Дорсопатия шейного и шейно-грудного отдела позвоночника включает заболевания, поражающие межпозвоночные диски, суставы и мягкие ткани. Это состояние вызывает дискомфорт и ограничивает подвижность, что ухудшает качество жизни. В статье рассмотрим основные причины и симптомы дорсопатии, методы диагностики и лечения, что поможет читателям лучше понять свое состояние и принять обоснованные решения. Также обсудим прогноз выздоровления, чтобы оценить перспективы восстановления и улучшения здоровья.
Что такое дорсопатия шейного отдела позвоночника?
Даже профессионалы не всегда могут однозначно определить, что такое дорсопатия. Это термин обозначает совокупность дегенеративных изменений, касающихся состояния околопозвоночных и хрящевых тканей. По данным медицинской статистики, дорсопатия шейного отдела составляет лишь десять процентов от общего числа случаев.
В зависимости от характера поражения дорсопатия делится на несколько типов:
- Деформирующая. Причинами этого вида являются различные деформации позвоночника, его смещения и остеохондроз.
- Спондилопатийная или вертеброгенная, которая возникает в результате травм или ранее перенесенных заболеваний, локализуется в области позвонков.
- Дискогенная. Это серьезная форма заболевания, развивающаяся из-за дистрофических процессов в хрящевых тканях, и может привести к образованию грыжи или протрузии.
Дорсопатия шейного отдела представляет собой общий комплекс дегенеративных процессов в позвоночнике.
Важно понимать, что дорсопатия не является отдельным заболеванием. Это общее название для ряда патологий, которые могут возникать по самым различным причинам.
По распространенности дорсопатия шейного отдела занимает второе место после поясничной. Следует учитывать, что позвоночник человека начинает стареть довольно рано, практически одновременно с завершением формирования костей. Поэтому с возрастом риск развития заболеваний возрастает.
Шейный отдел испытывает особые нагрузки, так как современный человек проводит много времени в сидячем положении, что приводит к значительным нагрузкам на позвонки. Поэтому необходима серьезная терапия для лечения заболеваний этой группы.
Видео: «Что такое дорсопатия?»
Врачи отмечают, что дорсопатия шейного отдела позвоночника является распространенной проблемой, особенно среди людей, ведущих малоподвижный образ жизни. Симптомы, такие как боль в шее, головные боли и ограничение подвижности, могут значительно ухудшить качество жизни. Специалисты подчеркивают важность ранней диагностики и комплексного подхода к лечению, который может включать физиотерапию, медикаментозное лечение и, в некоторых случаях, хирургическое вмешательство. Кроме того, врачи рекомендуют регулярные физические упражнения и правильную организацию рабочего места для предотвращения развития заболевания. Профилактика играет ключевую роль в поддержании здоровья шейного отдела позвоночника и снижении риска рецидивов.
https://youtube.com/watch?v=3LJxCbRC1vw
Причины и факторы риска
Существует множество факторов, способных вызвать изменения в позвоночных дисках и позвонках.
К ним относятся:
- Инфекционные болезни: туберкулез позвоночника, пиогенные инфекции, бруцеллез, третичный сифилис (встречается крайне редко в наше время).
- Травмы: переломы, растяжения связок, вывихи и подвывихи позвонков.
- Генетическая предрасположенность.
- Аутоиммунные и аллергические заболевания.
- Неправильное питание (разнообразные несбалансированные диеты, неправильное вегетарианство и т.д.).
- Недостаток физической активности.
- Перенапряжение неразвитыми мышцами.
- Долгое пребывание в неудобных позах.
- Частые короткие нагрузки на шею, например, при вождении автомобиля с резким ускорением или торможением.
- Переохлаждение.
Среди факторов риска можно выделить:
- неправильное питание;
- недостаточная личная гигиена;
- курение;
- низкая физическая активность;
- физические нагрузки без предварительной разминки;
- спортивные тренировки без соблюдения режима и периодичности;
- экстремальные виды спорта;
- вождение автомобиля без подголовника;
- работа, связанная с длительным удерживанием головы в одном положении;
- пожилой возраст;
- постоянные стрессы.
| Симптом | Возможная причина | Рекомендации |
|---|---|---|
| Боль в шее | Мышечный спазм, остеохондроз, протрузия/грыжа диска | Покой, НПВС, миорелаксанты, физиотерапия, ЛФК |
| Головная боль | Напряжение мышц шеи, компрессия нервов, нарушение кровотока | Массаж, мануальная терапия, иглорефлексотерапия, коррекция осанки |
| Онемение/покалывание в руках | Сдавление нервных корешков, грыжа диска | Консультация невролога, МРТ, медикаментозное лечение, возможно операция |
| Головокружение | Нарушение кровоснабжения головного мозга, компрессия позвоночной артерии | УЗИ сосудов шеи, допплерография, сосудистые препараты, воротник Шанца |
| Ограничение подвижности шеи | Воспаление, дегенеративные изменения, мышечный спазм | ЛФК, массаж, физиотерапия, противовоспалительные средства |
| Хруст в шее | Дегенеративные изменения в суставах, отложение солей | Не всегда патология, но требует наблюдения, ЛФК, хондропротекторы |
| Слабость в руках | Сдавление нервных корешков, миелопатия | Консультация невролога, МРТ, электронейромиография, возможно операция |
Последствия
Дорсопатия шейного отдела позвоночника может вызывать ряд серьезных осложнений:
- Синдром позвоночной артерии;
- Миелопатический синдром;
- Вегетососудистая дистония.
Наиболее угрожающими последствиями дорсопатии шейного отдела являются миелопатия и синдром позвоночной артерии.
Синдром позвоночной артерии представляет собой спазм артерии в шейной области, что приводит к ухудшению кровоснабжения, ишемии головного мозга и даже инсульту.
Миелопатический синдром включает в себя комплекс симптомов, возникающих при компрессии спинного мозга. Это может привести к параличу конечностей, нарушениям работы кишечника и мочевыделительных органов, а также к потере чувствительности ниже места сжатия.
Вегетососудистая дистония связана с нарушением регуляции периферической нервной системы, отвечающей за работу внутренних органов. Она может проявляться сердечными аритмиями, приступами удушья, повышенной нервной возбудимостью и нарушениями терморегуляции.
Дорсопатия шейного отдела позвоночника — это проблема, с которой сталкиваются многие люди, и мнения о ней весьма разнообразны. Некоторые пациенты отмечают, что симптомы, такие как боль и дискомфорт в шее, значительно ухудшают качество жизни. Многие говорят о том, что работа за компьютером и малоподвижный образ жизни способствуют развитию этой патологии. В то же время, некоторые отмечают, что регулярные занятия физкультурой и правильная осанка помогают справиться с неприятными ощущениями. Важным аспектом является и обращение к специалистам: многие делятся положительным опытом лечения, включая физиотерапию и мануальную терапию. Однако есть и те, кто сталкивается с хроническими болями, что вызывает у них беспокойство и желание найти более эффективные методы лечения. В целом, люди осознают важность профилактики и заботы о здоровье шейного отдела, чтобы избежать серьезных последствий.
https://youtube.com/watch?v=kT-nYPeMY_U
Симптомы и методы диагностики
Дорсопатия шейного отдела позвоночника проявляется следующими признаками:
- Неприятные и болезненные ощущения в области шеи, иногда также в лопатках.
- Усиление боли при чихании, кашле или резких движениях.
- Увеличенная утомляемость.
- Головные боли и головокружения.
- Проблемы со сном.
- Ограниченная подвижность головы и рук.
- Мышечные спазмы, возникающие при резких движениях.
- Понижение остроты зрения и слуха.
- Слабость, онемение, озноб и покалывание в руках.
- Боли в области груди, которые могут восприниматься как сердечные.
Не все из этих признаков однозначно указывают на наличие заболевания, поэтому пациент может не распознать его самостоятельно. Важно своевременно обратиться к врачу, который сможет назначить соответствующее лечение и предотвратить развитие болезни в более тяжелую форму.
Диагностика
Диагноз обычно устанавливается специалистами в области неврологии и травматологии.
Если есть подозрение на дорсопатию, рекомендуется обратиться к травматологу или неврологу. Специалист выполнит следующие действия:
- Изучит жалобы и историю болезни пациента;
- Проведет осмотр позвоночного столба в различных положениях: стоя, сидя и лежа;
- Оценит напряжение мышц спины и шеи;
- Определит локализацию болевых ощущений с помощью пальпации;
- Проверит чувствительность кожи в области рук и плеч.
После этого врач может назначить дополнительные исследования для выявления деформаций и воспалительных процессов.
Возможные методы диагностики включают:
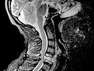
- Рентгенографию, которая позволяет обнаружить остеохондроз и деформации в позвоночнике;
- Томографию, помогающую определить наличие грыжи и степень патологии;
- Может быть назначен анализ крови, как клинический, так и биохимический.
Также может потребоваться консультация ортопеда и нейрохирурга.
https://youtube.com/watch?v=TamL0D-fJbU
Лечение
Терапия обычно является комплексной и включает в себя медикаментозные и физиотерапевтические методы, а также выполнение специальных упражнений. В некоторых случаях может потребоваться хирургическое вмешательство.
Среди медикаментов могут быть назначены следующие группы:
- Для устранения болевого синдрома применяются анальгетики, такие как Анальгин, Кеторолак, Баралгин и другие. При выраженных болях может потребоваться новокаиновая блокада — инъекция местного анестетика.
- Для уменьшения воспалительных процессов рекомендуются нестероидные противовоспалительные препараты: Напроксен, Диклофенак натрия, Мелоксикам и другие.
- В некоторых случаях назначаются гормональные противовоспалительные средства: Преднизолон, Гидрокортизон и другие. Их использование ограничено из-за возможных побочных эффектов.
- Для снятия мышечного спазма применяются миорелаксанты — препараты, снижающие мышечный тонус. Наиболее эффективными считаются Мидокалм, Баклофен и Сирдалуд.
- Разогревающие мази с местно-раздражающим действием способствуют улучшению кровообращения в области применения, что уменьшает отечность, улучшает питание тканей и ускоряет их восстановление. К популярным средствам относятся Капсикам, Финалгон и другие.
- Также могут быть рекомендованы препараты для улучшения трофики и проводимости нервов: витамины группы В, Прозерин, Нуклео ЦМФ Форте.
- Отдельной группой медикаментов являются протеолитические растительные ферменты, такие как карипазин, который основан на высушенном млечном соке папайи. Эти препараты помогают размягчать и рассасывать дисковые грыжи, способствуют улучшению секреции коллагена и умеренно восстанавливают оболочки дисков.
Некоторые из этих медикаментов обладают сильным действием и могут вызывать побочные эффекты. Поэтому их применение должно быть согласовано с врачом.
Хирургическое вмешательство может быть необходимо в случае наличия грыж или при отсутствии эффекта от консервативного лечения.
Не менее важной частью терапии является лечебная физкультура. При правильном выполнении упражнений она может значительно улучшить состояние пациента.
Комплекс упражнений подбирается индивидуально врачом. Он может включать в себя следующие упражнения:
- Прижмите ладонь ко лбу и наклоняйте голову вперед, оказывая сопротивление рукой.
- Положите ладонь на височную область и наклоняйте голову к руке, также оказывая сопротивление.
- Плавно опустите голову к груди, прижмите подбородок к ней и задержитесь на 2-3 секунды, затем вернитесь в исходное положение.
- Медленно поверните голову в крайнее левое положение, затем плавно вернитесь в исходное. Повторите в правую сторону.
- Опустите руки вниз, поднимите плечи максимально вверх и задержитесь в этом положении на 10-15 секунд, затем плавно опустите.
Упражнения повторяются по 10-15 раз несколько раз в день.
Также может быть рекомендован профессиональный массаж для снятия напряжения. Освоение самомассажа поможет улучшить состояние в нужный момент.
В домашних условиях необходимо соблюдать все рекомендации врача: принимать назначенные медикаменты, выполнять массаж и упражнения ЛФК при необходимости. Также могут быть полезны народные средства, такие как компрессы из чеснока, мать-и-мачехи, хмельной отвар, самодельная горчичная мазь и другие. Несмотря на относительную безопасность народных методов, предварительная консультация с врачом обязательна.
Для профилактики и снижения рисков дорсопатии рекомендуется следовать следующим рекомендациям:
- Соблюдайте правильное и сбалансированное питание;
- Избегайте курения;
- Ознакомьтесь с правилами профилактики дорсопатии в шейном отделе;
- Каждый день выполняйте хотя бы небольшую разминку;
- Делайте короткие разминки несколько раз в день, если ваша работа сидячая;
- Полезны плавание и аквааэробика;
- Будьте осторожны с экстремальными видами активности и манерой вождения;
- Соблюдайте режим и технику тренировок;
- Укрепляйте мышечный корсет с помощью специальных упражнений;
- В холодное время года защищайте шею от холода;
- Регулярный расслабляющий массаж шеи и спины является отличной профилактикой;
- Избегайте резких движений головой;
- Полезно периодически проходить санаторно-курортное лечение.
Видео: «Упражнения для шеи»
Прогноз выздоровления
Своевременная диагностика и корректное лечение обеспечивают положительный прогноз на выздоровление. Однако, если к этому вопросу отнестись легкомысленно, заболевания позвоночника могут привести к инвалидности, снижению подвижности или даже полной утрате способности двигаться.
Заключение
В заключение, отметим несколько основных аспектов:
- Дорсопатия представляет собой совокупность воспалительных и дегенеративных изменений в шейном отделе позвоночника, которые вызывают дискомфорт и снижают подвижность.
- Эти заболевания могут приводить к различным осложнениям, поэтому их ранняя диагностика имеет большое значение.
- Лечение, как правило, носит комплексный характер и включает медикаментозную терапию, физические упражнения и другие рекомендации врача. В более сложных случаях может потребоваться хирургическое вмешательство.
- При адекватном и своевременном лечении прогнозы обычно положительные.
Профилактика дорсопатии шейного отдела позвоночника
Профилактика дорсопатии включает в себя комплекс мер, направленных на снижение риска возникновения заболеваний и поддержание здоровья позвоночника. Основные аспекты профилактики можно разделить на несколько категорий: образ жизни, физическая активность, ergonomics, а также регулярные медицинские осмотры.
1. Образ жизни: Здоровый образ жизни является основой профилактики дорсопатии. Важно следить за своим питанием, избегать избыточного веса, который создает дополнительную нагрузку на позвоночник. Рекомендуется включать в рацион продукты, богатые кальцием и витамином D, которые способствуют укреплению костной ткани. Также следует избегать вредных привычек, таких как курение, которое негативно сказывается на кровообращении и может привести к ухудшению состояния межпозвоночных дисков.
2. Физическая активность: Регулярные физические упражнения помогают укрепить мышцы шеи и спины, что способствует поддержанию правильной осанки и снижению нагрузки на позвоночник. Рекомендуются упражнения на растяжку и укрепление, такие как йога или пилатес. Важно также уделять внимание упражнениям на гибкость, которые помогают улучшить подвижность шейного отдела. Однако следует избегать чрезмерных нагрузок и резких движений, которые могут привести к травмам.
3. Эргономика: Правильная организация рабочего места и соблюдение эргономических принципов при выполнении повседневных задач играют ключевую роль в профилактике дорсопатии. Необходимо следить за тем, чтобы компьютерный монитор находился на уровне глаз, а стул поддерживал правильную осанку. При длительной работе за компьютером рекомендуется делать перерывы для разминки и изменения положения тела. Также стоит обратить внимание на положение головы и шеи при использовании мобильных устройств, чтобы избежать перенапряжения мышц.
4. Регулярные медицинские осмотры: Профилактика дорсопатии также включает в себя регулярные медицинские осмотры и консультации с врачом. Это особенно важно для людей, которые имеют предрасположенность к заболеваниям позвоночника или уже испытывают дискомфорт в области шеи. Врач может рекомендовать индивидуальную программу профилактики, включающую физические упражнения, массаж или физиотерапию.
В заключение, профилактика дорсопатии требует комплексного подхода, включающего изменения в образе жизни, физическую активность, соблюдение эргономических норм и регулярные медицинские осмотры. Соблюдение этих рекомендаций поможет сохранить здоровье позвоночника и предотвратить развитие серьезных заболеваний.
Вопрос-ответ
Что такое дорсопатия шейного отдела позвоночника?
Дорсопатия шейного отдела позвоночника — это общее название для различных заболеваний и нарушений, связанных с позвоночником в области шеи. Это может включать остеохондроз, межпозвоночные грыжи, спондилез и другие патологии, которые могут вызывать боль, ограничение подвижности и неврологические симптомы.
Какие симптомы могут указывать на дорсопатию шейного отдела?
Симптомы дорсопатии шейного отдела могут варьироваться, но наиболее распространенные включают боль в шее, головные боли, онемение или покалывание в руках, ограничение подвижности шеи и мышечную слабость. В некоторых случаях могут возникать и более серьезные неврологические проявления.
Как лечится дорсопатия шейного отдела позвоночника?
Лечение дорсопатии шейного отдела может включать консервативные методы, такие как физиотерапия, массаж, медикаментозное лечение (обезболивающие и противовоспалительные препараты) и упражнения для укрепления мышц шеи. В более тяжелых случаях может потребоваться хирургическое вмешательство для устранения причин заболевания.
Советы
СОВЕТ №1
Регулярно выполняйте упражнения для шейного отдела позвоночника. Простые растяжки и укрепляющие упражнения помогут улучшить гибкость и снизить напряжение в мышцах шеи. Обратите внимание на упражнения, которые направлены на укрепление мышц шеи и плеч, такие как наклоны головы и повороты.
СОВЕТ №2
Следите за осанкой, особенно если вы много времени проводите за компьютером или в сидячем положении. Убедитесь, что ваше рабочее место организовано правильно: монитор должен находиться на уровне глаз, а стул поддерживать поясницу. Это поможет снизить нагрузку на шейный отдел позвоночника.
СОВЕТ №3
Обратите внимание на свой матрас и подушку. Выбор правильного матраса и подушки может существенно повлиять на здоровье шейного отдела. Подушка должна поддерживать естественное положение шеи во время сна, а матрас — обеспечивать достаточную поддержку для всего тела.
СОВЕТ №4
Не игнорируйте симптомы. Если вы испытываете постоянную боль или дискомфорт в шейном отделе, обратитесь к врачу. Раннее обращение за медицинской помощью может предотвратить развитие более серьезных проблем и ускорить процесс восстановления.



