Во время процедуры пациент ничего не ощущает, лишь слышит легкий шум.
- В соседнем помещении специалист контролирует процесс, а снимки отображаются на экране монитора.
- После завершения сканирования пациент может вернуться к своему обычному распорядку.
Если во время процедуры пациент почувствовал дискомфорт, он должен немедленно сообщить об этом специалисту, особенно если использовался контраст. Связь осуществляется через специальное устройство. Время процедуры составляет 20-30 минут, а при использовании контрастного вещества может увеличиться до 90 минут.
Процедура абсолютно безболезненна и не вызывает дискомфорта. По окончании диагностики пациент получает заключение и снимки, сделанные томографом. Обычно результаты готовы в течение одного-двух часов.
Некоторые медицинские учреждения предлагают отправить результаты по электронной почте. Важно понимать, что описание снимков и характеристик исследуемых тканей не является окончательным диагнозом, а служит вспомогательным инструментом для узких специалистов в оценке клинической картины патологии.
Процедура может проводиться детям старше семи лет. В более раннем возрасте она выполняется только в экстренных случаях и при наличии строгих показаний. В таких ситуациях МРТ проводится под общим наркозом, так как маленькие дети не могут контролировать свои движения, что затрудняет визуализацию необходимых тканей.
Перед применением наркоза детям требуется специальная подготовка, включая консультацию анестезиолога для исключения аллергических реакций на используемые препараты. Также могут применяться седативные средства. Кроме того, шум от аппарата может испугать ребенка, поэтому рекомендуется использовать беруши.
МРТ шейного отдела позвоночника без контраста может назначаться беременным женщинам, но не ранее второго триместра, хотя негативное влияние электромагнитных волн на плод не было доказано. Томография с контрастом при беременности строго противопоказана из-за токсичности контрастного вещества.
Примерная цена процедуры
Цена на диагностику будет варьироваться в зависимости от уровня медицинского учреждения и сложности выполняемой процедуры. Обычная МРТ в Москве в среднем обойдется в 3500 рублей, а в Санкт-Петербурге — около 2500 рублей. Стоимость может изменяться в зависимости от местоположения клиники и ее рабочего графика.
Если процедура проводится с использованием наркоза или контрастного вещества, то в Москве цена начнется от 6000 рублей.
В Украине средняя стоимость данной процедуры составляет 1160 гривен.
https://youtube.com/watch?v=Z8JgYGNaV8I
Заключение
Подводя итог, можно выделить несколько ключевых аспектов:
- Магнитно-резонансная томография шейного отдела позвоночника представляет собой современный диагностический метод, который славится своей высокой точностью и отсутствием негативных последствий.
- В процессе исследования может применяться контрастное вещество, что позволяет повысить точность диагностики.
- Существуют определенные противопоказания для проведения МРТ.
- Процедура проходит безболезненно и занимает относительно короткий промежуток времени. Результаты также можно получить в довольно сжатые сроки.
Подготовка к процедуре МРТ шейного отдела позвоночника
Подготовка к процедуре магнитно-резонансной томографии (МРТ) шейного отдела позвоночника является важным этапом, который может повлиять на качество получаемых изображений и точность диагностики. Перед проведением исследования пациенту необходимо учесть несколько рекомендаций и требований.
Во-первых, важно сообщить врачу о наличии любых металлических имплантов, кардиостимуляторов, слуховых аппаратов или других медицинских устройств, так как магнитное поле, создаваемое МРТ, может негативно повлиять на их работу. В некоторых случаях может потребоваться предварительное обследование или консультация специалиста для оценки безопасности процедуры.
Во-вторых, перед проведением МРТ шейного отдела позвоночника пациенту рекомендуется снять все металлические предметы, такие как украшения, часы, очки и другие аксессуары, так как они могут исказить результаты исследования. Также стоит избегать использования косметических средств, содержащих металл, например, некоторые виды кремов или лосьонов.
В-третьих, особое внимание следует уделить состоянию здоровья пациента. Если у вас есть аллергия на контрастные вещества, используемые в некоторых случаях для улучшения визуализации, обязательно сообщите об этом врачу. В некоторых случаях может потребоваться предварительное тестирование на аллергию.
Кроме того, перед процедурой рекомендуется надеть удобную и свободную одежду, которая не будет стеснять движения и не содержит металлических элементов. Это поможет пациенту чувствовать себя комфортно во время исследования.
Что касается питания, то в большинстве случаев специальная диета перед МРТ не требуется. Однако, если вам будет введен контраст, возможно, потребуется воздержаться от пищи за несколько часов до процедуры. Важно следовать указаниям врача или медицинского персонала.
Наконец, стоит отметить, что во время процедуры пациент должен оставаться неподвижным, чтобы избежать размытия изображений. Поэтому, если у вас есть проблемы с клаустрофобией или вы испытываете дискомфорт в замкнутом пространстве, сообщите об этом заранее, чтобы медицинский персонал мог предложить подходящие решения.
Следуя этим рекомендациям, вы сможете подготовиться к процедуре МРТ шейного отдела позвоночника и обеспечить получение максимально точных и информативных результатов.
Вопрос-ответ
Какие болезни может показать МРТ шейного отдела?
МРТ шейного отдела может выявить различные заболевания, включая межпозвоночные грыжи, остеохондроз, спинальные стенозы, опухоли, воспалительные процессы (например, рассеянный склероз), травмы позвоночника и нарушения кровообращения в области шеи. Также МРТ позволяет оценить состояние мягких тканей, нервных корешков и спинного мозга.
Можно ли глотать слюну при МРТ шеи?
Данное действие противопоказано при МРТ шейного отдела позвоночника, т. к. приведет к возникновению двигательных (глотательных) артефактов, ухудшающих качество изображения.
Советы
СОВЕТ №1
Перед проведением МРТ шейного отдела позвоночника обязательно проконсультируйтесь с врачом. Он поможет определить необходимость исследования и объяснит, какие симптомы могут указывать на проблемы в этой области.
СОВЕТ №2
Убедитесь, что у вас нет противопоказаний для проведения МРТ, таких как наличие металлических имплантов или кардиостимуляторов. Если вы не уверены, обсудите это с медицинским персоналом перед процедурой.
СОВЕТ №3
Перед исследованием постарайтесь расслабиться и не нервничать. МРТ может занять от 20 до 60 минут, и важно оставаться неподвижным для получения качественных изображений. Если у вас есть страх замкнутого пространства, сообщите об этом врачу заранее.
СОВЕТ №4
После процедуры обсудите результаты с врачом, который направил вас на МРТ. Он поможет интерпретировать полученные данные и предложит дальнейшие шаги в случае выявления патологии.


